APP下載
活動
爆料
圖輯
阿立導讀
追蹤新聞
4
【94要客訴】
台灣彩券開獎直播中
三立iNEWS新聞台線上直播
LIVE三立+24小時直播
即時
孫安佐爭議
川習強權交鋒
新聞
熱門
政治
社會
娛樂
生活
新奇
健康
國際
兩岸
運動
財經
房產
旅遊
科技
汽車
遊戲
ESG永續
影音
總覽
政論
節目
熱搜
直播
iNEWS
專題
總覽
特企
專頁
大事件
彩券
專欄
民調
快訊
醫揭每週喝1杯這飲品 肝纖維化增3.77倍
12:31
新/韓法院裁定三星罷工「不得影響生產」
12:30
漢來美食推全新品牌常粵 必吃菜色一次看
12:29
孫安佐遭收押禁見!過去曾涉恐攻遭遣返
12:29
奇景?巷弄驚見「1坪降雨區」路人看傻眼
12:28
消失白冰冰節目多時!歌王遭疑被封殺回應
12:28
發文號召殺光賴清德們 小草犯3罪被起訴
12:26
東海大學引進「數位員工」 打造智慧校園
12:23
前韓團來台揭練習生地獄訓練:血管全破掉
12:20
狄鶯護兒喊是天才 網轟:火焰兵優先格斃
12:19
換心童點餐去生菜 店員附1字條感動萬人
12:19
誰說沒心?她與沈伯洋合體看板上架時間曝
12:12
逛IKEA廣播喊「現在99」員工全動 原因曝
12:10
總統府音樂會 戴曉君海軍軍樂隊磅礡開場
12:10
28歲役男「逃兵」滯留紐西蘭 1原因免關
12:07
她點賴清德聲明最嗆一段:沒在跟中國客氣
12:02
心齋橋嚴重火災!台灣遊客驚恐避難
12:02
Lotus不演了?新跑車導入中國研發V6引擎
12:00
柯志恩喊:接棒未必民進黨!陳其邁回應了
11:58
才爆戀情 高允貞頒獎典禮突喊金宣虎名字
11:58
台灣彩券開獎直播中
20:31
【94要客訴】
12:00
彰化首創全齡堡壘 廢墟重生在地安老
12:00
胃癌圍手術期免疫治療7旬婦恢復進食能力
09:00
重返三大豬病非疫國 跨域合作推產業升級
14:00
台中極限保值區純2房案搶進文心森林公園
12:00
晚期肝癌不受限 口服藥物穩定生活與療效
11:00
愛妮雅攜手真善美 公益市集號召民眾傳愛
16:30
權力遊戲新作!重返維斯特洛奪王座
16:00
寵物用藥陷困境 藥廠與藥局:願當獸醫後盾
12:00
房價僅北士科半價 仁義重劃區預售屋剖析
09:00
首頁
關鍵字
董宇紅
董宇紅
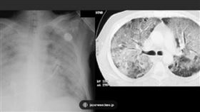
中國一堆「大白肺」 病毒學專家5個解釋
中國COVID-19疫情炸鍋之後,頻傳重症「大白肺」...
2023/01/08 10:34
抵抗所有變種 最強「抗體」原來是它
我國今年9月16日迎來首批次世代疫苗,對於一針都還沒...
2022/09/17 16:57
你是哪一種?研究:C型人格較易罹癌
經過2年多新冠疫情的洗禮,我們都知道病毒的棘蛋白對人...
2022/07/23 00:12
最新圖輯
更多
茉ひるMahiru專訪
簡莉紋專訪
大霈專訪
劉冠廷專訪
林予晞、王真琳專訪
李雪、陳昱廷專訪
初孟軒、鍾岳軒專訪
龍千玉與翁立友領豪記唱片群星拜年
Rain鄭智薰小巨蛋演唱會
金在中演唱會
今日頭條
1
藍白搞彈劾、卡預算 賴清德怎突破?
2
孫安佐收押態度配合 首日早餐菜粥加豆漿
3
謝寒冰兌現祭品文 發雞排時間地點曝光
4
晚安小雞又出事!闖民宅直播撒冥紙遭起訴
5
換心童點餐去生菜 店員附1字條感動萬人
6
新/獨攀雪山失聯17天!女墜崖遺體困峭壁
7
孫安佐遭收押禁見!過去曾涉恐攻遭遣返
8
心齋橋嚴重火災!台灣遊客驚恐避難
9
00403A沒入列?這6檔ETF小資族全在搶
10
賴政府加薪減稅增福利 全民共享經濟果實
HOT焦點
更多
晚期肝癌不受限 口服藥物穩定生活與療效
愛妮雅攜手真善美 公益市集號召民眾傳愛
權力遊戲新作!重返維斯特洛奪王座
頻道推薦
直播✦活動
三立新聞網
為了提供更好的閱讀內容,我們使用相關網站技術來改善使用者體驗,也尊重用戶的隱私權,特別提出聲明。
了解最新隱私權聲明
知道了