APP下載
活動
爆料
圖輯
AI爆報
追蹤新聞
4
黃仁勳開講 劉揚偉率先登場
台灣彩券開獎直播中
三立iNEWS新聞台線上直播
LIVE三立+24小時直播
即時
非洲豬瘟侵台
藝人閃兵案擴大
新聞
熱門
政治
社會
娛樂
生活
新奇
健康
國際
兩岸
運動
財經
房產
旅遊
科技
汽車
遊戲
ESG
影音
總覽
政論
節目
熱搜
直播
iNEWS
專題
總覽
特企
專頁
大事件
彩券
專欄
民調
快訊
立院三讀 違反充電專用車位最高罰9萬元
23:17
獨騙騙不如眾騙騙?一週逾5千則詐騙訊息
23:12
還買得到!台鐵便當不受豬瘟影響原因曝
23:08
拳擊教父83歲仍一起去奧運 國手認證溫暖
23:05
川普與高市早苗強化美日同盟 中國嗆這句
23:04
和碩研發中心落腳高雄 童子賢回應了
23:00
半導體產值達7兆 先進封裝紅什麼?
23:00
你家炒菜愛油出事!專家驚曝:吃太多完蛋
22:59
議員指詐團假借市府名義行騙 新北回應了
22:55
重大投資!晶片大廠高通40億投資台灣
22:52
台中男「全身刀傷」慘死!相驗後排除他殺
22:50
全家招牌變「犬家」 網歪樓:限用狗語?
22:42
秋冬天巫星入命!4生肖升官發財好運來
22:37
YouTuber拍潑屎節惹怒印度人!怒回這句
22:32
館長直播出事 民眾挑釁吐1句話聊天室罵翻
22:25
曝蔣萬安運勢!命理師鐵口:他當不上總統
22:23
豬瘟人禍?盧秀燕躲記者 他:水非常深
22:22
彰化魂被封印了!「500碗名店」肉圓喊卡
22:10
35歲女按摩爆痛!恐釀敗血症 3類人別亂按
22:08
新台幣改版燒掉500億?央行澄清:沒有!
22:06
台灣彩券開獎直播中
20:31
台彩中秋加碼總獎金達4.5億
12:00
大樂透加碼100組100萬元
12:00
黃仁勳開講 劉揚偉率先登場
20:00
長輩備餐變吃力 快煮稀飯恐增營養風險
12:00
為何選他?基隆房市異軍突起!
12:00
首頁
關鍵字
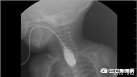
氣管食道瘻管
氣管食道瘻管
嬰喝水總是嗆到 竟是先天性食道閉鎖
爸媽注意!一名35週早產的女嬰,出現喝水嗆到、口中分...
2016/07/25 13:30
最新圖輯
更多
劉書宏專訪
袁澧林、陳孝萱專訪
第36屆金曲獎星光大道
第36屆金曲獎得獎圖輯
NMIXX林口體育館粉絲演唱會
KISS OF LIFE台北演唱會
林芯儀專訪
GYUBIN大巨蛋開球
陳謙文專訪
孫麥傑專訪
今日頭條
1
台中男「全身刀傷」慘死!相驗後排除他殺
2
館長北京遭喊一邊一國!八炯:還會有大事
3
流感疫苗打氣史上最高 11/1第二階段開打
4
普丁炫飛彈!川普1句話嗆:潛艦早到你家
5
美F-16V戰機延遲交付 卓榮泰:依法求償
6
吊車王籲賴簽兩岸和平協議!網評論炸鍋了
7
聯結車「逆向削人」2車扁…殘骸濺機場旁
8
豬瘟人禍?盧秀燕躲記者 他:水非常深
9
廚餘早規畫了 他:林佳龍這建設被盧喊卡
10
大樂透連12摃!頭獎上看4.8億元
HOT焦點
更多
藝術與美食台俄融合 豪邁俄式烤肉雙饗宴
投身藻類生物科技 生醫準博士愛上台灣
桃園萬聖城「魔蛛古堡」開城!一起來尋寶
頻道推薦
直播✦活動
三立新聞網
為了提供更好的閱讀內容,我們使用相關網站技術來改善使用者體驗,也尊重用戶的隱私權,特別提出聲明。
了解最新隱私權聲明
知道了