APP下載
活動
爆料
圖輯
AI爆報
追蹤新聞
3
台灣彩券開獎直播中
三立iNEWS新聞台線上直播
LIVE三立+24小時直播
即時
北捷隨機攻擊
財劃法不副署
新聞
熱門
政治
社會
娛樂
生活
新奇
健康
國際
兩岸
運動
財經
房產
旅遊
科技
汽車
遊戲
ESG
影音
總覽
政論
節目
熱搜
直播
iNEWS
專題
總覽
特企
專頁
大事件
彩券
專欄
民調
快訊
張文是虎尾科大校友!在校表現校方全說了
15:43
她打猛健樂沒瘦還糖上癮!醫籲1類人別打
15:42
小橘書全看完有感 北榮院長:全民都該看
15:40
北捷砍人案就在眼前!女星直擊「滿地血」
15:39
張文隨機殺人!他驚憶11月見同裝扮搭捷運
15:37
范世錡直播瘋傳 爆叫人「寄牙齒給他玩」
15:34
冬至吃湯圓不夠 還要吃1食物:能量轉換
15:32
張文殺戮釀4死!《與惡》温昇豪8字發聲
15:29
消費亡者?獻花「掛logo」UG道歉換來拒喝
15:27
砍人案現場救援 台大父女檔醫師首發聲
15:27
心繫總預算未過 賴清德喊話醫師做這件事
15:26
58歲三浦知良 續戰日足聯賽迎第41個賽季
15:23
2縣市車主注意!1/1起加嚴管制 最高罰6萬
15:22
柯瑞槍響前6秒關鍵上籃 勇士中止3連敗
15:11
花蓮紅牌重機疑闖紅燈撞車!騎士頭破慘死
15:05
吳子嘉估柯文哲高雄民調恐贏她:會選到底
15:03
列張文犯罪軸線 議員:北市警網出啥問題
15:03
新/2少女騎單車出意外 摔落金瓜寮山坡
15:02
高雄時尚大賞 青年設計「TZUNUK」奪金
15:00
GD唱一半麥克風給後輩 韓媒狠批唱功不足
15:00
台灣彩券開獎直播中
20:31
深耕在地!PP石墨烯以實際行動應援台灣
16:00
謝宜容霸凌案促《職安法》增「霸凌專章」
14:00
「睡眠能量艙」為何越來越多人開始這樣睡
14:00
亞太首創!早期腎病年報看見台護腎領導力
13:00
秋冬穿出曲線小心機!「波波凍」無痛UP
12:00
桃合特區首案「佳陞豐禾」擁新站計畫利多
13:00
首頁
關鍵字
頭昏
頭昏
女狂嗑荔枝流鼻血昏倒 醫:荔枝病恐致命
盛夏時節,甜美多汁的荔枝令人垂涎三尺,但一次吃太多恐...
2025/06/11 18:51
台中工人上廁所突倒地 說一句話送醫不治
台中市西屯區市政路上一處工地驚傳憾事!一名43歲林姓...
2024/12/13 23:01
女心悸、盜汗 罹罕病「副神經節瘤」
一名25歲年輕女性因膀胱炎反覆感染就醫,結果意外發現...
2021/11/08 16:25
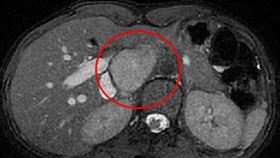
一張圖了解頭暈類型!3情況盡早就醫
頭暈日常相當常見,但每個人的感受皆有所不同,其為一個...
2021/10/14 01:00
韓不曉得反送中 議員怒:故意裝糊塗
高雄市長韓國瑜,面對香港「反送中」遊行,第一時間回答...
2019/06/10 21:09
她無故嘔吐 醫驚見腦中7條蟲游啊游
大陸一名26歲的女子小王(化名)近日經常出現頭昏、頭...
2019/03/05 20:49
短褲妹外出中暑暈倒 暖警出手相救
台北市信義區1名18歲的范姓女子,上週五中午時分外出...
2017/08/17 15:00
吃了安眠藥還是睡不著?專家這樣分析
現今社會生活步調緊湊,面對沉重的工作與生活壓力,愈來...
2017/07/14 11:36
國中會考逼近 醫師教化解考試症候群
國中會考將登場,有考生出現頭昏、胸悶、心悸、腸胃不適...
2017/05/17 18:09
防一氧化碳毒 熱水器裝陽台就沒事?
台中太平區今(24)日早上10點多一戶住宅驚傳疑似一...
2017/02/24 15:33
「黑貓」撞進銀樓 毀3車路人驚逃
嚇壞人!黑貓宅急便貨車撞銀樓,民眾目睹嚇壞,還以為要...
2016/09/11 20:38
最新圖輯
更多
第62屆金馬獎得獎後台
第62屆金馬獎紅毯
劉書宏專訪
袁澧林、陳孝萱專訪
第36屆金曲獎星光大道
第36屆金曲獎得獎圖輯
NMIXX林口體育館粉絲演唱會
KISS OF LIFE台北演唱會
林芯儀專訪
GYUBIN大巨蛋開球
今日頭條
1
砍人案現場救援 台大父女檔醫師首發聲
2
張文隨機殺人!他驚憶11月見同裝扮搭捷運
3
心繫總預算未過 賴清德喊話醫師做這件事
4
列張文犯罪軸線 議員:北市警網出啥問題
5
沒邀鄭麗文!王金平:柯志恩才代表國民黨
6
傳監視器畫面失靈?北捷證實:一組故障
7
2縣市車主注意!1/1起加嚴管制 最高罰6萬
8
母被騙買1物吃到要洗腎 商品包裝曝光
9
聖誕節挑戰冷氣團 台北低溫恐下探14度
10
UG獻花悼念「露LOGO」道歉 1舉動再被轟
HOT焦點
更多
「潮聲回港」登場!基隆國門廣場湧入人潮
吳鳳沉重談北捷血案:一向被認為相對安全
小心長者成詐騙目標!銀行進社區宣導觀念
頻道推薦
直播✦活動
三立新聞網
為了提供更好的閱讀內容,我們使用相關網站技術來改善使用者體驗,也尊重用戶的隱私權,特別提出聲明。
了解最新隱私權聲明
知道了