APP下載
活動
爆料
圖輯
AI爆報
追蹤新聞
4
蕭美琴出席總統府歲末聯歡童樂
台灣彩券開獎直播中
三立iNEWS新聞台線上直播
LIVE三立+24小時直播
即時
九合一點將
台美關稅15%
新聞
熱門
政治
社會
娛樂
生活
新奇
健康
國際
兩岸
運動
財經
房產
旅遊
科技
汽車
遊戲
ESG
影音
總覽
政論
節目
熱搜
直播
iNEWS
專題
總覽
特企
專頁
大事件
彩券
專欄
民調
快訊
台男在日本酒店被捕「涉施暴10多歲少女」
14:34
都吃錯!葡萄護心、降膽固醇 1吃法最健康
14:29
前往日本小心!林氏璧:第2波流感流行來了
14:29
男星拋退出演藝圈震撼彈:做回平凡的自己
14:23
超慢跑燃脂又不傷膝 醫:1類人別跟風
14:23
中國駐澳大使肖千撂狠話 王定宇嗆爆了
14:21
回顧黃國昌從政路 作家:背叛成習的小弟
14:18
酒店妻曖昧男客遭丈夫怒告!結局曝光
14:15
卸立委隔日投新北選戰!黃國昌喊說到做到
14:12
許淑華:假如我中樂透就分享珍奶加胡椒餅
14:00
賓利GT S暴力示範 按下按鈕馬上飄移!
14:00
德國人變幽默?發霍諾德片被讚:有台灣哏
13:50
Uni Girls女神隊長病倒 開刀最新病況曝光
13:48
孩太吵「全家遭丟包」風向變了 名醫感嘆
13:48
撞夫妻…男大生英勇肉搏留疤:不敢脫口罩
13:44
民宿變8星級酒店?過年房價飆破萬他看傻
13:42
新/日男星傳食道癌離世 妻子悲痛認死訊
13:29
曾莞婷「尋愛」被打槍:捧花是不是沒效
13:22
按摩小姐不認賣淫…嫖客出庭還原極樂過程
13:19
新/砂崙派出所竄火舌!員警全體撤離
13:15
台灣彩券開獎直播中
20:31
蕭美琴出席總統府歲末聯歡童樂
14:30
「星城Online x戲說台灣」單元劇引爆話題
12:00
尿布不斷貨 酷澎火箭速配最快隔天到
13:00
「2026新北ACGE產業學院」專業培訓啟動
12:30
大掃除神隊友!一噴除垢 晶亮好省力
12:00
首頁
關鍵字
精神狀態
精神狀態
廣末涼子羈押還分手名廚!長途開車原因曝
日本女星廣末涼子因涉嫌危險駕駛致傷及傷害罪,在4月7...
2025/04/14 16:59
廣末涼子動粗護理師遭逮「藥檢結果出爐」
日本女星廣末涼子於7日晚間在高速公路發生車禍,緊急送...
2025/04/09 15:17
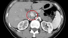
語無倫次亂打人記不得 元凶竟是「腫瘤」
47歲的黃姓婦人,兩年前開始出現語無倫次及在地上翻滾...
2023/11/26 14:09
裴洛西組委員會查川普 精神是否適任
美國民主黨人今天打算成立委員會,調查川普的精神狀態是...
2020/10/09 15:29
女商店內蹲下留一灘尿?店員驚呆了
A片劇情真實上演!一名在商店工作的店員今(5)日在網...
2019/03/05 22:52
只因家裡沒開冷氣 男竟持刀刺傷父親
美國新墨西哥州一名中年男子吉納羅沙(Robert G...
2017/06/26 17:17
最新圖輯
更多
羅志祥30周年演唱會
凱琳專訪
黃鐙輝、吳念軒、黃騰浩專訪
第62屆金馬獎得獎後台
第62屆金馬獎紅毯
劉書宏專訪
袁澧林、陳孝萱專訪
第36屆金曲獎星光大道
第36屆金曲獎得獎圖輯
NMIXX林口體育館粉絲演唱會
今日頭條
1
撞夫妻…男大生英勇肉搏留疤:不敢脫口罩
2
卸立委隔日投新北選戰!黃國昌喊說到做到
3
中國駐澳大使肖千撂狠話 王定宇嗆爆了
4
抓龍…1.2萬伏特焚身害4企業!台電擬求償
5
台3線驚悚對撞!休旅車「逆向衝」撞轎車
6
館長直播賣中國酒GG了!最重恐挨罰50萬
7
前往日本小心!林氏璧:第2波流感流行來了
8
孩太吵「全家遭丟包」風向變了 名醫感嘆
9
今入夜急凍探11度 更強冷氣團這天殺到
10
艾普斯坦文件爆川普性侵13歲女!白宮回應
HOT焦點
更多
穿過PP的人再也看不上其他褲!
過年送禮不用再猜! 民眾票選投出"最佳解"
尿布不斷貨 酷澎火箭速配最快隔天到
頻道推薦
直播✦活動
三立新聞網
為了提供更好的閱讀內容,我們使用相關網站技術來改善使用者體驗,也尊重用戶的隱私權,特別提出聲明。
了解最新隱私權聲明
知道了