APP下載
活動
爆料
圖輯
AI爆報
追蹤新聞
3
台灣彩券開獎直播中
三立iNEWS新聞台線上直播
LIVE三立+24小時直播
即時
F-16夜航失事
川普空襲委國
新聞
熱門
政治
社會
娛樂
生活
新奇
健康
國際
兩岸
運動
財經
房產
旅遊
科技
汽車
遊戲
ESG
影音
總覽
政論
節目
熱搜
直播
iNEWS
專題
總覽
特企
專頁
大事件
彩券
專欄
民調
快訊
新/Meta引爆核電股 「這兩檔」飆逾13%
00:33
國王主帥罵翻中壢場館 雲豹2星卻喊喜歡
00:31
所幸沒採納投球想法 林安可:才可以旅外
00:13
土方之亂多嚴重?全台公會轟:抱著一起死
23:54
美洲訂單回來 世豐螺絲12月營收登全年高
23:52
產學攜手 為高雄打造地方創生新商模
23:38
林安可球帽太小爆笑 西武獅也有台灣至寶
23:34
世紀婚禮變資產清算 判決出爐:爭一口氣
23:23
李博登新賽季不回中職 小聯盟約加入紅人
23:19
蔣中正日記情欲自白 台大歷史生為他喊冤
23:07
徹底決裂!貝克漢長子怒寄法律信給爸媽
22:59
蘇泰安遺憾看不到跳舞了 林安可:不輕鬆
22:59
盧秀燕籲中央補助營養午餐 行政院回應了
22:57
台男詐老美退休金數百萬美元!機場落網
22:55
館長被起訴 怒喊要賴出庭作證:司法迫害
22:55
中壢場館球員和民眾搶廁所 國王主帥怒了
22:52
蔡依林告網友近況曝 燦笑合體2大咖歌手
22:51
新/異軍突起!美股開盤核電題材漲破13%
22:45
企業之冠 富邦金控獲運動推手獎11項大獎
22:36
不只捐億元!郭董女兒端佛跳牆為弱勢加菜
22:33
台灣彩券開獎直播中
20:31
文總除夕節目巧思多!陪伴大家一起迎新年
20:00
冬天也能有名模腿!石墨烯火山岩一穿即暖
12:00
15縣市皮蛇疫苗補助一次看!
11:00
跨越38區串連!千街萬巷挺岱樺最後衝刺
20:00
航空城新都心紅利多 購屋族最佳宜居環境
16:00
首頁
關鍵字
體重減輕
體重減輕
以為是感冒?確診「這罕見病」險喪命
在企業擔任中階主管的52歲李先生近期常常感到莫名倦怠...
2025/11/14 15:08
他頭部莫名腫脹滲血流膿 一查竟骨肉瘤
平時真的要多注意健康和定期健檢,這樣才能把握治療的黃...
2025/01/31 09:29
台灣失智人口增 醫師示警多補充2營養素
台灣邁入高齡化社會,先前衛福部公布65歲以上長者失智...
2024/06/30 16:25
大腸癌8大徵兆曝 醫:有症狀都已中晚期
近年來,大腸癌一直都是國人最常見的癌症,許多名人如豬...
2022/12/03 05:04
狂跑廁所不只是腸躁症!3症狀快就醫
20至40歲族群,如果有排便異常及腸胃症狀,也要注意...
2022/09/14 17:32
夜間盜汗觀察5大方向 醫籲請多留意
不少民眾都有過夜間盜汗的經驗,不斷流汗、被單濕透,甚...
2021/11/18 22:06
腸癌驚見肝轉移!治療團隊化險為夷!
張先生(化名)為單位高階主管,52歲的他終日勤懇工作...
2021/04/23 12:00
長時間同一部位腹痛 小心腸癌警訊
55歲男性長期有輕度貧血,右上腹持續疼痛3個月,且體...
