APP下載
活動
爆料
圖輯
AI爆報
追蹤新聞
3
台灣彩券開獎直播中
三立iNEWS新聞台線上直播
LIVE三立+24小時直播
即時
助理費爭議
小紅書遭封鎖
新聞
熱門
政治
社會
娛樂
生活
新奇
健康
國際
兩岸
運動
財經
房產
旅遊
科技
汽車
遊戲
ESG
影音
總覽
政論
節目
熱搜
直播
iNEWS
專題
總覽
特企
專頁
大事件
彩券
專欄
民調
快訊
澳洲恐攻案增至16死 槍手身分曝為父子檔
07:05
他吃咖哩雞驚見「有其他肉」爆吐昏迷送醫
07:03
家暴後重返籃壇 戴維斯欠撫養費房遭查封
06:52
遊民酒醉持美工刀追砍2生...檢方聲押獲准
06:47
今晨低溫7.1度 冷氣團發威4縣市低溫特報
06:41
「公益網紅」賓賓哥遭爆斂財破億霸凌粉絲
06:40
雪梨海灘猶太節慶槍擊案 增至16人死亡
06:30
習近平國師稱:統一後10年台北變二線城市
06:17
黃國昌問「倒閣卓榮泰會下台嗎」律師嗆87
06:11
左岸公園驚見女屍仰躺馬桶旁…死者身分曝
06:09
獨/女星隨便賣海賊王漫畫!一聽差價傻眼
06:00
獨/男星悲慟阿嬤猝逝!來不及見最後一面
06:00
獨/超大咖嘻哈歌手變建中老師!曾是學霸
06:00
費半重挫5%博通暴跌 台股開盤恐不妙!
05:58
蕭敬騰岳父逝!昔中風手萎縮1舉動感動網
05:52
認1歲子卡到邪靈拋入海…法庭驚悚狂言曝
05:50
北市仁愛路電梯女工21樓「開口墜地」慘死
05:48
立院對台灣斷手斷腳 他:補救手段幾用完
05:38
8成確診已末期!1飲食習慣成癌王元凶
05:30
10縣市今早起停水!最久「9小時沒水用」
05:30
台灣彩券開獎直播中
20:31
高雄大氣球遊行登場 21顆空飄氣球超壯觀
12:00
嘉義市城市博覽會開幕「嘉義大舞台」嗨翻
20:00
健康AI領導品牌 威力先進得獎不斷
20:30
《上山吧》團員用「優蛋白EX」補充能量
13:00
《上山吧!台灣隊》創舉!征服非洲之巔!
10:00
他靠科學化心法兩年滾出千萬財富!
08:30
首頁
關鍵字
衛福部彰化醫院胸腔內科醫師林澤宏
衛福部彰化醫院胸腔內科醫師林澤宏
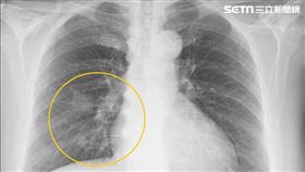
原要開刀治療痔瘡 婦人竟診斷出肺癌
肺癌不易早期發現,彰化67歲詹姓婦人卻相對好運!她治...
2019/10/21 10:04
最新圖輯
更多
第62屆金馬獎得獎後台
第62屆金馬獎紅毯
劉書宏專訪
袁澧林、陳孝萱專訪
第36屆金曲獎星光大道
第36屆金曲獎得獎圖輯
NMIXX林口體育館粉絲演唱會
KISS OF LIFE台北演唱會
林芯儀專訪
GYUBIN大巨蛋開球
今日頭條
1
黃國昌問:倒閣卓榮泰會下台?他狠酸法盲
2
與美歐會談 澤倫斯基願放棄入北約條件曝
3
蕭敬騰岳父逝!昔中風手萎縮1舉動感動網
4
習近平國師稱:統一後10年台北變二線城市
5
今晨低溫7.1度 冷氣團發威4縣市低溫特報
6
立院對台灣斷手斷腳 他:補救手段幾用完
7
雪梨海灘猶太節慶槍擊案 增至16人死亡
8
發錢了!「一次給5個月」近10萬現金入帳
9
「公益網紅」賓賓哥遭爆斂財破億霸凌粉絲
10
10縣市今早起停水!最久「9小時沒水用」
HOT焦點
更多
高雄大氣球遊行登場 21顆空飄氣球超壯觀
健康AI領導品牌 威力先進得獎不斷
《上山吧》團員用「優蛋白EX」補充能量
頻道推薦
直播✦活動
三立新聞網
為了提供更好的閱讀內容,我們使用相關網站技術來改善使用者體驗,也尊重用戶的隱私權,特別提出聲明。
了解最新隱私權聲明
知道了