APP下載
活動
爆料
圖輯
AI爆報
追蹤新聞
3
台灣彩券開獎直播中
三立iNEWS新聞台線上直播
LIVE三立+24小時直播
即時
陳光復重摔昏迷
高金遭搜索
新聞
熱門
政治
社會
娛樂
生活
新奇
健康
國際
兩岸
運動
財經
房產
旅遊
科技
汽車
遊戲
ESG
影音
總覽
政論
節目
熱搜
直播
iNEWS
專題
總覽
特企
專頁
大事件
彩券
專欄
民調
快訊
川習討論對台軍售 六項保證法制化呼聲起
17:32
獨/日系頂級飯店傳命案 香港男陳屍沙發
17:26
鄭麗文紅繩事件!胡采蘋:換她們結果不同
17:23
立院開議先審國防預算 美議員喊這句
17:22
低脂低碳水都沒用!哈佛研究揭假健康迷思
17:21
脫個外套「7.5萬丟了」驚人結局曝光
17:18
美民權領袖傑克遜逝世 歐巴馬川普齊致敬
17:15
戰火掏空民眾荷包 俄羅斯物價飆又擬加稅
17:15
回絕川普邀請!教廷:不加入和平委員會
17:12
陳光復密切治療中!縣府曝最新情況
17:10
最新畫面曝光!天母紅豆食府「5大缺失」
17:08
集氣!陳其邁:陳光復顱內減壓手術已完成
17:06
粉絲變女主!Lisa將演新版《新娘百分百》
17:02
傳預防病毒應禁「生飲椰汁」 疾管署糾錯
17:00
民團推正名運動 黃捷:讓世界看見台灣
16:54
賴清德屏東發福袋 遇長者昏倒秒變仁醫
16:52
初三南下北返車潮爆量 3路段塞到凌晨
16:48
陳光復跌倒昏迷 賴清德:手術順利仍危險
16:46
2026央視春晚收視出爐!破13年紀錄
16:41
結紮後妻又懷孕疑被綠!怒喊鑑定結果出爐
16:38
台灣彩券開獎直播中
20:31
台彩春節加碼12億元創新高
12:00
大樂透加碼480組100萬元
12:00
大樂透加碼800組10萬元
12:00
初一金山財神廟湧人潮 聯名蛋捲禮盒喜氣
14:00
拜拜,其實很有台灣式幽默!
09:00
WE ARE我們的除夕夜 跨世代卡司陪觀眾
11:00
星城Online攜手《戲說台灣》拍創意單元劇
12:00
MY管管尾牙熱鬧登場 主打福利吸新戰力!
17:45
土城永福岩祖師廟擲筊賽 首獎祭百萬現金
14:50
春節最佳去處!桃園龍德宮成網美打卡點
13:00
以高回饋機制協助家庭資金更有效率運用
16:00
暗黑風格吸血鬼遊戲新作3/11上市!
12:00
幸福企業!愛妮雅集團成員工最強後盾
12:00
永旭保經留才 調整制度拚長期發展
11:30
首頁
關鍵字
黃啟訓
黃啟訓
非巴金森症!她手抖嘴抖竟新冠後遺症
64歲的林女士今年5月感染新冠肺炎,康復後突然發現兩...
2024/10/08 09:39
眼皮狂跳以為發財 就醫發現是眼瞼痙攣症
53歲男性工程師左眼皮跳動,心想俗話說「左眼跳財,右...
2024/04/09 22:36
左眼跳財?工程師買樂透 跳到兩眼張不開
53歲男性電腦工程師,幾個月前開始發現左側眼皮偶而會...
2024/04/09 08:45
國光女神罹「貝爾氏麻痹症」 醫:不罕見
「國光女神」許薇安近日透露自己罹患罕見疾病「貝爾氏麻...
2024/01/18 11:25
布魯斯威利患額顳葉失智症!醫:症狀多變
美國影星布魯斯威利(Bruce Willis)去年因...
2023/02/17 11:22
5旬男上班時話多易錯 竟急性腦中風
天冷不只新冠肺炎,也是三高等疾病的好發時節。一名54...
2021/11/23 13:07
詭!18歲女一跑步就遭怪異力量抓住
女高中生近2年來經常覺得單側身體感覺怪怪的,跑步的時...
2020/11/17 13:37
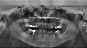
長期莫名牙痛 原來是腦幹腫瘤在作怪
長期牙痛找不到原因,真的不能大意!書田診所今(19)...
2020/05/19 11:43
下巴突然麻木?當心!可能是癌症轉移
下巴突然變得麻麻的、沒有什麼感覺,那就要當心!因為,...
2019/09/19 08:09
驚!他眼睛「脫窗」 竟是腦袋長東西
一名35歲的劉先生,突然眼睛無法聚焦,看東西發生複視...
2018/04/10 11:45
他下巴不明原因麻麻~竟是癌症轉移
一位65歲男性,自覺下巴在數日當中逐漸出現不明原因的...
2017/11/14 12:32
前晚看政論!博士氣到一覺起床竟失憶
58歲林先生,擁有國外著名大學博士學歷,任職於外商高...
2016/07/19 09:55
最新圖輯
更多
初孟軒、鍾岳軒專訪
龍千玉與翁立友領豪記唱片群星拜年
Rain鄭智薰小巨蛋演唱會
金在中演唱會
羅志祥30周年演唱會
凱琳專訪
黃鐙輝、吳念軒、黃騰浩專訪
第62屆金馬獎得獎後台
第62屆金馬獎紅毯
劉書宏專訪
今日頭條
1
初二國道部分路段紫爆 高公局估17處易塞
2
阿蘇火山口發現3遺體!外交部證實含2台人
3
嘔吐物波及賴清德 主委:忍不住歹勢啦!
4
紅豆食府天母店爆集體食物中毒 勒令停業
5
陳其邁將卸任高雄市長 賴清德幫預告下步
6
新/橡木桶董事長陳春安辭世!享壽80歲
7
郭董、張忠謀都在拜 企業大老最愛財神廟
8
高市當選第105屆首相 第2次內閣今晚啟動
9
路上1交通違規不再開罰 交通部預告放寬
10
賀歲片天花板是哪部?這神片30年經典不敗
HOT焦點
更多
以高回饋機制協助家庭資金更有效率運用
幸福企業!愛妮雅集團成員工最強後盾
暗黑風格吸血鬼遊戲新作3/11上市!
頻道推薦
直播✦活動
三立新聞網
為了提供更好的閱讀內容,我們使用相關網站技術來改善使用者體驗,也尊重用戶的隱私權,特別提出聲明。
了解最新隱私權聲明
知道了