APP下載
活動
爆料
圖輯
AI爆報
追蹤新聞
3
台灣彩券開獎直播中
三立iNEWS新聞台線上直播
LIVE三立+24小時直播
即時
袁惟仁逝世
富豪淫魔揭密
新聞
熱門
政治
社會
娛樂
生活
新奇
健康
國際
兩岸
運動
財經
房產
旅遊
科技
汽車
遊戲
ESG
影音
總覽
政論
節目
熱搜
直播
iNEWS
專題
總覽
特企
專頁
大事件
彩券
專欄
民調
快訊
寒流確定侵台!週末「全台急凍」下探7度
21:12
彭博:台灣貧富差距比美國極端 小心1危機
21:07
八點檔女星豪砸6位數治裝 OL美照曝光
21:03
老闆看監視器超傻眼!前員工凌晨闖入偷喝
21:00
快訊/威力彩頭獎飆9.7億 2/5開獎號碼
20:49
板橋男衝加油站縱火!70%燒傷器官衰竭亡
20:33
內政部拒給李貞秀機密 陸委會跟進發聲了
20:27
咪蕾融融一起離開台灣 最終回結局曝光
20:20
馬國賢為媳婦下廚 遭兒吐槽:看起來有毒
20:11
學校要被害者道歉?網紅醫再揭荒謬內幕
20:05
馬崗漁村潮間帶魚苗暴斃 疑遭下藥毒魚
20:05
潘彥銘再繳大三元 松山8強首戰開胡
20:03
搭訕正妹「研究腳掌」 網驚:很多人遇過
19:57
少年表演噴火PO網 烈焰逆流「喉嚨灼燒」
19:57
政府發錢!符合資格拿3.6萬 申請方式曝
19:31
《零日攻擊》提告抄襲 楊智伃:要告就告
19:30
烏難妥協割領土換和平 美俄同陣線施壓
19:29
獨/房市不見法拍斷頭潮 專家揭爆發時機
19:27
小S將回歸不熙娣?B2道別Sandy喊後會有期
19:25
ENHYPEN來台! Jake因1事急道歉:對不起
19:21
台灣彩券開獎直播中
20:31
瑞士製造「三冠王」陪台灣隊征戰馬特洪峰
12:00
西湖渡假村恐龍特展!12歲以下免費入場
11:00
愛閃耀iShine千人尾牙!宣告前進中東市場
18:00
線上補貨依賴度高 酷澎強化清潔品牌合作
17:00
鎂光燈「嬌」點!SHUHUA分享日常保養秘訣
12:00
主動ETF最速傳說-專家點出00991A爆紅關鍵
12:00
首頁
關鍵字
電腦斷層
電腦斷層
戒菸2年仍罹肺癌!她篩檢揪出1.2公分結節
41歲陳小姐過去有長期的吸菸史,在醫療團隊的協助下戒...
2026/01/17 09:24
醫師一建議揪出芝麻大肺癌 讓他重生了!
肺癌是台灣十大癌症死因之首,每年奪走逾萬人性命,但早...
2025/11/11 14:27
醫師揭膽結石3大因子 「1職業」要小心
胃腸肝膽科醫師錢政弘指出,門診最常遇到的膽結石患者就...
2025/11/02 16:00
33歲男星「肺腺癌末」!醫:4症狀已末期
33歲港星柯煒林曾入圍金馬獎最佳男配角,他30日坦言...
2025/07/31 11:57
劇烈頭痛竟是腦出血!醫不開顱也能救她命
現代人壓力大,不少人有頭痛的困擾,有的人貪方便習慣一...
2025/04/12 17:48
健檢中心設置CT、MRI?衛福部研商無共識
民眾生病難免上醫院,不過除了常見的X光檢查外,越來越...
2025/02/22 12:42
妻怕夫罹癌 聽醫「做1事」確診肺癌一期
肺癌是十大癌症新發與死亡人數的首位。除了抽菸者外,研...
2025/01/20 13:40
獨/男接受器捐後竟罹癌逝!醫揭「真相」
美國一名男子因肝硬化,接受肝臟移植,未料術後4個月確...
2025/01/09 16:23
電腦斷層驚胃「20多顆白點」醫問1句秒笑
急診科醫師蔡瀚嶙,時常在自己的社群平台上分享自己遇到...
2024/12/18 13:06
獨/她腰粗不是胖!醫揪「1事」:癌症機率高
現代人關注肥胖對健康的傷害,腰圍更是關鍵。醫師柳朋馳...
2024/12/09 09:08
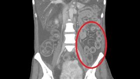
女腹痛以為腸胃炎 電腦斷層「全是腫瘤」
一名50多歲女子因為腹痛就醫,醫師診斷是腸胃炎,但吃...
2024/12/02 12:15
床的世界總座辭世!傳摔倒害顱內出血不治
知名業者「床的世界」總經理陳俊傑今(30日)去世,享...
