APP下載
活動
爆料
圖輯
AI爆報
追蹤新聞
3
台灣彩券開獎直播中
三立iNEWS新聞台線上直播
LIVE三立+24小時直播
即時
F-16夜航失事
川普空襲委國
新聞
熱門
政治
社會
娛樂
生活
新奇
健康
國際
兩岸
運動
財經
房產
旅遊
科技
汽車
遊戲
ESG
影音
總覽
政論
節目
熱搜
直播
iNEWS
專題
總覽
特企
專頁
大事件
彩券
專欄
民調
快訊
保溫瓶用20年!他中毒自撞早餐店 隔年身亡
20:15
2026機車補助!這縣市六都最多 可領44000
20:04
三段變溫!寒流探7度冷3天 中南部恐更極端
20:01
萊爾富當心了!7-11果昔機還能做玉米濃湯
19:59
23歲女星室內哈菸全被拍 道歉:不良示範
19:57
嘉義保麗龍廠廢料起火 黑煙狂竄數公里
19:53
揭台戰略籌碼 學者:台灣應將晶片武器化
19:48
濟航空難是人禍!調查:若無牆179命可保
19:42
加薪比裝備重要?退將揭弱化國防慘痛下場
19:39
鄧愷威婉拒WBC 萬人祝福蔡其昌也喊支持
19:32
雞排妹宣布流產!死對頭陳沂發聲:很遺憾
19:20
林妍霏嘲諷李多慧遭炎上 隊友不忍了怒轟
19:18
莫莉首度回應 認第一時間致電前助理母親
19:14
台南「最大尾」!永康巨蜥逍遙1年終落網
19:11
黃國昌反營養午餐免費 蘇巧慧1句嗆爆
19:09
蔡依林主辦告梁曉珺!陳沂嘆不是聰明操作
19:00
曹西平遺照不只選一張!動態方式持續變換
19:00
好市多全球CEO到台中「看地簽約」官方回
18:57
Stray Kids搬上大銀幕 演唱會電影登台
18:57
慶幸阻止林安可丟球 林岳平:剩餵球投手
18:56
台灣彩券開獎直播中
20:31
冬天也能有名模腿!石墨烯火山岩一穿即暖
12:00
15縣市皮蛇疫苗補助一次看!
11:00
跨越38區串連!千街萬巷挺岱樺最後衝刺
20:00
航空城新都心紅利多 購屋族最佳宜居環境
16:00
首頁
關鍵字
毛玻璃
毛玻璃
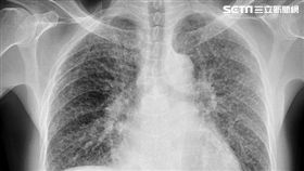
胡瓜肺冒毛玻璃恐罹癌?醫揭看手指測警訊
綜藝天王胡瓜日前分享做健康檢查時,肺部影像出現「毛玻...
2026/01/07 18:31
沒有不舒服!50歲男健檢照出上百顆肺結節
從事高風險職業,定期健檢很重要!胸腔科醫師蘇一峰分享...
2026/01/07 15:57
66歲胡瓜肺部照出毛玻璃 最新追蹤現況曝
胡瓜邀請到檢場和潘若迪,三位組成百歲旅行團,到貓空挑...
2026/01/04 17:11
獨/她不菸、少煮菜 「1原因」肺部滿天星
肺癌是國人十大癌症中死亡率最高、新增人數最多的癌症。...
2025/09/08 15:19
肺部「毛玻璃」影像嚇壞 醫:不等於癌症
隨著低劑量電腦斷層掃描(LDCT)被廣泛納入健檢項目...
2025/08/01 23:03
歌的故事/李玉璽父子狀態宛如毛玻璃
藝人李亞明兒子李玉璽憑藉一部《我的少女時代》好學生形...
2021/07/13 18:33
王識賢9年沒發片 嘆:不知為何而唱
自從2012年發行國語專輯《一起去幸福》之後,就沒有...
2021/07/11 17:24
認真消毒惹禍!婦肺部變「毛玻璃狀」
武漢肺炎(COVID-19、新冠肺炎)疫情持續肆虐全...
2020/04/15 18:57
超像科幻片!網紅體驗東京高科技飯店
5日網紅Joeman在自己的YouTube頻道分享,...
2017/11/08 16:33
圖書館巧遇暗戀女 他躲屏風尻槍遭逮
台北市萬華區1名31歲的吳姓男子,昨天下午2時許進入...
2017/07/14 18:40
國小廁所裝求救鈴 柯:感覺沒什麼用
北市一名女童在校園遭割喉一事震驚社會,學童人心惶惶,...
2015/06/04 20:52
最新圖輯
更多
羅志祥30周年演唱會
凱琳專訪
黃鐙輝、吳念軒、黃騰浩專訪
第62屆金馬獎得獎後台
第62屆金馬獎紅毯
劉書宏專訪
袁澧林、陳孝萱專訪
第36屆金曲獎星光大道
第36屆金曲獎得獎圖輯
NMIXX林口體育館粉絲演唱會
今日頭條
1
嘉義保麗龍廠廢料起火 黑煙狂竄數公里
2
好市多全球CEO到台中「看地簽約」官方回
3
七期豪宅虐殺小弟!冷血警友遭判無期
4
油槍淋軀體…焚破2人!他著火撲消防
5
台南「最大尾」!永康巨蜥逍遙1年終落網
6
三段變溫!寒流探7度冷3天 中南部恐更極端
7
曹西平靈堂開放17天告別!最後陪伴者是他
8
陳昭姿沒簽「兩年條款」!柯文哲解釋了
9
獨/大毒梟豆漿癌逝 身後事低調原因曝
10
喊斬首遭起訴 館長瞎扯賴清德、民進黨
HOT焦點
更多
「桃園大客家」AI學習平台 主播攜手宣傳
「桃園大客家」AI客語平台 易上手操作
永飽安康寒冬送暖 讓長者吃得營養又幸福
頻道推薦
直播✦活動
三立新聞網
為了提供更好的閱讀內容,我們使用相關網站技術來改善使用者體驗,也尊重用戶的隱私權,特別提出聲明。
了解最新隱私權聲明
知道了