APP下載
活動
爆料
圖輯
阿立導讀
追蹤新聞
3
台灣彩券開獎直播中
三立iNEWS新聞台線上直播
LIVE三立+24小時直播
即時
賴蕭2年了
馬辦人事風暴
新聞
熱門
政治
社會
娛樂
生活
新奇
健康
國際
兩岸
運動
財經
房產
旅遊
科技
汽車
遊戲
ESG永續
影音
總覽
政論
節目
熱搜
直播
iNEWS
專題
總覽
特企
專頁
大事件
彩券
專欄
民調
快訊
悚!台中阿公遭公車門夾頭車 乘客全嚇壞
07:36
白宮外突傳數十聲槍響!特勤局急封鎖街道
07:26
鄧愷威歸功隊友守備 揭橫掃球更致命關鍵
07:04
美對台140億軍售突暫緩!旅美教授預言1事
07:02
77歲李璇「獨居桃園吐」心聲:世界是我的
07:00
狂人花上億抗老!發現「這事」給人超能力
06:46
驚悚巧合!馬英九爆失智如胡錦濤翻版
06:44
飆38°C!這天梅雨再襲 熱帶擾動大迴轉
06:39
鄧愷威6局0失分 創睽違8年台灣第4人紀錄
06:34
美伊協議大致談妥!川普:荷莫茲將開放
06:18
從醫師角度看馬英九寫字 沈富雄斷言1事
06:13
宋楚瑜出馬拉一把!徐慈檉怒轟白營黑箱
06:10
提早退休下場慘!千萬富翁竟淪為外送員
06:01
台灣大「mo幣多會員日」!黃金被買爆
06:00
鄧愷威先發6局0失分 3勝寫生涯勝場新高
05:51
4月嬰獨活!小夫妻陳屍家中生過2孩都送養
05:41
黃仁勳拋震撼彈!輝達殺入6.4兆新藍海
05:34
投資人注意!台股這檔爆停牌「勒令下市」
05:22
美伊談判重大進展!川普:接近達終戰協議
05:04
夫妻雙亡留女嬰伴屍!他:死亡應未超2天
04:52
台灣彩券開獎直播中
20:31
台港創業家齊聚 美安年會展現跨市場動能
21:00
K-WAVE韓流拼盤卡司公布 8月登高雄開唱
14:30
早餐水果沒吃夠?營養師教超商水果補充術
18:00
凍齡女神陳美鳳愛用 正港優蛋白增強體力
17:00
家裡怎防老鼠之亂??專家曝新大樓兩優勢
09:00
Razer女神yunocy登COSMOS
12:00
台灣少子化 首創本草萃滴精商機大爆發
17:00
遠東生技行銷60國 微藻成新一代營養關鍵
16:00
台灣大連續4度獲選最受尊崇企業
10:00
首頁
關鍵字
諶大中
諶大中
「救命凝膠」不符成本?健保署:優於國際
救命藥物將退出健保?台北慈濟醫院心臟血管外科主任諶大...
2025/04/30 16:58
手術救命藥5月起自費也買不到 醫曝真相
由於台灣健保對藥品的給付價格偏低,導致許多原廠藥品相...
2025/04/30 14:54
「救命凝膠」給付低被賜死?衛福部回應了
台灣健保藥價給付低,導致不少原廠藥撤出台灣巿場,近日...
2025/04/30 12:50
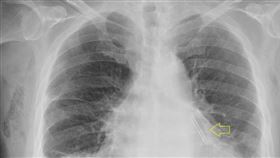
生死交關的痛徹心扉 竟是A型主動脈剝離
40歲的林先生,任職企業主管,雖然每年健檢都呈現高血...
2023/06/08 08:42
不是新冠!「隱形炸彈」害失聲2個月
感冒時聲音沙啞十分常見,反過來說,聲音沙啞不見得都是...
2022/09/15 09:46
男心房顫動險中風 「迷宮手術」救命
心房顫動是臨床上最常見的心律不整,若患者因心房顫動導...
2021/04/08 10:01
三十歲男罹心衰竭 長效左心室輔助器
現年30多歲的小陳(化名)長期患有心衰竭卻未積極接受...
2021/01/26 03:00
劉真裝人工心臟藏風險?5%恐會中風
女星劉真近日因心臟主動脈瓣膜狹窄赴台北榮總開刀,過程...
2020/03/06 11:12
劉真腦出血換心無望?醫曝2殘酷真相
「國標舞女王」劉真2月初因心臟主動脈瓣膜狹窄開刀,手...
2020/03/06 09:49
劉真裝人工心臟續命?醫曝存活機率
女星劉真近日因心臟主動脈瓣膜狹窄開刀,手術過程中心跳...
2020/03/05 15:23
63歲翁末期心衰竭 換心手術獲新生
63歲的楊先生7月突然感覺呼吸困難、全身無力,到急診...
2017/11/02 09:35
最新圖輯
更多
茉ひるMahiru專訪
簡莉紋專訪
大霈專訪
劉冠廷專訪
林予晞、王真琳專訪
李雪、陳昱廷專訪
初孟軒、鍾岳軒專訪
龍千玉與翁立友領豪記唱片群星拜年
Rain鄭智薰小巨蛋演唱會
金在中演唱會
今日頭條
1
白宮外突傳數十聲槍響!特勤局急封鎖街道
2
鄧愷威6局0失分 創睽違8年台灣第4人紀錄
3
美對台140億軍售突暫緩!旅美教授預言1事
4
美伊協議大致談妥!川普:荷莫茲將開放
5
從醫師角度看馬英九寫字 沈富雄斷言1事
6
夫妻雙亡留女嬰伴屍!他:死亡應未超2天
7
飆38°C!這天梅雨再襲 熱帶擾動大迴轉
8
宋楚瑜出馬拉一把!徐慈檉怒轟白營黑箱
9
投資人注意!台股這檔爆停牌「勒令下市」
10
黃仁勳拋震撼彈!輝達殺入6.4兆新藍海
HOT焦點
更多
台灣大連續4度獲選最受尊崇企業
台首艘南島舟船台東出發 18天長征抵淡水
台港創業家齊聚 美安年會展現跨市場動能
頻道推薦
直播✦活動
三立新聞網
為了提供更好的閱讀內容,我們使用相關網站技術來改善使用者體驗,也尊重用戶的隱私權,特別提出聲明。
了解最新隱私權聲明
知道了