APP下載
活動
爆料
圖輯
AI爆報
追蹤新聞
4
GQ紅毯LIVE直擊!
台灣彩券開獎直播中
三立iNEWS新聞台線上直播
LIVE三立+24小時直播
即時
普發現金
中日關係惡化
新聞
熱門
政治
社會
娛樂
生活
新奇
健康
國際
兩岸
運動
財經
房產
旅遊
科技
汽車
遊戲
ESG
影音
總覽
政論
節目
熱搜
直播
iNEWS
專題
總覽
特企
專頁
大事件
彩券
專欄
民調
快訊
黃國昌選新北沒戲?他曝:人選就是李四川
17:56
台日友誼!橘色惡魔、翡翠騎士將來台獻演
17:56
歐萊德上榜!18款蘇丹紅化妝品清單一次看
17:55
高層滅火食安風暴 樂天桃猿承諾增加預算
17:55
外送員最低時薪245元!律師點1關鍵拋問
17:54
煎牛排唱TWICE歌…遭嗆很憨!老闆1首回擊
17:54
民調曝9成民眾:對中國沒好感也不願統一
17:50
小鬼42歲冥誕 李易六月1張照惹粉絲淚崩
17:47
婦被誆交帳密 「安全回報」後遭詐8300萬
17:47
色翁襲胸還邪笑!受害女無助:好噁心
17:45
台大舍監性騷案延燒 教育部長發話了
17:45
宋慧喬44歲回春變大學生 真實素顏狀態曝
17:45
赴中被當民族英雄 館長:從未有過的待遇
17:40
碰皮膚就痛!男罹癌骨轉移 靠1招重獲新生
17:40
潤娥一句話洩底!20週年可能來台
17:37
新莊副都心房價暴漲 房仲揭這兩種人在買
17:32
陳歐珀交保理由曝!令不得向妻探詢案情
17:27
樂天獎金、旅遊寒酸 CEO承諾數字會開心
17:27
將組建年輕團隊征戰新北市?蘇巧慧這麼說
17:25
中國NBA唯一希望 楊瀚森砍8分超越大魔王
17:25
台灣彩券開獎直播中
20:31
GQ紅毯LIVE直擊!
17:00
金馬會後 蔡淑臻高顏值狀態被狂讚!
14:00
金控集團運動家庭日 6千員工及家人同樂
12:00
新北警全力以赴 打造頂尖緝毒菁英隊伍
11:00
全新版台股主動式ETF 嚇鼠兄弟了
08:30
首頁
關鍵字
生殖細胞瘤
生殖細胞瘤
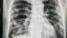
獨/肺部「白了一片」 這癌症好發年輕人
血液腫瘤科醫師表示,生殖細胞瘤常見於20至30多歲年...
2023/11/10 14:13
沒抽菸胸痛就醫 男大生淚崩:肺只剩一邊
一名21歲男大生無不良習慣、也不抽菸,平時喜歡戶外運...
2023/11/01 16:34
最新圖輯
更多
第62屆金馬獎得獎後台
第62屆金馬獎紅毯
劉書宏專訪
袁澧林、陳孝萱專訪
第36屆金曲獎星光大道
第36屆金曲獎得獎圖輯
NMIXX林口體育館粉絲演唱會
KISS OF LIFE台北演唱會
林芯儀專訪
GYUBIN大巨蛋開球
今日頭條
1
李四川批「施政非穿著漂亮」 蘇巧慧回應
2
陳歐珀交保理由曝!令不得向妻探詢案情
3
台南市長最新民調:陳亭妃大贏謝龍介13%
4
新/古寶無患子也出事 蘇丹紅12業者檢驗曝
5
承認換掉古久保有疏失 樂天新主帥有台日
6
勞動部部長洪申翰誓言 終結抱病上班文化
7
八點檔女星車禍遭撞飛:被迫按下暫停鍵
8
女大生夜衝武嶺墜溪亡 母認屍泣不成聲
9
高市早苗遭中施壓 美學者揭北京真正目的
10
中無權涉台、聲援國軍 決議文最新通過了
HOT焦點
更多
華南銀行獲ESG for Culture影響力獎肯定
全新版台股主動式ETF 嚇鼠兄弟了
金馬會後 蔡淑臻高顏值狀態被狂讚!
頻道推薦
直播✦活動
三立新聞網
為了提供更好的閱讀內容,我們使用相關網站技術來改善使用者體驗,也尊重用戶的隱私權,特別提出聲明。
了解最新隱私權聲明
知道了