APP下載
活動
爆料
圖輯
AI爆報
追蹤新聞
3
台灣彩券開獎直播中
三立iNEWS新聞台線上直播
LIVE三立+24小時直播
即時
青森7.5強震
小紅書遭封鎖
新聞
熱門
政治
社會
娛樂
生活
新奇
健康
國際
兩岸
運動
財經
房產
旅遊
科技
汽車
遊戲
ESG
影音
總覽
政論
節目
熱搜
直播
iNEWS
專題
總覽
特企
專頁
大事件
彩券
專欄
民調
快訊
辦美簽需公開社群 他笑:這群人要大砍文
05:39
女CEO一句騙倒多家銀行!詐財9億潛逃杜拜
05:32
稱開戰可上班課被藍白罵 他挺苗博雅嗆爆
05:24
國中女吸喪屍煙彈 她爆校長扯謊對話氣死
05:13
外資大買196億 它僅被敲逾7千張就漲停!
04:58
五金行大火四代12人亡 家屬慟:為何沒跑
04:51
日中關係惡化 高市早苗喊:要儘早見川普
04:48
傳阿里巴巴、字節跳動 想買輝達H200晶片
04:43
聯準會再宣布降息1碼!今年利率連3降
04:36
電力、航太竄升新主流 這2檔暴增近5萬人
03:53
重度失智佔比近18% 照護費用它幫你打底
01:36
外資買196億 記憶體這幾檔被倒好慘!
01:16
男靠節儉存6千萬 因1事頓悟錢買不回時光
01:00
AI帶旺晶片檢測 閎康靠高階分析接單滿手
00:55
揮桿付出愛 壽山盃高球賽即將起跑
00:38
獨/純天然!近百年巨樹「撞臉神獸」
00:29
獨/不只晶片 台產鼠、蛇優質成另類外交
00:25
3EP美少女消失藝界在餐廳打工 哽咽揭近況
00:22
花蓮總預算401億未納光復重建 張峻怒了
00:21
存股王者再寫傳奇 22年漲12倍衝破兆元
00:20
台灣彩券開獎直播中
20:31
LINE Pay Money不到三天破百萬用戶
16:00
宏佳騰Aeontek全新微電車 滿足各族群需求
13:00
宮古島以「沖繩最美離島」之姿成冬季亮點
11:00
香氣吸客!品牌耶誕市集一番賞抽獎湧人潮
13:00
運動咖必備!sNug打造真正有感科技羊絨襪
10:30
北市打造全齡友善職場 推動中高齡就業
20:00
蔣萬安市長現身青山宮嗨唱 超夜點亮萬華
14:00
期交所推出個股週選擇權 避險策略再升級
10:00
菸捐長期凍漲 造就全球最廉價的健康殺手
08:00
演員張世賢多年後重返房仲業開啟斜槓人生
14:00
「疲勞」元凶曝光 竟與微量元素有關
12:00
首頁
關鍵字
腸套疊
腸套疊
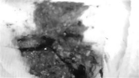
嬰跌落狂吐竟「致命疾病」醫:嚴重恐死
嬰兒出現嘔吐未好轉,原因可能不單純。1名嬰兒因從床上...
2024/09/04 15:12
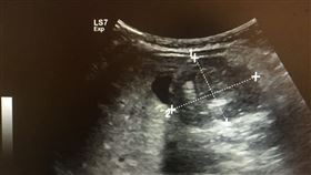
1歲男嬰半夜躁動不止 原來腸子打結了
一名1歲的小男嬰,日前曾感染腺病毒,雖然已經康復,沒...
2023/09/03 13:00
嫩嬰腸子「連環套」 爸媽輕忽恐致命
對新手爸媽來說,面對不會表達的新生兒哭聲是感到最無助...
2021/01/11 17:37
四個月幼兒腸套疊 經搶救後正常解便
四個月大的小BABY,哭鬧斷斷續續,父母親一開始以為...
2021/01/11 13:43
男童哭鬧原來腸子卡住 醫:拖延會死
日前1歲.個月張姓男童突然出現一陣一陣哭鬧的情形,安...
2020/07/16 07:44
求助被回「午餐時間」 6歲童發病亡
台灣醫療獨步全球,超高的效率及便宜的費用讓外國人好震...
2020/06/29 19:24
男嬰大便如草莓果醬 醫:這會要命的
剛滿周歲、活力十足食慾甚佳的男嬰,日前晚餐後開始出現...
2019/09/17 11:19
求助被嗆「午餐時間」 男童發病身亡
台灣醫療獨步全球,超高的效率及便宜的費用讓外國人好震...
2019/09/15 07:02
求助被回「午餐時間」 男童發病身亡
台灣醫療獨步全球,超高的效率及便宜的費用讓外國人好震...
2019/05/10 07:44
男嬰拉果醬血便 醫一查…險腸壞死
嬰幼兒大便出血最好及時就醫!有對爸媽近日幫出生不到3...
2019/04/24 13:03
5歲女童夜夜哭鬧 開刀現「腸中腸」
一名5歲女童,每到晚間就會肚子痛到無法入睡,開刀確認...
2019/04/08 07:54
腹痛吃不下變急性腸阻塞!老太太險死
長輩腹痛,千萬當心!八十六歲黃老太太腹痛吃不下,沒想...
2016/08/18 09:19
最新圖輯
更多
第62屆金馬獎得獎後台
第62屆金馬獎紅毯
劉書宏專訪
袁澧林、陳孝萱專訪
第36屆金曲獎星光大道
第36屆金曲獎得獎圖輯
NMIXX林口體育館粉絲演唱會
KISS OF LIFE台北演唱會
林芯儀專訪
GYUBIN大巨蛋開球
今日頭條
1
台中女開車疑闖紅燈 撞2機車1男慘死
2
勉勵青年局成員 賴清德:未來總統出自這
3
5縣市可望變綠地?徐國勇曝民進黨目標
4
台北私房菜海派遭砸 2人落網:被叫來的
5
下指示修助理費除罪化? 李乾龍:沒有啦
6
共機又來亂!8架次跨越中線進入我國空域
7
京華城賣地案 檢調傳喚京華城董事長
8
小S發文曬大S合照!徐媽媽淚崩高舉金鐘獎
9
殺檳榔攤闆娘兇嫌 9年前砍運匠口噴殺蟲劑
10
最快週日低溫探10度!「這天接力」再急凍
HOT焦點
更多
LINE Pay Money不到三天破百萬用戶
宏佳騰Aeontek全新微電車 滿足各族群需求
香氣吸客!品牌耶誕市集一番賞抽獎湧人潮
頻道推薦
直播✦活動
三立新聞網
為了提供更好的閱讀內容,我們使用相關網站技術來改善使用者體驗,也尊重用戶的隱私權,特別提出聲明。
了解最新隱私權聲明
知道了