APP下載
活動
爆料
圖輯
AI爆報
追蹤新聞
4
中央應變中心最新說明
台灣彩券開獎直播中
三立iNEWS新聞台線上直播
LIVE三立+24小時直播
即時
黃明志捲命案
太子集團詐騙
新聞
熱門
政治
社會
娛樂
生活
新奇
健康
國際
兩岸
運動
財經
房產
旅遊
科技
汽車
遊戲
ESG
影音
總覽
政論
節目
熱搜
直播
iNEWS
專題
總覽
特企
專頁
大事件
彩券
專欄
民調
快訊
桃園人妻解鎖黑人 炫耀:來自象牙海岸
15:11
醫科女神馮琪淯最新動態!傳要當住院醫師
15:04
獨/獸醫師教你挑豬肉!認明這印章就對了
15:04
買10萬點數給Hebe獲贈10億?員警傻眼
15:03
專車直送台南新家 「滴血老牛」現況曝光
14:59
首場旗山大造勢!邱議瑩獲中央級人物助陣
14:57
獨/玉山金13天順娶三商壽 背後關鍵曝
14:55
藍白推反年改 政院:成現職提前離退誘因
14:54
黃明志涉嫌命案!他逆風嗆聲沒證據還清白
14:54
韓國火力發電廠「驚傳大坍塌」約6人被埋
14:50
網喊廢「新北耶誕城」!侯友宜全說了
14:50
粿粿婚內出軌風暴落幕有普?他點破關鍵
14:49
大巨蛋漏水「無人退票成功」苗博雅怒了
14:49
北登廊廳內裝搶先看 新座椅附插座
14:49
國民黨反年改!民進黨曝藍委「荒謬驚句」
14:46
三立大戲《愛鄰洗衣店》 他們終於當夫妻
14:45
你媽也是?三立最新勵志喜戲打動劉香慈
14:44
財不露白!立冬後這五生肖「悶聲發大財」
14:44
小資族重傷 補充保費將區隔?石崇良這麼說
14:41
新/高雄三合院竄火!91歲老翁成焦屍
14:40
台灣彩券開獎直播中
20:31
中央應變中心最新說明
15:00
近視矯正新科技網紅醫師談EVO ICL
15:00
中信房屋公益月 8場捐血活動傳遞生命希望
10:00
TCCF「集集」旅程啟航 臺韓共創浪漫劇
16:00
最愛小孩!「紗布衣、小橘帽」與孩童結緣
16:00
三高患者健康危機!流感、帶狀疱疹預防
12:00
首頁
關鍵字
夏肇聰
夏肇聰
無國界醫月入僅3萬 人父:盡量兼顧家庭
以色列與哈瑪斯組織戰火中,連加薩走廊醫院也遭攻擊,有...
2024/03/02 07:41
醫衝前線難吐截肢噩耗 婦女1反應超震撼
俄烏戰爭滿2周年,世界各地戰事未歇,其中位在非洲東部...
2024/03/02 07:39
救援南蘇丹!無國界醫生煮茶葉蛋憶家鄉
長年戰亂及暴力威脅,使南蘇丹成為世上最不安全、也最難...
2023/11/03 13:51
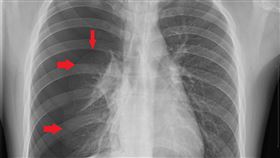
高中生打籃球突胸痛 竟是自發性氣胸
小明是一位身材高瘦的高中生,平時熱愛籃球運動。日前在...
2021/03/08 09:29
包皮過長?要不要割?醫師一次全解惑
暑假常被醫師戲稱是包皮的豐收季,需面對家長對孩童「小...
2020/08/10 10:52
最新圖輯
更多
劉書宏專訪
袁澧林、陳孝萱專訪
第36屆金曲獎星光大道
第36屆金曲獎得獎圖輯
NMIXX林口體育館粉絲演唱會
KISS OF LIFE台北演唱會
林芯儀專訪
GYUBIN大巨蛋開球
陳謙文專訪
孫麥傑專訪
今日頭條
1
新/盧秀燕道歉了!率市府團隊鞠躬致歉
2
驚!校長、鋒總都下台 後藤光尊成新主帥
3
新/享嵩壽100歲!郭台銘母親今早辭世
4
新/高雄三合院竄火!91歲老翁成焦屍
5
高明慧:組TEAM TAIWAN影視隊 共創新局
6
成功登記普發1萬!遇4狀況「恐無法入帳」
7
年領逾2萬要繳健保補充保費 存股族哀號
8
八點檔場景AI生成 三立如何進化科技公司
9
台南師作弊!選擇題2→3送分 國小生傻眼
10
不只中信兄弟!台灣又一隊中國職棒被抄襲
HOT焦點
更多
賴瑞隆到客庄學客語!親近多元客家文化
TCCF「集集」旅程啟航 臺韓共創浪漫劇
最愛小孩!「紗布衣、小橘帽」與孩童結緣
頻道推薦
直播✦活動
三立新聞網
為了提供更好的閱讀內容,我們使用相關網站技術來改善使用者體驗,也尊重用戶的隱私權,特別提出聲明。
了解最新隱私權聲明
知道了