2024/11/30 17:48
拉肚子以為腸胃炎 一查癌症3期!醫:難揪出
長期腹瀉、腹痛可能不只是腸胃炎。胃腸科醫師葉秉威表示...
2024/11/28 08:34
超萌搜救犬Roger咬Mic爆紅 屆齡退役
你還記得高雄搜救犬Roger嗎?今年0403在花蓮大...
2024/11/04 11:43
汪建民肺腺癌逝!胸腔名醫:4類人最危險
出演經典電視劇《台灣靈異事件》以鐵頭警官一角爆紅的男...
2024/10/09 10:26
台大微電影感人登場!揭「外科搶命」秘辛
外科醫師的壓力和工作強度極大,讓不少年輕醫師卻步,轉...
2024/09/18 13:14
部立澎湖醫院電腦斷層掃描儀9/6啟用
9月6日上午衛生福利部邱部長泰源率團隊蒞臨澎湖醫院,...
2024/09/06 21:22
沈慶京傳身體不適…戒護出看守所送醫急救
威京集團主席沈慶京涉嫌賄賂台北市議員應曉薇,要求協助...
2024/09/06 07:17
台科大以AI辨CT掃描影像 2秒辨識多類病灶
台科大教授王靖維團隊開發「通用3D病灶分割AI模型」...
2024/07/22 12:08
元智結合AI判讀斷層影像 準確率93%奪冠
經過三個月的激烈競爭,元智大學電機系團隊於上個月,以...
2024/04/08 12:37
腹痛下肢水腫、視力模糊竟是紅斑性狼瘡
39歲的張小姐,去年底因腹痛、腹瀉及下肢嚴重水腫,多...
2024/01/28 17:53
腫瘤捉迷藏!2次X光正常 LDCT一掃:肺癌
花蓮一名病患12年前透過低劑量電腦斷層(LDCT)發...
2024/01/19 09:44
名醫在美就醫噴近50萬 健保給付金額出爐
婦產科名醫鄭丞傑今年6月在美國滑雪時摔斷肋骨,就醫費...
2023/12/07 13:08
做磁振造影有禁忌?醫親解說 化妝也不行
一般民眾時常搞不懂,磁振造影(MRI)、電腦斷層(C...
2023/10/16 18:23
3種癌「早期難發現」 死亡率逐年上升
北投健康管理醫院表示,近年攝護腺癌、胰臟癌、卵巢癌3...
2023/06/30 06:05
挺過肺腺癌10年 他曝提高治癒率關鍵
有「沉默殺手」之稱的肺癌,是我國癌症死因第一名,每年...
2023/05/31 15:04
女作息正常長期頭暈 昏倒才知腦中埋炸彈
46歲的艾小姐,平時作息正常且無不良嗜好,長期感到頭...
2023/03/21 11:27
放屁也要看!挾帶「這2物」恐大腸癌
排便習慣改變,可能是身體出毛病。有一名中年男子掛急診...
2023/01/11 14:20
「81天揪出21人罹肺癌」8成5有這危險因子
肺癌位居國人十大癌症死因之首,晚期(3及4期)發現存...
2022/09/28 18:24
5旬婦肚如吹氣 喘不過氣發現巨瘤!
一名50多歲的婦人,近半年被發現明顯變胖,坐著看電視...
2022/06/16 12:02
最新圖輯
更多
羅志祥30周年演唱會
凱琳專訪
黃鐙輝、吳念軒、黃騰浩專訪
第62屆金馬獎得獎後台
第62屆金馬獎紅毯
劉書宏專訪
袁澧林、陳孝萱專訪
第36屆金曲獎星光大道
第36屆金曲獎得獎圖輯
NMIXX林口體育館粉絲演唱會
今日頭條
1
快訊/威力彩頭獎飆9.7億 2/5開獎號碼
2
車廂驚見「老鼠出沒」!北捷急大規模清消
3
光愛馬仕就6個!李貞秀驚人財產申報曝光
4
明變天半個台灣有雨 寒流急凍這2天探7度
5
板橋男衝加油站縱火!70%燒傷器官衰竭亡
6
新/新年換新鈔 8家公股銀行據點一次看
7
悔設台灣代表處 立總理:等同衝到火車前
8
勾愛王柏傑現身!謝欣穎鬆口吐真實關係
9
監管風暴?中國大潤發CEO被消失 公司認了
10
魏哲家親赴日本!同框高市早苗畫面曝
HOT焦點
更多
蘇巧慧勤走基層 拋6大福利政見
西湖渡假村恐龍特展!12歲以下免費入場
愛閃耀iShine千人尾牙!宣告前進中東市場
頻道推薦
直播✦活動
三立新聞網
為了提供更好的閱讀內容,我們使用相關網站技術來改善使用者體驗,也尊重用戶的隱私權,特別提出聲明。
了解最新隱私權聲明
知道了