快訊
聽新聞
0:00 0:00

壯男健身突胸痛腫脹 竟是罕見「胸大肌斷裂」醫示警3症狀要當心

記者簡浩正/台北報導

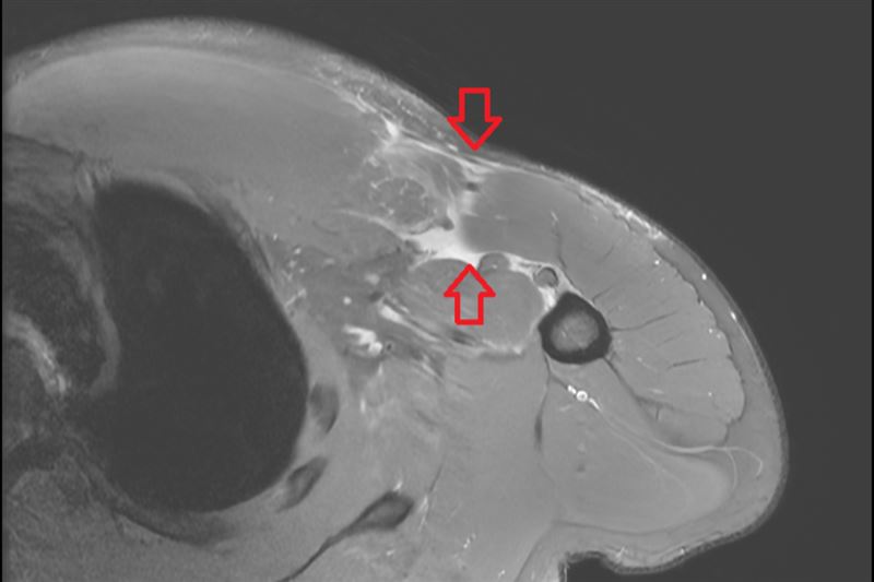
個案核磁共振檢查發現其右側胸大肌斷裂。(圖.台北慈濟醫院提供)
個案核磁共振檢查發現其右側胸大肌斷裂。(圖.台北慈濟醫院提供)

近年台灣健身風潮盛行,但健身也得小心隱藏傷害。一名27歲男子平時有規律健身的習慣,日前正在健身房進行臥推訓練時,一放下槓鈴瞬間,突然感到右側胸口劇烈疼痛,右上肢越發無力,伴隨瘀青腫脹,立馬到醫院求診,診斷為罕見的右側「胸大肌斷裂」,必須接受胸大肌肌腱縫合手術,重新固定斷裂肌腱。

台北慈濟醫院骨科醫師李奕澄表示,胸大肌位於人體胸前表層,是覆蓋胸壁最外層、體積最大的肌肉之一,從胸骨與鎖骨一路延伸至上臂,負責肩關節內收與內旋,是執行推舉與支撐等上肢功能的重要肌群。而當手臂處於外展、外旋狀態,又同時承受高重量時,胸大肌肌腱所承受的拉扯力量加劇,斷裂風險隨之增加。

他說,胸大肌斷裂屬於相對罕見的運動傷害,主要發生在20-40歲、長期從事重量訓練的族群,臨床症狀包括急性劇痛、局部腫脹與瘀青、患側力量明顯下降等,外觀上也可能出現兩側胸部不對稱;若未及時治療,斷裂的肌腱可能逐漸回縮並產生沾黏,不僅上肢推舉與支撐力量會受損,外觀變形也可能成為永久性改變,對日常工作、自信心與生活品質造成長遠影響。

如何檢查與治療?李奕澄說,醫師會先透過病史詢問與理學檢查,觀察胸型輪廓、瘀青分布、肌力變化與肌腱走向,並進一步以核磁共振檢查確認斷裂位置與程度。治療方式需依病人狀況綜合評估,對於部分撕裂、功能需求不高的病人,可先採取保守治療,如休息、止痛藥物與復健訓練;但若為急性期完全斷裂,手術通常能帶來較佳的力量與外觀恢復。重要的是,病人手術後需依照醫師指引進行復健,整體而言,胸大肌修復後多數病人可望半年內回到運動或工作,但實際時程仍需視受傷程度與復健遵從性而定。

如上述個案藉由理學檢查與核磁共振影像,診斷為右側胸大肌斷裂,隨即安排胸大肌肌腱縫合手術,固定斷裂肌腱。術後林先生按時復健,力量逐步回升,半年後也恢復日常生活。

李奕澄提醒,民眾進行健身訓練務必循序漸進,增加重量與次數前一定要先確認姿勢正確,也要做好足夠暖身,且避免疲勞狀態下操作;若在臥推或推舉動作中出現胸口劇痛、患側明顯無力時應停止運動,並盡快就醫評估,以免造成進一步的傷害。

#祝你健康

CH54三立新聞台直播
大數據推薦
【#直播中LIVE】徐若熙和軟銀來台打交流賽 明對戰WBC台灣隊
熱銷商品
頻道推薦
直播✦活動
三立新聞網三立新聞網為了提供更好的閱讀內容,我們使用相關網站技術來改善使用者體驗,也尊重用戶的隱私權,特別提出聲明。
了解最新隱私權聲明