APP下載
活動
爆料
圖輯
AI爆報
追蹤新聞
5
子瑜帶TWICE回台了!
藍白恢復「公投綁大選」拚三讀
台灣彩券開獎直播中
三立iNEWS新聞台線上直播
LIVE三立+24小時直播
即時
中國禁日本水產
普發一萬
新聞
熱門
政治
社會
娛樂
生活
新奇
健康
國際
兩岸
運動
財經
房產
旅遊
科技
汽車
遊戲
ESG
影音
總覽
政論
節目
熱搜
直播
iNEWS
專題
總覽
特企
專頁
大事件
彩券
專欄
民調
快訊
誤信普發1萬被盜領 民眾80萬存款全沒了
15:22
大貨車路口左轉害撞!79歲阿公騎車斷魂
15:21
歐陽震華蛇纏腰爆痛!眼睛差點失明
15:20
川普與曼達尼首會面!兩政敵能好好談嗎?
15:19
因應中國威脅 葛來儀:加強美台日菲合作
15:13
帶賓賓哥演講掀直播之亂 王元照認錯道歉
15:12
久坐像壓彈簧 醫揭1招救腰痛:比運動有用
15:11
快訊/藍白又聯手!公投綁大選三讀通過
15:09
媒體人嘲諷民防手冊 林飛帆一句話嗆翻了
15:09
義美推「高市早苗巧克力」 眾嗨:超欠買
15:09
衛福部盤點75歲以上獨老 採「4等級」關懷
15:01
7座豪華休旅能越野 Telluride就是答案
15:00
驚傳病危兩天 45歲麻辣教師女星醒了
15:00
越洪災致41人死 今年至10月災損逾6百億
14:58
打臉陳智菡 邱臣遠:新竹馬偕兒醫無違法
14:57
遇以哈戰爭才來台!他被逮哭訴1天僅賺1千
14:56
新/桃園民宅火警 68歲屋主活活燒死
14:56
收賄529萬加賓士車 前所長被重判13年8月
14:56
台北人久等了!2大人氣Buffet年底回歸
14:55
普發民防手冊遭質疑 林飛帆嗆爆國民黨
14:55
台灣彩券開獎直播中
20:31
藍白恢復「公投綁大選」拚三讀
08:20
子瑜帶TWICE回台了!
14:00
關注健康服務!壽險舉辦健康論壇備受好評
13:00
酷澎寵物展貓砂五折起 火箭速配到家
12:00
首頁
關鍵字
高國堯
高國堯
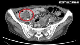
瀉10年體重剩37公斤 闌尾癌作祟
60歲僅37公斤的女性因頭暈、嗜睡送急診,意外發現造...
2020/08/12 10:10
百歲人瑞罹無石性膽囊炎 腹腔鏡切膽
百歲人瑞楊爺爺腹部疼痛就醫,檢查發現膽囊炎,經台中慈...
2020/06/24 10:21
甲狀腺結節 17歲少女脖子腫如蛋
台中一名17歲少女,就讀國中時就診斷出有甲狀腺結節,...
2019/11/11 10:00
怕子孫袋被切 疝氣男百公分腸掉陰囊
八十三歲陳老先生誤以為疝氣手術得切除陰囊,一拖十餘年...
2017/08/16 11:36
最新圖輯
更多
劉書宏專訪
袁澧林、陳孝萱專訪
第36屆金曲獎星光大道
第36屆金曲獎得獎圖輯
NMIXX林口體育館粉絲演唱會
KISS OF LIFE台北演唱會
林芯儀專訪
GYUBIN大巨蛋開球
陳謙文專訪
孫麥傑專訪
今日頭條
1
快訊/藍白又聯手!公投綁大選三讀通過
2
IPAC譴責中國:台灣人必須能自由決定未來
3
TWICE抵達高雄!7成員現身揮手機場掀暴動
4
新/拍板對美投資4千億? 經長回應!
5
新/高市早苗:推進中日戰略互惠方向未變
6
16歲高中生無照騎車 遭撞慘摔卡水溝昏迷
7
中國1習慣反成把柄!日專家揭3大反制手段
8
賓賓哥甩鍋「友人刻意隱瞞」 王元照發聲
9
藍白2028能合?吳子嘉爆關鍵時程:有變化
10
台積電大跌70元 台股大逃殺崩跌991點!
HOT焦點
更多
從AR轉職芳療領域 香氛人生療癒傷痛
關注健康服務!壽險舉辦健康論壇備受好評
酷澎寵物展貓砂五折起 火箭速配到家
頻道推薦
直播✦活動
三立新聞網
為了提供更好的閱讀內容,我們使用相關網站技術來改善使用者體驗,也尊重用戶的隱私權,特別提出聲明。
了解最新隱私權聲明
知道了