APP下載
活動
爆料
圖輯
AI爆報
追蹤新聞
3
台灣彩券開獎直播中
三立iNEWS新聞台線上直播
LIVE三立+24小時直播
即時
助理費爭議
小紅書遭封鎖
新聞
熱門
政治
社會
娛樂
生活
新奇
健康
國際
兩岸
運動
財經
房產
旅遊
科技
汽車
遊戲
ESG
影音
總覽
政論
節目
熱搜
直播
iNEWS
專題
總覽
特企
專頁
大事件
彩券
專欄
民調
快訊
澳洲恐攻案增至16死 槍手身分曝為父子檔
07:05
他吃咖哩雞驚見「有其他肉」爆吐昏迷送醫
07:03
家暴後重返籃壇 戴維斯欠撫養費房遭查封
06:52
遊民酒醉持美工刀追砍2生...檢方聲押獲准
06:47
今晨低溫7.1度 冷氣團發威4縣市低溫特報
06:41
「公益網紅」賓賓哥遭爆斂財破億霸凌粉絲
06:40
雪梨海灘猶太節慶槍擊案 增至16人死亡
06:30
習近平國師稱:統一後10年台北變二線城市
06:17
黃國昌問「倒閣卓榮泰會下台嗎」律師嗆87
06:11
左岸公園驚見女屍仰躺馬桶旁…死者身分曝
06:09
獨/女星隨便賣海賊王漫畫!一聽差價傻眼
06:00
獨/男星悲慟阿嬤猝逝!來不及見最後一面
06:00
獨/超大咖嘻哈歌手變建中老師!曾是學霸
06:00
費半重挫5%博通暴跌 台股開盤恐不妙!
05:58
蕭敬騰岳父逝!昔中風手萎縮1舉動感動網
05:52
認1歲子卡到邪靈拋入海…法庭驚悚狂言曝
05:50
北市仁愛路電梯女工21樓「開口墜地」慘死
05:48
立院對台灣斷手斷腳 他:補救手段幾用完
05:38
10縣市今早起停水!最久「9小時沒水用」
05:30
8成確診已末期!1飲食習慣成癌王元凶
05:30
台灣彩券開獎直播中
20:31
高雄大氣球遊行登場 21顆空飄氣球超壯觀
12:00
嘉義市城市博覽會開幕「嘉義大舞台」嗨翻
20:00
健康AI領導品牌 威力先進得獎不斷
20:30
《上山吧》團員用「優蛋白EX」補充能量
13:00
《上山吧!台灣隊》創舉!征服非洲之巔!
10:00
他靠科學化心法兩年滾出千萬財富!
08:30
首頁
關鍵字
胸腔內科
胸腔內科
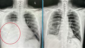
肺部「毛玻璃」影像嚇壞 醫:不等於癌症
隨著低劑量電腦斷層掃描(LDCT)被廣泛納入健檢項目...
2025/08/01 23:03
靠運動就好堅持不打疫苗 67歲男流感重症
流感疫苗每年都得施打一次,這次因藝人大S(徐熙媛)憾...
2025/02/15 19:00
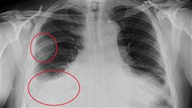
手變形成「杵狀指」 權威醫:是肺癌警訊
據衛福部國健署公布的數據顯示,台灣平均每44.7分鐘...
2025/01/31 15:29
當心!冬天除濕機「常見1開法」恐傷身
台灣天氣潮濕,許多民眾習慣開除濕機讓家中保持乾燥,不...
2025/01/23 08:28
手指頭變「杵狀指」 權威醫:是肺癌警訊
肺癌已經成了台灣癌症發生率、死亡率的雙冠王。肺癌初期...
2025/01/10 13:04
台灣每50分鐘有1人因它死!醫曝隱形殺手
肺癌成了台灣癌症發生、死亡的雙冠王,即便是不抽菸者也...
2025/01/03 09:40
這些情況恐是嚴重氣喘!不同治療法一次看
「嚴重氣喘」患者症狀常會頻繁發作,嚴重甚至需要到急診...
2024/04/05 07:12
末期肺癌慢性病化 可靠新ALK抑制劑治療
45歲的謝小姐,原本在東南亞工作,新冠肺癌疫情期間工...
2024/03/29 07:44
晚期肺癌患者握回生命韁繩!5年存活率66%
肺癌已成為台灣十大癌症之首,隨著醫療診斷技術的進步,...
2023/12/25 08:13
打破肺癌短命魔咒 療法多元有望延緩復發
66歲的連先生咳嗽咳了一陣子,一直以為自己是小感冒不...
2023/08/10 13:30
喘吁吁以為長新冠 就醫發現「菜瓜布肺」
一名60歲男性,長年吸菸且又在粉塵多的環境中生活及工...
