APP下載
活動
爆料
圖輯
AI爆報
追蹤新聞
4
光復災區最新現況曝光
台灣彩券開獎直播中
三立iNEWS新聞台線上直播
LIVE三立+24小時直播
即時
堰塞湖溢流
黃國昌爆養狗仔
新聞
熱門
政治
社會
娛樂
生活
新奇
健康
旅遊
國際
兩岸
運動
財經
房產
科技
汽車
遊戲
ESG
影音
總覽
政論
節目
熱搜
直播
iNEWS
專題
總覽
特企
專頁
大事件
彩券
專欄
民調
快訊
韓女導演超愛《鬼家人》 證實要開拍韓版
13:47
自民黨總裁選舉 高市進第二輪與小泉對決
13:40
長榮新航線!桃園-達拉斯全新三艙等首航
13:37
中秋連假犧牲假期救災?季連成回應帥炸
13:34
新/石碇貨梯變「大怒神」 工人墜落送醫
13:33
70歲白冰冰比基尼洩超兇身材 吳宗憲嚇傻
13:33
SJ團內吵架真相曝 銀赫認:以前打來打去
13:29
詹皇、東契奇都沒打 湖人熱身賽遭痛宰
13:28
日本自民黨總裁投票無人過半 高市對小泉
13:27
宋慧喬客串《精靈》 絕美神顏震撼全韓網
13:23
女收「教召簡訊」前往救災驚呆 真相曝光
13:21
連晨翔開撩28歲女星:一開始有點小彆扭
13:19
柯震東哥哥宣布結婚!超大咖賓客全來了
13:18
北車附近突大停電!傳民眾「受困電梯」
13:13
獨/控租金漲兩倍!逢甲菠蘿油名店怒關門
13:12
金鍾國蜜月缺席《RM》 大咖主持人代班
13:09
日本爆「熊殺人」!2七旬老人慘死、1失蹤
13:06
水電超人注意 季連成:需有丙級證照
13:02
75歲林光寧呼吸困難再送醫搶命!送進加護
13:00
抖內金主變殺人魔 正妹直播主遭棄屍深山
13:00
台灣彩券開獎直播中
20:31
台彩中秋加碼總獎金達4.5億
12:00
大樂透加碼100組100萬元
12:00
光復災區最新現況曝光
09:30
中秋團聚 酷澎物流中心暖心做公益
12:00
和泰集團「原生動物守護計畫」邁入第五年
12:00
中秋連假買彩券 一張大樂透雙重中獎機會
12:00
酷澎獲美國農業部肯定 助攻台美印太合作
16:00
吃益生菌不是數字遊戲!
12:00
USii 除菌壺UVC深紫外光除菌佳
12:00
首頁
關鍵字
衛生福利部國民健康署
衛生福利部國民健康署
小心果汁陷阱!醫揭不喝3原因:糖量驚人
水果是重要的營養來源之一,現代人生活忙碌,經常三餐不...
2024/12/14 19:33
3成孩童鈣攝取不足 醫師建議:可補充鈣片
孩子如何才能長得高是所有父母時常討論話題。根據衛生福...
2024/08/15 21:30
喝果汁=吃水果?營養師揭露滿滿地雷
水果是重要的營養來源之一,現代人生活忙碌,經常三餐不...
2024/07/29 14:44
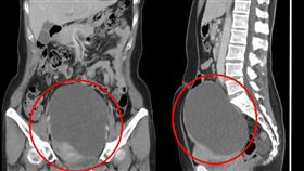
49歲婦肚子變大 竟是16公分腫瘤塞滿卵巢
今年49歲的家芸於去年中罹患卵巢癌,但她不僅沒有感到...
2024/03/12 08:39
失智者超乎你的想像台中響應打破迷思
衛生福利部國民健康署率領各縣市衛生局及民間相關協會,...
2019/11/23 14:00
亂丟菸蒂恐自食惡果 進食物鏈再下肚
通常我們聽到海洋汙染時,也許你我首先映入眼簾的,主要...
2019/05/29 18:19
最新圖輯
更多
劉書宏專訪
袁澧林、陳孝萱專訪
第36屆金曲獎星光大道
第36屆金曲獎得獎圖輯
NMIXX林口體育館粉絲演唱會
KISS OF LIFE台北演唱會
林芯儀專訪
GYUBIN大巨蛋開球
陳謙文專訪
孫麥傑專訪
今日頭條
1
中秋連假犧牲假期救災?季連成回應帥炸
2
75歲林光寧呼吸困難再送醫搶命!送進加護
3
獨/控租金漲兩倍!逢甲菠蘿油名店怒關門
4
鏟子超人1災區最好別去 恐留一輩子創傷
5
廢棄工廠驚見無名屍!「白骨卡椅」困門口
6
高中生搭公車伸「善良一腳」!守護輪椅翁
7
起底台大紅姐!爸是警察立志當律師助弱勢
8
參加金鍾國婚宴 宋智孝鬆口曝震撼場面
9
鏟6下泥巴就收工 AJ哥救災直播挨轟作秀
10
于朦朧慘死 歌后點名「頂流男神」被盯上
HOT焦點
更多
露琺意5百坪總部開幕 攜手羅蘭台日合作
2025台灣設計展 翻轉彰化城市印象
移民班第13期結訓典禮 添103名生力軍
頻道推薦
直播✦活動
三立新聞網
為了提供更好的閱讀內容,我們使用相關網站技術來改善使用者體驗,也尊重用戶的隱私權,特別提出聲明。
了解最新隱私權聲明
知道了