快訊
聽新聞
0:00 0:00

耳朵流膿別亂挖!75歲翁「右臉突癱瘓」嚇壞 醫一照驚:大腦骨頭被吃掉

記者簡浩正/台北報導

患者罹患慢性中耳炎併發膽脂瘤,且病灶已侵蝕顱底骨質。(示意圖/翻攝自微博)
患者罹患慢性中耳炎併發膽脂瘤,且病灶已侵蝕顱底骨質。(示意圖/翻攝自微博)

耳朵流膿、疼痛千萬別再拖,小心「臉歪」找上門!一名75歲的張姓老翁,過去曾有慢性中耳炎病史,日前右耳再度出現耳痛、耳脹,甚至不斷流出惡臭膿液,在診所治療多日都沒好。沒想到轉往大醫院檢查後,病況竟發生恐怖反轉,張翁不僅外耳道紅腫積膿,甚至出現「顏面神經麻痺」,右臉當場癱瘓,家屬嚇得跪求醫師救命!

恐怖「膽脂瘤」侵蝕顱底!醫:像怪獸會吃骨頭
台北慈濟醫院耳鼻喉科鄭靜雯醫師檢查後發現,張先生不僅是單純發炎,透過顳骨電腦斷層(CT)一看,確診為「慢性中耳炎併發膽脂瘤」。最駭人的是,這顆瘤雖然是良性,卻具備極強的破壞力,病灶早已侵蝕顱底骨質,甚至壓迫到神經導致臉歪。

醫師鄭靜雯指出,膽脂瘤就像是耳內的「小怪獸」,由角質物質堆積而成,會不斷侵蝕骨質、破壞聽小骨。若未及時處理,不僅聽力會喪失,更可能引發劇烈暈眩,甚至因為鄰近大腦,導致腦膜炎、腦膿瘍等致命後果,絕對不容小覷。

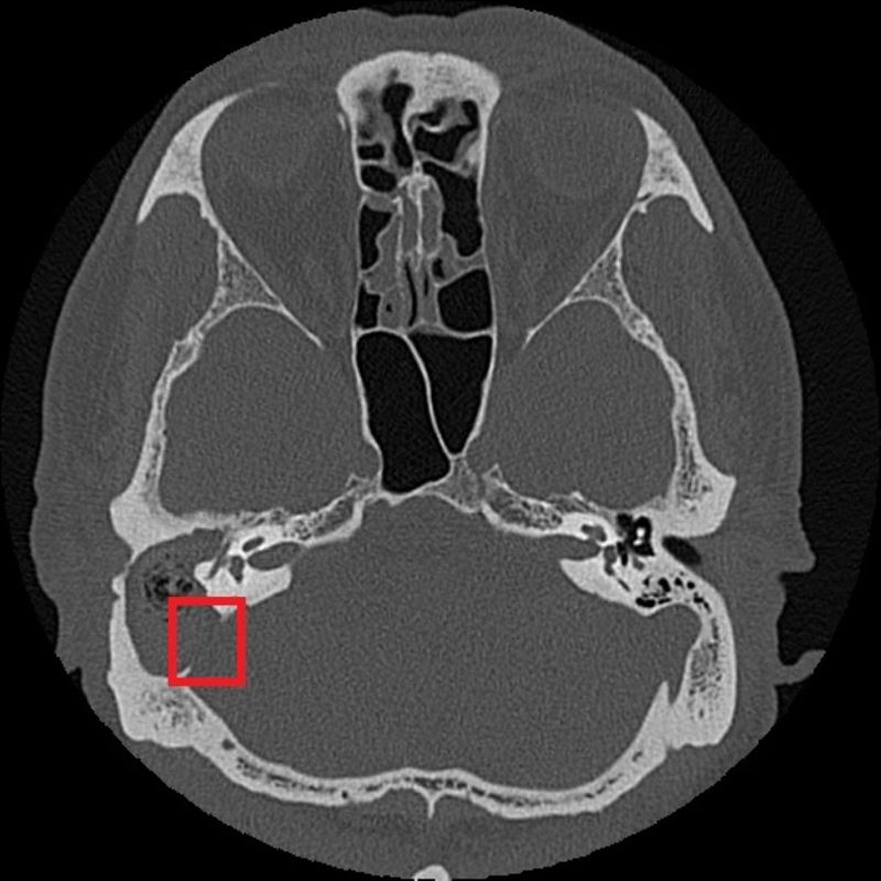
紅框處可見與後顱窩相隔的骨板被膽脂瘤侵蝕。(圖/台北慈濟醫院提供)
紅框處可見與後顱窩相隔的骨板被膽脂瘤侵蝕。(圖/台北慈濟醫院提供)

手術難度高!耳後「開洞」修補顱底才救回
由於張先生的病灶已破壞乳突並侵蝕顱底,醫療團隊緊急安排「鼓室重建」與「乳突鑿開術」。醫師從耳後切開,完整清除膽脂瘤病變組織,並同步修補耳膜與顱底缺損。所幸手術相當順利,張翁術後恢復良好,原本癱瘓的臉部神經也奇蹟般地「校正回歸」,完全恢復功能。

醫警告:這「4類人」是高風險群!沒事別亂挖耳朵
鄭靜雯醫師提醒,約有1成的慢性中耳炎患者會合併膽脂瘤,尤其是**「鼓膜穿孔、中耳負壓、唇顎裂兒童、耳咽管功能不佳」**這4類人是高風險族群。

此外,醫師也特別點出一個民眾常犯的錯誤:「過度或不當挖耳朵!」鄭靜雯強調,亂挖耳朵容易造成外耳道受傷或耳膜穿孔,反而增加感染風險。若發現耳朵長期流膿、反覆發炎,或是伴隨聽力下降、耳痛,一定要盡速就醫,才能守住聽力也守住健康。

#祝你健康

【94要客訴】黃國昌為抄錄清單拿密件?藍營圍攻柯文哲2026.01.21
大數據推薦
CH54三立新聞台直播
熱銷商品
頻道推薦
直播✦活動
三立新聞網三立新聞網為了提供更好的閱讀內容,我們使用相關網站技術來改善使用者體驗,也尊重用戶的隱私權,特別提出聲明。
了解最新隱私權聲明