2019/11/08 11:47
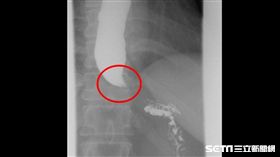
她慘變紙片人!食道攝影嚇見「鳥嘴」
高雄一名16歲女高中生,半年前開始只要一吃完東西就必...
2019/10/21 14:50
嘴巴飄出臭水溝味 恐是死亡警訊?
一名年約30多歲的的江姓男子,竟然從國中就開始吃檳榔...
2019/08/18 21:52
暴瘦先別開心! 「沉默婦癌」恐上身
卵巢癌難察覺,死亡率是婦癌中最高的癌症,醫師提醒,此...
2019/08/02 11:38
爆瘦、沒力...當心「血癌」7警訊
一名70歲的婦人除了有長期貧血外,白血球更飆高至20...
2019/06/24 16:56
賀一航罹大腸癌逝!早期5徵兆需注意
知名主持人賀一航昨(3)日因大腸癌病逝,再度引發國人...
2019/06/04 09:53
大腸癌徵兆有哪些?判定方法一次學
大腸癌長年蟬聯我國十大癌症榜首,雖然近年來罹患此癌症...
2019/05/04 13:13
晚餐嗜燒烤 18歲女胃萎如8旬老人
燒烤越吃越療癒,當心吃多招病。有名高中女學生因為家裡...
2018/09/07 19:17
注意!吃飯常嗆到 恐這病上門非小事
吞口水時經常會嗆到、吃東西變成一件很累人的事、說話時...
2018/04/26 13:45
她半年掉了20公斤 竟是淋巴癌作怪
47歲的小如於3年前因體重在半年內驟降20公斤、肚子...
2018/03/26 06:35
她血便不斷 吞膠囊「攝影機」揪病因
一名51歲的楊小姐無任何疾病,也沒有服用任何藥物,此...
2018/03/14 19:52
疾管署副署長羅一鈞 38歲得糖尿病
疾管署副署長羅一鈞17日接受《聯合報》專訪表示,可能...
2017/11/21 18:37
她一天拉肚子逾10次 竟是這病作怪
一名在澎湖讀書的女大生,因罹患潰瘍性結腸炎,反覆腹痛...
2017/09/20 18:41
維持體重 「癌」注意! 3吃1記助
體重維持,「癌」注意!因為惡性腫瘤本身和治療副作用容...
2017/05/22 16:06
最新圖輯
更多
羅志祥30周年演唱會
凱琳專訪
黃鐙輝、吳念軒、黃騰浩專訪
第62屆金馬獎得獎後台
第62屆金馬獎紅毯
劉書宏專訪
袁澧林、陳孝萱專訪
第36屆金曲獎星光大道
第36屆金曲獎得獎圖輯
NMIXX林口體育館粉絲演唱會
今日頭條
1
全力尋辛柏毅!三仙台即時影像直擊照明彈
2
陳志遭押送中國 他揭下場:從地球消失
3
寒流能放低溫假?停班課標準、案例一次看
4
館長瞎斬首賴清德遭起訴 梁文傑回他1句
5
好市多全球CEO到台中「看地簽約」官方回
6
七期豪宅虐殺小弟!冷血警友遭判無期
7
油槍淋軀體…焚2人破皮!他著火撲消防員
8
台南「最大尾」!永康巨蜥逍遙1年終落網
9
三段變溫!寒流探7度冷3天 中南部恐更極端
10
曹西平靈堂開放17天告別!最後陪伴者是他
HOT焦點
更多
搶攻草莓季商機!在地品牌跨界合作推新品
冬天也能有名模腿!石墨烯火山岩一穿即暖
15縣市皮蛇疫苗補助一次看!
頻道推薦
直播✦活動
三立新聞網
為了提供更好的閱讀內容,我們使用相關網站技術來改善使用者體驗,也尊重用戶的隱私權,特別提出聲明。
了解最新隱私權聲明
知道了