APP下載
活動
爆料
圖輯
AI爆報
追蹤新聞
3
台灣彩券開獎直播中
三立iNEWS新聞台線上直播
LIVE三立+24小時直播
即時
對等關稅違憲
九合一點將
新聞
熱門
政治
社會
娛樂
生活
新奇
健康
國際
兩岸
運動
財經
房產
旅遊
科技
汽車
遊戲
ESG
影音
總覽
政論
節目
熱搜
直播
iNEWS
專題
總覽
特企
專頁
大事件
彩券
專欄
民調
快訊
川普重磅聲明!全球關稅10%調升至15%
00:40
坐檯小姐脫衣陪酒遭逮 淪植物人13年病逝
00:38
吃蘑菇看到小人國?全球多地出現相同幻象
00:35
鄭麗君:有信心確保台灣最大利益
00:27
卓揆:談判團隊將與美溝通 確保待遇不變
00:23
受惠AI資料中心 華城電新目標價曝
00:10
莫迪見證!鴻海印度半導體布局邁大步!
00:04
散發令人害怕的味道?研究揭:馬都聞得到
00:00
新/包牌神操作!9連碰神技狂中7注加碼
23:50
老高與小茉爆出事!老高疑遭拘留、罰18億
23:34
新/大樂透1億一注獨得 大紅包還剩211組
23:28
囂張賊闖宅偷6.3萬給孫紅包 91歲嬤哭了
23:13
機車最遠騎多遠?北高戰士曝壯舉網全看傻
23:03
63歲傅娟當阿嬤低調多時 妮妮曝真實近照
22:59
川普祭10%全球關稅 賴清德發聲了
22:53
今晨全台「失眠潮」 這8連假讓你重開機
22:50
全身發燙!片商邀拍大尺度片 美女網紅回應
22:24
美平均關稅跌至8.3% 台排全球第5重稅國
22:22
大樂透1億元頭獎一注獨得!獎落這縣市
22:08
九把刀最爛片?戴立忍:這是台人《功夫》
22:04
台灣彩券開獎直播中
20:31
台彩春節加碼12億元創新高
12:00
大樂透加碼480組100萬元
12:00
大樂透加碼800組10萬元
12:00
初一金山財神廟湧人潮 聯名蛋捲禮盒喜氣
14:00
拜拜,其實很有台灣式幽默!
09:00
WE ARE我們的除夕夜 跨世代卡司陪觀眾
11:00
星城Online攜手《戲說台灣》拍創意單元劇
12:00
MY管管尾牙熱鬧登場 主打福利吸新戰力!
17:45
土城永福岩祖師廟擲筊賽 首獎祭百萬現金
14:50
春節最佳去處!桃園龍德宮成網美打卡點
13:00
以高回饋機制協助家庭資金更有效率運用
16:00
暗黑風格吸血鬼遊戲新作3/11上市!
12:00
幸福企業!愛妮雅集團成員工最強後盾
12:00
永旭保經留才 調整制度拚長期發展
11:30
首頁
關鍵字
胃腸肝膽科
胃腸肝膽科
醫師揭膽結石3大因子 「1職業」要小心
胃腸肝膽科醫師錢政弘指出,門診最常遇到的膽結石患者就...
2025/11/02 16:00
胰臟癌「2症狀」易被忽略 醫:快測血糖
身體警訊不可輕忽!胰臟癌被稱為癌亡,主要是因為早期不...
2025/04/19 11:49
狂放屁=罹大腸癌?醫揭「2關鍵」:快就醫
大腸癌是國人常見癌症,不少人不免擔心,常放臭屁是大腸...
2025/02/21 11:26
看病一半被Siri誤發7字 醫羞:傳給誰了
iPhone的語音助理Siri能夠協助用戶在繁忙中,...
2024/11/03 09:35
發炎性腸道疾病 注意日常3大原則
34歲的吳先生正值青壯年,剛成家立業的他肩負養家的重...
2024/09/03 10:00
30歲女長期胃痛腹脹噁心 禍首是幽門桿菌
名30歲的張姓女患者,因長期出現胃痛、腹脹、噁心等症...
2023/04/24 12:47
膽管堵塞生活品質 金屬支架助恢復行動力
王先生多年前癌症轉移至膽管,必須使用引流管協助膽汁排...
2023/04/17 09:55
大啖海鮮要注意!若不慎感染1菌致死率高
海鮮是美味且營養價值豐富的食物,常在大餐宴席中扮演不...
2023/02/24 10:56
老婦肝癌轉移險致命 標靶藥物接力搶生機
一名70歲家庭主婦,多年前因肝癌接受手術治療,但術後...
2023/02/17 10:00
翁腹痛延宕治療 差點就敗血症要他命
70歲的張先生因上腹疼痛,吃了胃藥後並無改善,反而疼...
2023/02/07 08:29
別忽視腸胃不適恐成癌定期照胃鏡及早治療
根據衛福部統計,胃癌一直都是國內「十大癌症死因排行」...
