APP下載
活動
爆料
圖輯
AI爆報
追蹤新聞
3
台灣彩券開獎直播中
三立iNEWS新聞台線上直播
LIVE三立+24小時直播
即時
共軍圍台軍演
曹西平猝逝
新聞
熱門
政治
社會
娛樂
生活
新奇
健康
國際
兩岸
運動
財經
房產
旅遊
科技
汽車
遊戲
ESG
影音
總覽
政論
節目
熱搜
直播
iNEWS
專題
總覽
特企
專頁
大事件
彩券
專欄
民調
快訊
蕾菈斷捨離反骨結束二婚 元旦自剖心路
17:53
前鄉代兒勒、輾涉殺女友 家屬元旦淚招魂
17:52
不是空服員!日男最想結婚女性職業排行曝
17:50
YTR恆河尿尿遭包圍斥責 導遊致歉揭真相
17:37
爆炸原因曝!瑞士酒吧跨年夜爆炸傳10死
17:33
BTS元旦清空社群 回歸日期曝光粉絲嗨翻
17:31
要賴清德撤釋憲案 藍黨團:展現兩岸善意
17:28
王仁甫女兒手搖店打工 季芹曝孩新旅程
17:26
揭F-16神秘莢艙 他:共機一起飛就能鎖定
17:25
跨完年就遇大火 荷逾150年教堂恐難修復
17:18
熱狗跨年沒登台 在家慘遭女兒一句話破防
17:17
林俊傑認愛陸正妹網紅!發聲護愛:我不傻
17:17
醫:「3類食物」有致癌、心血管疾病風險
17:17
放生6hrs…女嬰屍燙破皮!夫回斷魂厝模擬
17:16
OKmart咖啡買2送2 1月壽星免費喝
17:15
放閃過頭!黃子韜跨年激吻徐藝洋爆脫粉潮
17:10
紅毛城前撞死清潔隊員 駕駛一度想飛出國
17:09
阿里山音樂會 神木下啟動臺灣燈會倒數
17:00
飯後立刻運動=胃痛?研究揭「驚人發現」
16:58
國台辦批賴清德新年談話 陸委會反擊了
16:58
台灣彩券開獎直播中
20:31
林岱樺「三大有感政策」點亮高雄夜空
20:30
求職者高度關注企業指標 酷澎脫穎而出
18:00
林岱樺返鳳山起家厝憶亡父!守護高雄未來
15:30
林岱樺三山造勢 「市民最大咖」時代來臨
11:00
立院將協商外送專法 聚焦最低報酬、疊單
20:00
淡水運動中心 全臺首座高爾夫戶外推桿場
17:30
林岱樺憶亡父林三郎 誓守護贏回高雄尊嚴
15:30
業界首創!醒吾三立影視學院進攝影棚拍攝
12:00
大巨蛋帶動樹林房價助攻房市升溫
12:00
嘉義市博會閉幕 +1+1+1派對逾17萬人
19:00
讀者投書/「林岱樺模式」撼動高雄?
18:00
白沙屯媽祖香火迎回新北!
13:35
支持者自發前往 車廂人潮成另類造勢畫面
10:30
綠營初選激烈 林岱樺鳳山造勢大會登場
22:00
首頁
關鍵字
程建博
程建博
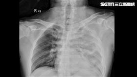
林正杰抗肺腺癌8年逝!8大症狀易誤認感冒
身為民進黨創黨元老之一的林正杰3日凌晨4時許病逝,享...
2025/06/04 05:59
林珍羽不菸罹肺腺癌!8大症狀易誤認感冒
台灣民眾黨台北市議員林珍羽昨(22)日下午在臉書透露...
2025/01/23 05:07
汪建民罹肺腺癌4期 8症狀「易誤認感冒」
56歲的汪建民以《台灣靈異事件》中「鐵頭」一角深植人...
2024/07/04 06:20
狂嗑火鍋又喝酒 男竟把食道吐到破裂
65歲楊先生日前與許久未見的親友相約吃火鍋、喝酒,一...
2020/08/13 11:23
母子竟先後揪出肺腺癌 醫揭驚人原因
57歲莊女士,家庭主婦,不抽菸、不喝酒、生活規律,在...
2019/10/04 16:10
最新圖輯
更多
羅志祥30周年演唱會
凱琳專訪
黃鐙輝、吳念軒、黃騰浩專訪
第62屆金馬獎得獎後台
第62屆金馬獎紅毯
劉書宏專訪
袁澧林、陳孝萱專訪
第36屆金曲獎星光大道
第36屆金曲獎得獎圖輯
NMIXX林口體育館粉絲演唱會
今日頭條
1
媽2026淚迎兒破碎屍 咖啡新星貼文惹哭網
2
國台辦批賴清德新年談話 陸委會反擊了
3
寒潮爆發?鄭明典曝機率示警:氣溫驟降
4
放生6hrs…女嬰屍燙破皮!夫回斷魂厝模擬
5
百萬網紅揭鄭麗文1言論威脅:幫中共開門
6
幫曹西平完成認屍!唯一親人嘆:慢慢放下
7
小S元旦發文「16字逼哭全網」 S媽近照曝
8
珉娥疑遭網路惡評壓垮 公司不忍發聲喊告
9
金正恩緊握女兒手看跨年 妻孤單遭晾一旁
10
資深女星宣布當阿嬤!2個兒子差不到十天
HOT焦點
更多
邱議瑩初選催票影片 蘇貞昌、陳其邁獻聲
魏如萱嗨翻台中跨年夜!全場氣氛爆表
林岱樺「三大有感政策」點亮高雄夜空
頻道推薦
直播✦活動
三立新聞網
為了提供更好的閱讀內容,我們使用相關網站技術來改善使用者體驗,也尊重用戶的隱私權,特別提出聲明。
了解最新隱私權聲明
知道了