APP下載
活動
爆料
圖輯
AI爆報
追蹤新聞
3
台灣彩券開獎直播中
三立iNEWS新聞台線上直播
LIVE三立+24小時直播
即時
台美關稅15%
九合一點將
新聞
熱門
政治
社會
娛樂
生活
新奇
健康
國際
兩岸
運動
財經
房產
旅遊
科技
汽車
遊戲
ESG
影音
總覽
政論
節目
熱搜
直播
iNEWS
專題
總覽
特企
專頁
大事件
彩券
專欄
民調
快訊
火鍋、熱湯也能加愛玉?農糧署解答了
08:22
騙國民法官?女狠甩伴侶致死竟上訴
08:14
台股創新高被唱衰 謝金河揭上攻3萬5關鍵
08:06
川普喊買格陵蘭!丹麥同步遊行幫聲援
08:05
控國手尪偷吃家暴 安歆澐被飛踢撞暈濺血
08:04
挑戰強烈冷氣團!最凍時間曝 非常濕寒冷
08:03
實習生機房遭性侵!監視器全拍卻無人救
07:43
「黃帝館長」性騷!開黃腔、辦公室當後宮
07:20
堰塞湖溢流19死 家屬狀告徐榛蔚廢弛職務
07:05
大安區深夜喋血!男遭友持斧頭猛砍濺血
07:04
川普祭關稅搶格陵蘭 英法瑞典歐盟齊反彈
07:00
請款後月領1萬6千元 申請辦法曝
07:00
名醫揭賴清德超暖往事嘆:從不為自己辯白
06:50
只有台人看得懂?這張標語竟出現在日本!
06:32
強冷氣團將至連凍5天 下探8℃最冷時間曝
06:27
「這樣吃三餐」才健康!晚餐不是清淡就好
06:09
台美合照藏玄機?黃國昌這動作被罵翻!
05:59
美國5招冷暴力!黃國昌自買機票就受制裁
05:56
領養小孩竟發現是「丈夫親生的」人妻崩潰
05:45
川普關稅施壓格陵蘭議題 芬蘭總統急應對
05:38
台灣彩券開獎直播中
20:31
松山奉天宮攜手故宮 辦三官數位藝術特展
21:00
高雄漢來上海湯包 擄獲老饕胃
12:00
醒吾三立影視學院成果展 學員表現亮眼
20:00
這個品牌有夠猛!選「愛莉莎莎」當代言
18:30
星城Online玩創意!拍《戲說台灣》單元劇
12:00
2026開局君綺醫美強攻信義區!
11:00
凱基金控迎春公益市集 讓年味多一份善意
17:00
防身專家陳勇正多起公共事件受關注
16:00
別再死背英文!右腦圖像法15分鐘無痛學會
11:00
首頁
關鍵字
USB傳輸線
USB傳輸線
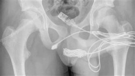
男塞USB線入私處!崩潰血尿拔不出
英國一名15歲的少年因為想知道自己的陰莖到底有多長,...
2022/09/05 19:23
最新圖輯
更多
羅志祥30周年演唱會
凱琳專訪
黃鐙輝、吳念軒、黃騰浩專訪
第62屆金馬獎得獎後台
第62屆金馬獎紅毯
劉書宏專訪
袁澧林、陳孝萱專訪
第36屆金曲獎星光大道
第36屆金曲獎得獎圖輯
NMIXX林口體育館粉絲演唱會
今日頭條
1
台股創新高被唱衰 謝金河揭上攻3萬5關鍵
2
挑戰強烈冷氣團!最凍時間曝 非常濕寒冷
3
大安區深夜喋血!男遭友持斧頭猛砍濺血
4
川普宣布對8國加徵10%關稅 到買下格陵蘭
5
實習生機房遭性侵!監視器全拍卻無人救
6
「台灣政府努力沒白費」他揭關稅談判內幕
7
控國手尪偷吃家暴 安歆澐被飛踢撞暈濺血
8
美國5招冷暴力!黃國昌自買機票就受制裁
9
火鍋、熱湯也能加愛玉?農糧署解答了
10
川普喊買格陵蘭!丹麥同步遊行幫聲援
HOT焦點
更多
凱基金控迎春公益市集 讓年味多一份善意
防身專家陳勇正多起公共事件受關注
別再死背英文!右腦圖像法15分鐘無痛學會
頻道推薦
直播✦活動
三立新聞網
為了提供更好的閱讀內容,我們使用相關網站技術來改善使用者體驗,也尊重用戶的隱私權,特別提出聲明。
了解最新隱私權聲明
知道了