2022/12/05 09:30
晚期肝癌治療新趨勢 免疫合併療法
晚期肝癌預後差,免疫合併療法成為抗癌強力新武器!國立...
2022/09/19 21:00
自製鹼粽當心!醫曝誤飲鹼水可怕下場
醫師說明,民眾若是只誤喝一點點鹼水,在急診室觀察即可...
2022/05/31 08:57
膽道金屬支架引流膽汁 避免膽管阻塞
70歲的王媽媽因右上腹痛、經常噁心反胃食慾不振,在家...
2022/04/18 19:40
婦誤吞18公分牙刷!滑進喉嚨拿不出
1名44歲婦女因過度勞累加上趕時間,刷牙時不慎誤吞1...
2022/04/13 22:00
1天能喝幾杯咖啡?醫籲勿超過這數字
對於咖啡控來說,上午不喝杯咖啡,忙碌的一天不知如何開...
2022/03/02 21:31
天冷狂吃鍋!熟男「黑芝麻糊便」嚇壞
今年1月到今天(22)日只有6天沒有下雨,最近又受到...
2022/02/22 10:14
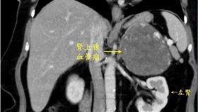
女上腹悶脹 竟是超罕見腎上腺血管瘤
60歲的蔡女士有輕微的高血壓和糖尿病,服藥多年控制穩...
2021/10/13 09:28
胃潰瘍多年久治不癒 竟是腫瘤所致
39歲的王先生(化名),持續胃潰瘍長達5、6年,反覆...
2021/04/26 09:40
B肝藥不能亂停! 半數患者恐復發
一位50多歲有B型肝炎男性患者依照健保給付的標準可使...
2021/01/29 10:40
神經內分泌腫瘤四處潛伏 名人也難逃
11月10日是世界神經內分泌腫瘤日,包括蘋果創辦人賈...
2020/12/10 11:00
B肝患者每周抽3公升腹水!
名年約五十幾歲男性B肝患者,雖知道自己B肝帶原,卻沒...
2020/12/05 10:40
台東馬偕攜手各偏鄉教會 為民服務
台東縣地形狹長,且主要醫院分布在台東市區,患者常因交...
2020/11/03 00:00
問/胃食道逆流沒關係?醫提醒恐罹癌
55歲的計程車司機陳先生因忙碌無暇運動,體重持續增加...
2020/10/19 08:35
B肝帶原40年爆肝炎 黃疸指數超高
一位四十多歲的男性,從未到醫院做過B型肝炎篩檢,直到...
2020/09/17 11:00
B肝致猛爆性肝炎喪命?定時服藥追蹤
在尚未出現B肝口服抗病毒藥物的年代,醫院經常出入因B...
2020/09/09 10:00
近4成B肝帶原者無自覺 籲定期追蹤
根據衛福部統計,死於肝癌的患者中,約有60%的人為B...
2020/08/08 09:05
「名人殺手」胰臟癌 5大危險因子曝
69歲的李姓婦人最近一個月出現背痛及上腹痛,合併有體...
2020/07/12 09:04
B帶原媽問:會不會寶寶也罹患肝炎?
30多歲楊小姐,是B型肝炎帶原者,定期在腸胃肝膽科門...
2020/05/08 09:55
C肝高盛行區首重宣導與防治
隨著醫療水準不斷地進步,C型肝炎的治療有別於以往施打...
2020/04/07 11:45
最新圖輯
更多
初孟軒、鍾岳軒專訪
龍千玉與翁立友領豪記唱片群星拜年
Rain鄭智薰小巨蛋演唱會
金在中演唱會
羅志祥30周年演唱會
凱琳專訪
黃鐙輝、吳念軒、黃騰浩專訪
第62屆金馬獎得獎後台
第62屆金馬獎紅毯
劉書宏專訪
今日頭條
1
川普重磅聲明!全球關稅10%調升至15%
2
川普祭10%全球關稅 賴清德發聲了
3
26億包機飛星國…空中漏油!緊急迫降高雄
4
當肉切!「檳榔刀割頸」70歲翁…男遭羈押
5
新/大樂透1億一注獨得 大紅包還剩211組
6
搭小黃…吼一聲「半路墜25米國道」死亡!
7
曹興誠發文喊話習近平:侵略台灣乃是絕路
8
紐時:「2國」投資落後恐成加稅對象
9
沈玉琳過年0會面!鬆口血癌治療最新方向
10
週日飆30度!下週2波鋒面接力 雨下到3月
HOT焦點
更多
拜拜,其實很有台灣式幽默!
春節最佳去處!桃園龍德宮成網美打卡點
以高回饋機制協助家庭資金更有效率運用
頻道推薦
直播✦活動
三立新聞網
為了提供更好的閱讀內容,我們使用相關網站技術來改善使用者體驗,也尊重用戶的隱私權,特別提出聲明。
了解最新隱私權聲明
知道了