黴漿菌「會走路的肺炎」即時疫情懶人包【最新消息 不斷更新中】
最新健康新聞即時報
黴漿菌 最新疫情
三立新聞粉絲團
我有話要說
明年春節恐爆新疫情!肺炎黴漿菌12QA一覽
中國7病毒炸鍋! 羅一鈞:三類人當心
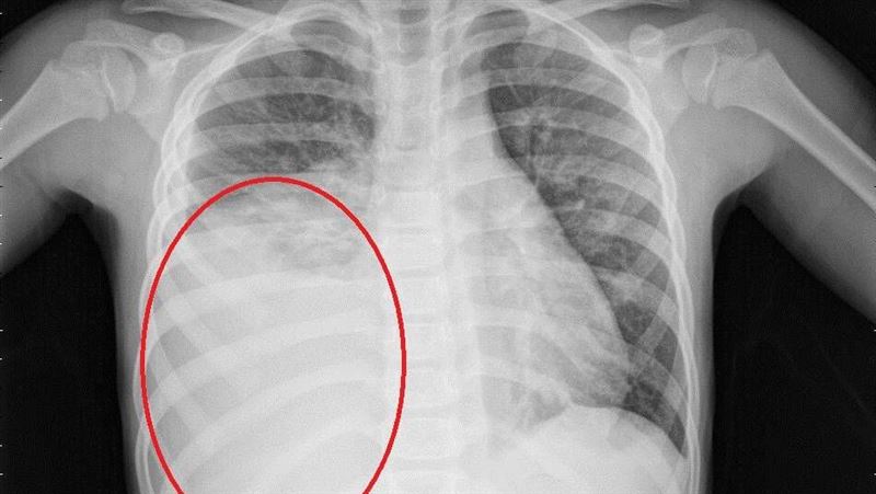
黴漿菌肺炎爆發 醫:恐有嚴重罕見病例
機場戒備!中國爆疫情 疾管署發醫界通函
往返中國小心!「大白肺」激增 2招防堵
黴漿菌 最新疫情
中國發布防控措施 指多種呼吸道疾病恐一同流行
2023/11/24 17:04
中國國務院聯防聯控機制今天發布通知指出,中國今年冬季至明年春季可能面臨COVID-19、流感、黴漿菌肺炎等多種呼吸道疾病疊加流行局面,因此提出6項重點措施,要求各地這一時期做好防控。
不只肺炎黴漿菌暴增!情況可能更糟 羅一鈞曝中國「3大病毒」肆虐
2023/11/24 16:09
疾管署副署長羅一鈞今(24)日下午在疾管署臨時疾情記者會上表示,根據世界衛生組織(WHO)最新公布資訊,中國近期這一波疫情升溫最快的不是肺炎黴漿菌,而是「RSV(呼吸道融合病毒)」跟「腺病毒」,讓中國北方處於「多重病原共同流行」,情況可能會...
兒童「肺炎黴漿菌」重蹈新冠大流行?羅一鈞:中國數字不透明恐有未爆彈
2023/11/24 14:00
近期中國北京、天津等地傳出肺炎黴漿菌大流行,兒童患者遽增導致醫院壅塞。連世界衛生組織(WHO)也在要求中國提供更多有關未確診肺炎病例激增的資訊。外界擔憂中國疫情擴大,且台灣是否會受到影響?對此,疾管署副署長羅一鈞今(24)日表示,當地類流感...
官媒發聲了!中國病童「吊點滴做功課」畫面曝光 網友:連撒旦都流淚
2023/11/24 11:29
中國流感、黴漿菌肺炎等呼吸道感染疾病病例激增,兒童成為主要族群,多張患病兒童在醫院裡邊吊點滴邊做功課的照片,近來在中國內外流傳,引起熱議,連官媒也呼籲保護學童「生病時歇一歇」的權利。
中國肺炎黴漿菌大流行「127萬人死於抗藥性細菌感染」醫示警成兒童威脅
2023/11/23 16:58
據統計2019年全球已有127萬人死亡抗藥性細菌感染。台灣感染症醫學會今(23)日示警,感染抗藥性細菌恐導致住院天數增加4成、致死率大增6成;一項調查也顯示6成民眾抗生素認知錯誤、3成不當使用,故學會提出診間3問,希望民眾看診主動提出問題,...
‹
6
7
8
›
我有話要說
▲
回頂部