2023/07/06 07:34
肺癌腦轉移別灰心 新標靶可降腦轉移風險
肺癌高居癌症死亡率之冠,當腫瘤轉移至腦部時,活存期僅...
2023/07/01 07:08
呼吸喘、咳嗽、有痰恐是COPD「肺阻塞」!
COPD,即「慢性阻塞性肺病」(簡稱「肺阻塞」),顧...
2023/06/25 07:09
小細胞肺癌治療如何選擇?醫師解析3療法
小細胞肺癌雖然在整體肺癌患者中佔比不高,僅有大約10...
2023/05/04 07:13
40歲男久咳誤當長新冠 4症狀是氣喘警訊
新冠疫情雖然降級,但仍有許多民眾出現久咳、易喘等症狀...
2023/04/30 07:12
肺癌患者及早做基因檢測 精準助對症下藥
72歲的李奶奶,因為長期咳嗽又容易喘,就醫經電腦斷層...
2023/02/13 09:00
小細胞肺癌惡性度最高 免疫療法提高存活
肺癌在台灣是死亡率最高的癌症,分為非小細胞肺癌與小細...
2023/01/05 13:00
長新冠喘、咳久未改善 應儘速就醫
截至2022年11月,全台灣確診COVID-19人數...
2022/12/19 11:00
病人常喘不過氣 呼吸訓練器提升肺活量
新冠肺炎延燒近三年,許多人染疫後雖都屬於輕症,但後續...
2022/12/12 10:30
不是長新冠後遺症?這類肺纖維化防不勝防
自新冠肺炎爆發後,國人開始注重長新冠議題,也擔憂潛在...
2022/10/31 10:30
確診肺癌三期搭1治療 半年後正常上班
罹患肺癌第三期,已無法開刀,還有根治可能嗎?搭配免疫...
2022/10/11 11:00
骨頭疼痛竟癌末!肺癌翁藉雙線治療改善病況
新竹臺大分院胸腔內科主治醫師暨教學部主任柯政昌分享,...
2022/09/28 14:00
早期肺癌 輔助藥物大幅減低復發
肺癌的威脅不分男女,死亡率皆為十大癌症之首,根據10...
2022/07/07 09:00
洗腎肝病族群口服藥 治療前看禁忌
近日國內新冠肺炎疫情爆發,新增本土確診人數已經突破五...
2022/05/17 09:30
氣喘依賴急救吸入劑 住院風險增七成
2021年台灣胸腔暨重症加護醫學會「台灣氣喘緩解用吸...
2022/05/02 16:00
男胸痛像被車輾忍5天 肋膜炎險丟命
台中一名52歲劉先生,平日身體相當硬朗,常常雲林、台...
2022/04/03 18:18
他罹肺癌中的癌王 卻還能扭轉命運?
近日藝人巴戈罹患癌王之稱的胰臟癌過世,令人不勝唏噓,...
2022/03/02 14:19
死亡率比肺炎高 有5症狀恐「膿胸」
肺主掌呼吸,一旦出問題後果可能非常嚴重,這兩年多以來...
2022/02/11 10:05
免疫療法改變第三期肺癌命運
針對第三期之後無法開刀的晚期肺癌,現在已有新突破!6...
2022/01/15 09:40
晚期肺癌新策略 基因檢測精準治療
一名40多歲的年輕女性因嚴重喘、咳嗽、身體虛弱而就醫...
2022/01/14 14:49
最新圖輯
更多
第62屆金馬獎得獎後台
第62屆金馬獎紅毯
劉書宏專訪
袁澧林、陳孝萱專訪
第36屆金曲獎星光大道
第36屆金曲獎得獎圖輯
NMIXX林口體育館粉絲演唱會
KISS OF LIFE台北演唱會
林芯儀專訪
GYUBIN大巨蛋開球
今日頭條
1
黃國昌問:倒閣卓榮泰會下台?他狠酸法盲
2
與美歐會談 澤倫斯基願放棄入北約條件曝
3
蕭敬騰岳父逝!昔中風手萎縮1舉動感動網
4
習近平國師稱:統一後10年台北變二線城市
5
今晨低溫7.1度 冷氣團發威4縣市低溫特報
6
澳洲恐攻案增至16死 槍手身分曝為父子檔
7
立院對台灣斷手斷腳 他:補救手段幾用完
8
發錢了!「一次給5個月」近10萬現金入帳
9
「公益網紅」賓賓哥遭爆斂財破億霸凌粉絲
10
10縣市今早起停水!最久「9小時沒水用」
HOT焦點
更多
健康AI領導品牌 威力先進得獎不斷
《上山吧》團員用「優蛋白EX」補充能量
海爾廚衛專攻小家庭 2026新品曝光搶市
頻道推薦
直播✦活動
三立新聞網
為了提供更好的閱讀內容,我們使用相關網站技術來改善使用者體驗,也尊重用戶的隱私權,特別提出聲明。
了解最新隱私權聲明
知道了