APP下載
活動
爆料
圖輯
阿立導讀
追蹤新聞
3
台灣彩券開獎直播中
三立iNEWS新聞台線上直播
LIVE三立+24小時直播
即時
賴蕭2年了
馬辦人事風暴
新聞
熱門
政治
社會
娛樂
生活
新奇
健康
國際
兩岸
運動
財經
房產
旅遊
科技
汽車
遊戲
ESG永續
影音
總覽
政論
節目
熱搜
直播
iNEWS
專題
總覽
特企
專頁
大事件
彩券
專欄
民調
快訊
1顆瓜=6張0050!北海道哈密瓜歷史新高價
22:42
七巨頭算啥!外媒推台積電等3檔AI股
22:40
總統府音樂會民主學習單 賴總統笑稱細節
22:40
台八女星宣布懷孕 同劇演員「0人發現」
22:36
台鐵山佳站故障5人記過 EMU900換集電弓
22:30
周湯豪入圍金曲歌王 哽咽認「習慣等待」
22:28
看藍眼淚不慎溺水 男遊客東莒落海不治
22:25
新/松山機場「男遭壓車底」OHCA送醫搶命
22:19
五角大廈最新解密 美戰機擊落UFO影片曝
22:18
海馬士首期款月底到期!國防部急申請預算
22:12
張育成、陳晨威首局首打席開轟 中職首次
22:11
夏威夷規模6.0極淺層強震 多地居民有感
22:11
17歲成日本第一!天才田徑少女揭退役原因
22:11
新/逢甲商圈彩券行1女OHCA 身份曝光
22:08
女忘繳房租收催繳簡訊 房東問這題網秒懂
22:05
台首艘南島舟船台東出發 18天長征抵淡水
22:00
27歲女狂吞瘦身藥!1天800粒器官衰竭險死
21:57
「用生命」買阿里山咖啡豆 業者衝刺搶單
21:56
張震嶽金曲獎入圍6項 認「最想拿這獎」
21:55
山西礦井爆炸事件!救難隊竟拿到假地圖
21:52
台灣彩券開獎直播中
20:31
台港創業家齊聚 美安年會展現跨市場動能
21:00
K-WAVE韓流拼盤卡司公布 8月登高雄開唱
14:30
早餐水果沒吃夠?營養師教超商水果補充術
18:00
凍齡女神陳美鳳愛用 正港優蛋白增強體力
17:00
家裡怎防老鼠之亂??專家曝新大樓兩優勢
09:00
Razer女神yunocy登COSMOS
12:00
台灣少子化 首創本草萃滴精商機大爆發
17:00
遠東生技行銷60國 微藻成新一代營養關鍵
16:00
台灣大連續4度獲選最受尊崇企業
10:00
首頁
關鍵字
胃翻出來
胃翻出來
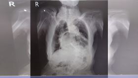
長期咳嗽別輕忽!小心「咳到胃翻出來」!
千萬不要輕忽長期咳嗽的症狀,否則恐後患無窮!台北市立...
2022/11/06 17:19
最新圖輯
更多
茉ひるMahiru專訪
簡莉紋專訪
大霈專訪
劉冠廷專訪
林予晞、王真琳專訪
李雪、陳昱廷專訪
初孟軒、鍾岳軒專訪
龍千玉與翁立友領豪記唱片群星拜年
Rain鄭智薰小巨蛋演唱會
金在中演唱會
今日頭條
1
海馬士首期款月底到期!國防部急申請預算
2
毒駕男倒車撞輾畫面曝光 10秒姊妹隔陰陽
3
拋4月大女嬰獨活 台中雙屍小夫妻身份曝
4
黃仁勳抵台巧遇另一位黃董 同框畫面曝
5
這時變天轉雨!氣象署:有熱帶擾動發展
6
今年首例 高雄6旬男發燒3症狀染登革熱
7
拋0-18歲每月領五千 賴清德幽默喊話催生
8
1水果價格腰斬 農糧署教保存:能放一個月
9
遭藍白大砍!破萬人上街「挺軍購」畫面曝
10
告五人巧遇金曲獎競爭者 真實互動全說了
HOT焦點
更多
台灣大連續4度獲選最受尊崇企業
台首艘南島舟船台東出發 18天長征抵淡水
台港創業家齊聚 美安年會展現跨市場動能
頻道推薦
直播✦活動
三立新聞網
為了提供更好的閱讀內容,我們使用相關網站技術來改善使用者體驗,也尊重用戶的隱私權,特別提出聲明。
了解最新隱私權聲明
知道了