APP下載
活動
爆料
圖輯
AI爆報
追蹤新聞
3
台灣彩券開獎直播中
三立iNEWS新聞台線上直播
LIVE三立+24小時直播
即時
袁惟仁逝世
富豪淫魔揭密
新聞
熱門
政治
社會
娛樂
生活
新奇
健康
國際
兩岸
運動
財經
房產
旅遊
科技
汽車
遊戲
ESG
影音
總覽
政論
節目
熱搜
直播
iNEWS
專題
總覽
特企
專頁
大事件
彩券
專欄
民調
快訊
韓國影帝河正宇交往車貞媛 外傳7月結婚
01:29
卓榮泰:期許產業、國會、地方皆共同合作
01:24
艾普斯坦醜聞 挪威王儲妃恐當不成王后
01:17
高市點燃年輕人希望 能否催出票仍未知數
01:10
科技大佬示警 手機需求面臨衝擊
01:04
獨家/封關前周經翔曝 這樣做才不會翻車
01:02
北韓高中生偷看《魷魚遊戲》被當眾處決
01:00
他砸3千萬完成1夢想 晚年生活卻面臨破產
01:00
和珅貪污不是最狂!而是「偷吃乾隆女人」
01:00
別只盯台股 唯一追蹤費半指黑馬就是它!
00:50
《太平年》還原「牽羊禮」網淚看宋朝女性
00:50
嫩醫傳「露胸照」勾大叔牙醫 正宮怒告敗
00:40
川普、習近平通話內容曝光!有提到台灣
00:36
熱/記憶體還能買嗎? 大摩報告曝光
00:29
蔣「馬踏飛燕」踩盧秀燕?竟是滿滿中國味
00:21
鄭習會有譜?蕭旭岑返台後全說了
00:13
新/車手面交700萬才到手就被搶 警逮6嫌
23:56
春節來義大 跟「馬」有關的人有福了
23:41
領航猿闖東超6強 盧峻翔未來想挑戰日本
23:39
「重返遊樂園」觀光署攜手業者吸人潮
23:38
台灣彩券開獎直播中
20:31
愛閃耀iShine千人尾牙!宣告前進中東市場
18:00
線上補貨依賴度高 酷澎強化清潔品牌合作
17:00
鎂光燈「嬌」點!SHUHUA分享日常保養秘訣
12:00
主動ETF最速傳說-專家點出00991A爆紅關鍵
12:00
首頁
關鍵字
洪嘉聰
洪嘉聰
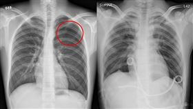
戒菸2年仍罹肺癌!她篩檢揪出1.2公分結節
41歲陳小姐過去有長期的吸菸史,在醫療團隊的協助下戒...
2026/01/17 09:24
他菸檳酒不離身突「吞嚥不順」竟罹2癌症
48歲的張先生長年抽菸、喝酒、嚼檳榔,今年初出現喉嚨...
2025/11/19 11:13
她頸部腫脹、氣管擠歪竟揪「芭樂大」腫瘤
74歲黃女士10年前因右側甲狀腺結節問題,在他院接受...
2025/04/29 10:37
爆被要求赴美投資設廠?聯電、AIT回應了
針對美國在台協會前往聯電總部拜訪,要求聯電赴美投資設...
2024/12/18 07:45
聯電被要求赴美國設廠 4理由洪嘉聰難拒
繼台積電之後,聯電也傳出被要求前往美國投資設廠,儘管...
2024/12/18 05:54
女手痛、胸腔藏成熟畸胎瘤:有頭髮、牙齒
28歲的張小姐前陣子因為左手痛,陸續到診所看中醫與復...
2024/01/04 08:46
聯電限制員工新股 董總3人各爽賺1.52億
聯電9月發放第2批民國109年決議發行的限制員工權利...
2023/10/27 10:22
矽統董事長簡誠謙辭職 聯電董事長接任
IC設計廠矽統董事長簡誠謙和總經理許時中同時異動,由...
2023/08/08 22:44
輕熟女總是「好濕」 外科醫師幫她切了
北部一名輕熟女手部容易出汗,狀況嚴重到讓她不敢和別人...
2023/06/12 09:23
愛吃半熟蛋!男胸口冒腫塊裡面全是膿
55歲賴先生一向身體健康,沒慢性病也幾乎不感冒,但平...
2022/04/20 08:45
高瘦男性胸痛別輕忽!當心自發性氣胸
過去曾有氣胸病史的15歲鄭同學,日前因左胸劇烈疼痛,...
2021/12/21 10:35
走出台積瑜亮情節 聯電股價為何起飛
走出台積瑜亮情節,聯電股價為何起飛?董座洪嘉聰接班1...
2021/09/09 14:00
高雄豪宅會漲?專家:亞灣區坐4望5
近兩年中央力推「大南方計畫」,帶動南台灣科技產業發展...
2021/03/04 10:52
吉品幫陷基亞風暴!檯下生意浮出水面
一份在半夜悄悄發布的新藥三期試驗「期中分析」報告,卻...
2014/08/15 13:15
最新圖輯
更多
羅志祥30周年演唱會
凱琳專訪
黃鐙輝、吳念軒、黃騰浩專訪
第62屆金馬獎得獎後台
第62屆金馬獎紅毯
劉書宏專訪
袁澧林、陳孝萱專訪
第36屆金曲獎星光大道
第36屆金曲獎得獎圖輯
NMIXX林口體育館粉絲演唱會
今日頭條
1
川普、習近平通話內容曝光!有提到台灣
2
陳宗彥驚傳進加護病房 馬偕曝最新病況
3
劉世芳強硬宣布「不給李貞秀調機密文件」
4
西望洋颱風生成了!路徑、對台影響曝光
5
連任路中斷?陳怡君遭停權2年6個月
6
王滬寧喊「九二共識」 陸委會嗆爆了
7
吳宗憲200萬紅包是真的 當場秀匯款畫面
8
太專心沒發現 調車員被車廂「夾擊」消失
9
才剛與普丁視訊完畢!習近平再和川普通話
10
外資巨頭來了!法巴銀進駐高雄搶富豪商機
HOT焦點
更多
愛閃耀iShine千人尾牙!宣告前進中東市場
線上補貨依賴度高 酷澎強化清潔品牌合作
主動ETF最速傳說-專家點出00991A爆紅關鍵
頻道推薦
直播✦活動
三立新聞網
為了提供更好的閱讀內容,我們使用相關網站技術來改善使用者體驗,也尊重用戶的隱私權,特別提出聲明。
了解最新隱私權聲明
知道了