APP下載
活動
爆料
圖輯
AI爆報
追蹤新聞
4
杜秉澄開撕徐巧芯?
台灣彩券開獎直播中
三立iNEWS新聞台線上直播
LIVE三立+24小時直播
即時
袁惟仁逝世
九合一點將
新聞
熱門
政治
社會
娛樂
生活
新奇
健康
國際
兩岸
運動
財經
房產
旅遊
科技
汽車
遊戲
ESG
影音
總覽
政論
節目
熱搜
直播
iNEWS
專題
總覽
特企
專頁
大事件
彩券
專欄
民調
快訊
陸元琪被罵騙婚!兒子網上匿名多年護媽
11:20
帶小雞登記選議員 王世堅:總算有新派系
11:20
黃國昌喊在野黨打下高雄!他不屑轟1句
11:18
單親爸撫養8歲女 工地打拼借貸賺手術費
11:16
「一夫多妻」網紅落魄剩2人相伴:會再娶
11:14
鄭麗文自稱中國人!李貞秀:不然叫什麼?
11:14
軍公教準備領錢了!年終獎金「這天」入帳
11:09
冰湖封場 三輛稀有布加迪直接上冰狂飆
11:09
大谷翔平分享愛犬新書!愛女入鏡萌翻粉絲
11:08
台灣護照免簽多國排名卻慘輸?網:很夠用
11:07
新/金宣虎爆逃稅!首發聲道歉1原因犯錯
11:06
今立春後7天是關鍵 這2事別做恐影響運勢
11:05
想脫單、好人緣?專家曝「居家5大風水」
11:05
高市豪賭式解散眾議院 陳天隆揭重整內幕
11:04
Melody上節目突脫口:我對風過敏 畫面曝
11:04
名主廚慘了 私會人妻「突被男星尪抓包」
11:00
2026花在彰化邁入20週年 全新3大亮點曝
11:00
日本買熊肉罐頭入境?恐吃牢飯重罰150萬
10:59
李貞秀爭議!謝龍介:兩岸不存在拋棄國籍
10:58
傳李四川年前請辭?蔣萬安:考慮我好嗎
10:56
台灣彩券開獎直播中
20:31
杜秉澄開撕徐巧芯?
10:30
SMILE Pro單眼10秒讓吳姍儒視力自由
11:00
網友大推「這款」四層衛生紙:還不買爆
10:30
光耀科前董座涉掏空 遭檢調搜索偵辦
09:00
首頁
關鍵字
下咽癌
下咽癌
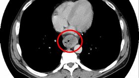
男罹下咽癌!常碰3物惹禍 失聲變唐老鴨
一名56歲男子抽菸、嚼檳榔、喝酒超過30年,3年前突...
2025/12/18 11:53
他菸檳酒不離身突「吞嚥不順」竟罹2癌症
48歲的張先生長年抽菸、喝酒、嚼檳榔,今年初出現喉嚨...
2025/11/19 11:13
男菸檳酒全包狂瘦7kg 竟是「雙癌鎖喉」
50歲李先生因工作壓力大,每天抽菸、喝酒及嚼檳榔達廿...
2024/09/29 11:27
63歲男聲音沙啞喉嚨卡卡 就醫竟罹癌4期
台中一名63歲王姓男子,近來一直覺得聲音沙啞、喉嚨卡...
2024/01/08 17:29
36歲男不菸不酒 突「吞嚥困難」竟已罹癌
36歲陳先生不菸不酒,最近一個月開始覺得要很用力才能...
2023/10/05 05:02
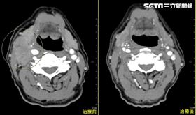
男下咽長雞蛋大腫瘤 北榮治療組合保全喉
口腔癌是男性發生率第三位,死亡率第四位的癌症,現年6...
2023/08/02 15:34
下咽癌痊癒又罹食道癌前病變 醫:有關聯
頭頸癌與食道癌有很高的關聯性,如果患有口腔癌、下咽癌...
2022/12/07 07:00
30年天天喝酒 男摸頸腫塊已是4期
許多人在下班後喜歡小酌幾杯、放鬆心情。彰化一位50歲...
2022/01/18 15:53
AV獵豔帝王癌末 沒錢抗病對不起他
日本AV產業發達,締造許多人氣女優、男優,其中有「獵...
2020/11/27 11:18
菸癮20年、突吞嚥卡卡…下咽癌晚期
台中60歲張先生菸癮達20多年,數月前無意中發現右側...
2020/09/22 08:47
男喉嚨卡卡有異物感 就醫竟罹癌2期
喉嚨腫痛、吃東西卡卡的可要當心,很可能是身體健康亮紅...
2020/05/19 01:06
2癌末無法手術 AV獵豔帝王吐心願
日本AV產業發達,締造許多人氣女優、男優,其中有著「...
2020/04/14 14:57
每周喝1次酒?下咽癌風險恐飆19倍
喝酒恐提高頭頸癌風險。因國人酒精消耗量持續上升,為了...
2019/11/25 11:40
術後半年狂咳不止!竟是他喉嚨長鬍子
高雄一名60多歲的男子先前因罹患下咽癌第4期,經診斷...
2019/05/10 07:59
嚇!天天一瓶藥酒 男竟喝出兩種癌症
不少民眾會喝藥酒補身,但醫師要提醒民眾,藥酒一樣是酒...
2018/12/05 07:32
喉嚨總卡卡、像有痰梗著?癌恐已上身
經常覺得喉嚨卡卡,感覺有「痰」梗在喉嚨,咳也咳不出來...
2018/10/16 08:27
老菸槍久咳不癒 檢查發現得3種癌症
高雄一名63歲婦人長期抽菸,咳嗽狀況日益嚴重,到診所...
2018/06/08 09:53
驚!喉卡「大草莓」 她走路喘吃飯難
一名60歲的黃女士患有喉血管瘤,原本症狀不以為意,直...
2017/05/24 14:35
最新圖輯
更多
羅志祥30周年演唱會
凱琳專訪
黃鐙輝、吳念軒、黃騰浩專訪
第62屆金馬獎得獎後台
第62屆金馬獎紅毯
劉書宏專訪
袁澧林、陳孝萱專訪
第36屆金曲獎星光大道
第36屆金曲獎得獎圖輯
NMIXX林口體育館粉絲演唱會
今日頭條
1
壓制砍警狂男反中彈 市長慰問認出是同梯
2
獨/美魔女夜店獵男術!假求救真斂財
3
一圈一年!大S停在3圈 具俊曄刺下第4條
4
回溫2天就急凍!專家示警低溫恐探5度
5
李貞秀進立院影武者曝!她喊話國安應調查
6
春聯「馬踏飛燕」踩盧秀燕?蔣萬安回應了
7
新/全裸女屍…破雨棚!瘀青躺機械停車位
8
酷的夢救回228萬帳號!點開信件疑這國攻擊
9
姊選縣長弟拚連任議長?謝家佈局關鍵是他
10
白宮證實擊落伊朗無人機:挑釁林肯號航母
HOT焦點
更多
馬年添財氣!永豐銀贈發財水、春聯迎新春
2026台北母娘文化季 松山慈惠堂冬令救濟
數字反撲?停針後穩糖才是守住關鍵
頻道推薦
直播✦活動
三立新聞網
為了提供更好的閱讀內容,我們使用相關網站技術來改善使用者體驗,也尊重用戶的隱私權,特別提出聲明。
了解最新隱私權聲明
知道了