APP下載
活動
爆料
圖輯
AI爆報
追蹤新聞
4
我陸委會最新說法
台灣彩券開獎直播中
三立iNEWS新聞台線上直播
LIVE三立+24小時直播
即時
袁惟仁逝世
富豪淫魔揭密
新聞
熱門
政治
社會
娛樂
生活
新奇
健康
國際
兩岸
運動
財經
房產
旅遊
科技
汽車
遊戲
ESG
影音
總覽
政論
節目
熱搜
直播
iNEWS
專題
總覽
特企
專頁
大事件
彩券
專欄
民調
快訊
古代人怎麼刷牙?沒牙刷竟能「吐氣如蘭」
16:35
孕婦騎車自撞「1屍2命」 家屬悲痛相驗
16:31
台日交流賽嘉賓曝光 2人氣韓團壓軸登場
16:28
吳建豪崩潰哭了 接獲偶像死訊返家淚崩
16:28
直接開戰!這3大星座抓到小三報復不手軟
16:27
黃國昌直播2天抖內近30萬 內政部說話了
16:24
養生館+500元可半套!警喬裝顧客臥底逮人
16:22
光愛馬仕就6個!李貞秀驚人財產申報曝光
16:22
魏哲家親赴日本!同框高市早苗畫面曝
16:19
把屎把尿逾30年 女看護想結婚人瑞答應了
16:16
領航猿4月主場 預計將前進洲際迷你蛋
16:16
比讀書還威 「1行為」讓人更聰明、心情好
16:12
新/殺進AI藍海!鴻海首月營收破7300億
16:06
李貞秀爭議!綠委:台灣不要中國人入國會
16:05
他預言黃國昌下1步:跟柯、藍比誰快賣台
16:01
曾陷失戀、事業低谷!郭書瑤獻感性告白
16:00
吃蒸餃無故被刺脖濺血 50歲男行兇動機曝
15:57
威力彩狂飆9.7億元!專家揭熱門買法
15:54
獨/拒任何人救濟 74歲爺市場賣糖果維生
15:53
動漫節首日!逛展攻略、舞台活動一次看
15:51
台灣彩券開獎直播中
20:31
我陸委會最新說法
15:30
瑞士製造「三冠王」陪台灣隊征戰馬特洪峰
12:00
西湖渡假村恐龍特展!12歲以下免費入場
11:00
愛閃耀iShine千人尾牙!宣告前進中東市場
18:00
線上補貨依賴度高 酷澎強化清潔品牌合作
17:00
鎂光燈「嬌」點!SHUHUA分享日常保養秘訣
12:00
主動ETF最速傳說-專家點出00991A爆紅關鍵
12:00
首頁
關鍵字
腸鳴
腸鳴
腸胃感染一瀉千里 中醫曝這3穴位助康復
腸胃感染「一瀉千里」的惡夢,除了及時就醫治療,中醫建...
2025/02/16 16:45
不餓卻咕咕叫 竟是大腸癌!5症狀危險了
許多人肚子不餓卻常發出咕咕叫的聲音,腸胃科醫師鄭泓志...
2024/04/10 11:19
肚子怪叫又沒放屁 醫:1情況「嚴重了」
也有過同樣經驗?有時環境很安靜,肚子卻突然發出一連串...
2023/04/16 09:50
肚子「咕咕叫」只是餓了?有8症狀要小心
肚子餓時常會發出咕咕聲,但不只空腹才會有聲音。肝膽腸...
2023/04/03 15:23
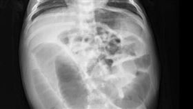
她腹部傳呱呱聲 照X光驚見「灌香腸」
肚子有時候會發出一些「咕咕」聲響,是腸子蠕動的聲音,...
2022/10/11 22:34
肚子一直叫!簡單四招保護腸道
明明肚子不餓,肚子卻一直叫!有時甚至聲音大到旁邊的人...
2022/05/21 11:15
肚子一直叫腸鳴怎麼辦?醫曝常見原因
不少民眾時常會有「明明沒肚子餓,肚子卻一直叫」的情況...
2022/05/10 11:42
最新圖輯
更多
羅志祥30周年演唱會
凱琳專訪
黃鐙輝、吳念軒、黃騰浩專訪
第62屆金馬獎得獎後台
第62屆金馬獎紅毯
劉書宏專訪
袁澧林、陳孝萱專訪
第36屆金曲獎星光大道
第36屆金曲獎得獎圖輯
NMIXX林口體育館粉絲演唱會
今日頭條
1
週休三日到底行不行?勞動部2月7日給答案
2
黃國昌轟AIT介入內政 行政院說話了
3
李貞秀稱無法放棄中國籍 卓榮泰回應了
4
新/台積電加大對日投資 經濟部回應!
5
週末寒流襲!最凍時段曝 低溫恐跌破10度
6
好市多開出1000萬、200萬發票 獎落2門市
7
徐巧芯大姑3次鞠躬道歉!籲杜秉澄面對
8
史無前例!遏鎔幣套利?央行斬斷貨源
9
新/黃仁勳關注的用電 核三進度曝光
10
美俄限核武條約到期 川普老神在在吐心聲
HOT焦點
更多
鎂光燈「嬌」點!SHUHUA分享日常保養秘訣
主動ETF最速傳說-專家點出00991A爆紅關鍵
瑞士製造「三冠王」陪台灣隊征戰馬特洪峰
頻道推薦
直播✦活動
三立新聞網
為了提供更好的閱讀內容,我們使用相關網站技術來改善使用者體驗,也尊重用戶的隱私權,特別提出聲明。
了解最新隱私權聲明
知道了