APP下載
活動
爆料
圖輯
AI爆報
追蹤新聞
6
台中豬瘟前進應變所記者會
綠籲停止市政大樓合建都更
顧立雄赴立院報告並備質詢
台灣彩券開獎直播中
三立iNEWS新聞台線上直播
LIVE三立+24小時直播
即時
非洲豬瘟侵台
輝達進駐台北
新聞
熱門
政治
社會
娛樂
生活
新奇
健康
國際
兩岸
運動
財經
房產
旅遊
科技
汽車
遊戲
ESG
影音
總覽
政論
節目
熱搜
直播
iNEWS
專題
總覽
特企
專頁
大事件
彩券
專欄
民調
快訊
486首支個人MV上線 揭「曲線救國」靠這招
09:40
樂天二軍北遷原因曝光 傳他爭福利遭降職
09:40
車擋出口斷生路!惡男縱火害母女1死1重傷
09:38
「自走砲」惹惱中央!臨時取消豬瘟記者會
09:32
假日急症中心首日169人次看診 台南最多
09:31
動保員擅闖豬場清消台中嚴懲 醫嗆:誰信
09:29
王子捲當小王風波 昔日鄰居詹惟中說話了
09:26
喊普丁非獨裁者惹怒歐洲?鄭麗文這樣說
09:25
鄭麗文成中國紅人、新寵兒?洗腦內幕曝光
09:23
新/台中火警母女1死1傷!縱火嫌犯抓到了
09:14
開盤/台股開高百點 多頭氣勢延續
09:08
暑假住房率僅4成!花蓮民宿停歇業逾200家
09:08
揭股市關鍵五國!老謝:信台灣的人有福氣
09:05
直擊粿粿落腳《全明星》胡釋安同棟住所!
09:03
台南增「2科技執法+4測速」 地點一次看
09:00
「微型電動二輪車」事故最新數據曝光!
09:00
前司機痛毆生…桃客「平熱議」再發4聲明
08:55
曬台灣高清照喊統一 中國衛星再嗆1句
08:54
酒駕撞死老夫妻 醫:行人地獄=高齡地獄
08:52
老闆揪員工妻遊墾丁「住同一房」害他慘綠
08:49
台灣彩券開獎直播中
20:31
顧立雄赴立院報告並備質詢
08:30
鄭麗文出席國民黨中評會議
08:30
綠籲停止市政大樓合建都更
09:00
台中豬瘟前進應變所記者會
09:30
創意無極限!國中小生飆戲 宣傳節約能源
11:00
台灣大日月潭花火音樂會吸3.5萬人齊聚
22:00
外送專法受矚 三大平台籲政府加強溝通
14:00
有酷澎WOW會員 毛孩照顧更輕鬆
11:00
維生素B群功效與補充全解析!
14:00
日本熱銷4億包!糖脂對策 隨餐1包纖維粉
12:00
酷澎雙11狂購祭 美國保健品限時五折
11:00
八里國際化成形!港灣特區陸海空黃金三角
11:00
13聖杯!桃園護國宮爐主淚:太子爺早暗示
19:40
首頁
關鍵字
平腦症
平腦症
母懷健康二胎 罕病兒託夢道別:去準備
醫師常接觸生死,但近日專研基因的醫師張家銘分享了自己...
2022/12/06 16:24
單親媽帶2幼女輕生 長女獲救求輕判
台中市一名林姓單親媽媽,獨力撫養13、11歲2名女兒...
2020/12/30 13:23
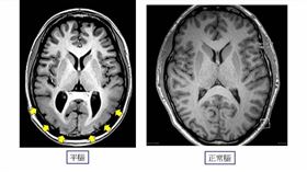
全球只有13病例 平腦症大腦無皺褶
正常人的大腦表面會有許多皺褶,稱之為腦迴,和高階認知...
2020/09/22 13:13
涉殺害平腦症女兒 單親媽遭聲押獲准
台中市一名林姓單親媽媽,獨力撫養13、11歲2名女兒...
2019/08/01 11:04
最新圖輯
更多
劉書宏專訪
袁澧林、陳孝萱專訪
第36屆金曲獎星光大道
第36屆金曲獎得獎圖輯
NMIXX林口體育館粉絲演唱會
KISS OF LIFE台北演唱會
林芯儀專訪
GYUBIN大巨蛋開球
陳謙文專訪
孫麥傑專訪
今日頭條
1
喊普丁非獨裁者惹怒歐洲?鄭麗文這樣說
2
王子、粿粿美國行新照曝 網驚爆在這偶遇
3
新/台中火警母女1死1傷!縱火嫌犯抓到了
4
擅闖豬場清消 他轟:台中市政府又蠢又壞
5
律師撇當粿粿網軍:3主角都不是什麼好人
6
謝侑芯浴缸亡!黃明志共度一夜搜出壯陽藥
7
花蓮知名商圈倒店潮 鋼管紅茶只賣20杯
8
鄭麗文會讓藍大好還大壞?沈富雄斷言終局
9
黃明志捲謝侑芯猝死案 馬媒1句酸爆
10
鄭麗文1言論惹火歐洲!傳黨中央慘被封殺
HOT焦點
更多
酷澎雙11狂購祭 美國保健品限時五折
八里國際化成形!港灣特區陸海空黃金三角
13聖杯!桃園護國宮爐主淚:太子爺早暗示
頻道推薦
直播✦活動
三立新聞網
為了提供更好的閱讀內容,我們使用相關網站技術來改善使用者體驗,也尊重用戶的隱私權,特別提出聲明。
了解最新隱私權聲明
知道了