APP下載
活動
爆料
圖輯
AI爆報
追蹤新聞
3
台灣彩券開獎直播中
三立iNEWS新聞台線上直播
LIVE三立+24小時直播
即時
非洲豬瘟侵台
輝達進駐台北
新聞
熱門
政治
社會
娛樂
生活
新奇
健康
國際
兩岸
運動
財經
房產
旅遊
科技
汽車
遊戲
ESG
影音
總覽
政論
節目
熱搜
直播
iNEWS
專題
總覽
特企
專頁
大事件
彩券
專欄
民調
快訊
熱/金流追蹤10日漲多 15檔分析必看
04:00
Win10退場帶旺PC換機 法人點這2檔組合
03:50
9月外銷訂單創史高 這檔擁供應鏈續點火
03:03
輝達銷售5000億鎂 台股獨家豪賺的他!
03:00
算力啟動多頭主升段來了 它3年報酬1.5倍
02:08
台中豬瘟場3度採陽 將採樣飼主家環境
01:21
輝達台灣總部落腳處 黃仁勳回應了
01:17
熱/結束光輝10月 資金轉向16檔題材曝
01:11
新/美股漲跌互見 Amazon、Twilio成亮點
01:07
AI還沒瘋才剛暖身 這檔將大啖投資商機!
00:58
個股/台達電法說會後 新目標價出爐
00:07
手殘按錯零股變1張 台積電一鍵爽賺65萬
23:58
萌娃萬聖節變裝王世堅!西裝、飄逸秀髮
23:57
救災便當吃掉「上億」?花蓮議會火藥味濃
23:50
獨/4位韓籍女神萬聖節變裝 她無人認出
23:50
粿粿范姜鬧婚變 超正前女友說話了
23:45
11月3星座迎財神 第一名加薪、中獎樣樣來
23:05
2700萬勞斯萊斯撞賓士 驚人維修費曝光
23:04
組發會涉死亡連署團滅 他籲鄭麗文做這事
23:03
黃仁勳炸雞外交 韓國雞肉概念股爆量漲停
23:00
台灣彩券開獎直播中
20:31
維生素B群功效與補充全解析!
14:00
日本熱銷4億包!糖脂對策 隨餐1包纖維粉
12:00
酷澎雙11狂購祭 美國保健品限時五折
11:00
八里國際化成形!港灣特區陸海空黃金三角
11:00
13聖杯!桃園護國宮爐主淚:太子爺早暗示
19:40
首頁
關鍵字
疱疹
疱疹
補助帶狀疱疹疫苗 林智鴻:守護長輩健康
因應全台各縣市帶狀疱疹罹病人數連年上升,已經有多個地...
2025/10/16 11:55
正妹喉痛掛號!一摘口罩整張嘴潰爛嚇壞醫
一名20歲正妹因為喉痛掛號,結果一摘口罩竟嚇壞醫師,...
2025/06/08 09:54
離奇!法國傳奇寶劍「埋岩壁1300年」失竊
一把被稱為法國版「石中劍」的傳奇寶劍「杜蘭達爾」(D...
2024/07/03 23:29
美女下體起水泡 醫嘆:這病會跟你一輩子
有名美女下體莫名起了一粒小水泡,她自己把水泡戳破後卻...
2024/07/03 21:38
男友包皮水泡復發 她闖診間問1句醫看傻
男性下體出問題,不只自己會心慌慌,可能伴侶會比你還要...
2024/06/04 14:49
8歲童嘴破嚴重到住院 醫:這會終身潛伏
近期流感、腸病毒、黴漿菌感染等疾病全台蔓延,還有1名...
2024/05/12 16:42
愛愛少做1事他得5性病 醫驚:現代恐怖片
一夜情觀念普及,但務必慎防性病。泌尿科醫師唐守宏分享...
2024/04/30 11:57
男持續胸痛、還有針刺感!竟是皮蛇作祟
65歲男性持續胸痛,四處就診經各種精密檢查仍查不出病...
2024/04/29 06:27
眼球也會長疱疹!醫示警:反覆發作恐失明
你知道眼睛也會長疱疹嗎?很多人都以為疱疹是只針對皮膚...
2023/09/17 14:59
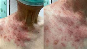
比生子還痛!6旬婦掀衣才知皮蛇長滿胸口
一名60多歲婦人因為不明原因劇烈胸痛,使她一週內數度...
2023/08/04 11:54
腹部劇痛紅疹竟是「它」 康復10年再發病
台中61歲陳姓運匠因疫情解封後生意越來越好,甚至晚上...
2023/07/26 09:51
沒愛愛也染性病?2種沒皮膚接觸也能傳播
現今社會對於性觀念逐漸開放,了解何謂安全性行為、以及...
2023/07/15 08:17
確診女長紅疹以為被蚊子叮 竟是雙重感染
最近新冠肺炎進入到第四波流行期,除了注意是否有上呼吸...
2023/05/24 08:30
年↑2.5萬人!糖友染病風險高4疫苗防重症
我國5月1日起,將新冠肺炎從第五類法定傳染病降為第四...
2023/05/14 14:23
女約炮50男後悔 怒PO下體照:快哭出來了
現代人性觀念越來越開放,性伴侶多也不是新聞。不過一名...
2023/02/27 09:06
性愛戴套防3性病!但「有3種」小心恐破功
新冠疫情逐漸鬆綁,人與人的連結也變得更頻繁,根據疾管...
2023/02/22 18:41
代替止痛藥!竟天明每股32元登興櫃一般板
專注皮膚外用新劑型藥物開發的竟天生物(6917)將於...
2023/01/11 15:26
病人在皮蛇上「畫腳」 醫聽動機哭笑不得
只要得過水痘,水痘-帶狀疱疹病毒(varicella...
2023/01/09 16:35
確診脖頸整片紅痛爆!醫:非單純感冒
「不是每個人都是幸運的… 」小兒科醫師黎博彥在臉書分...
2022/06/12 16:35
約會女網友狂親 他「嘴巴潰爛」染病
現在科技越來越方便,不少人會透過網路交友,不過可要小...
2022/04/24 02:06
中年男長爛痘忍3週 竟痛到嘴斜臉歪
台中一位35歲陳先生,在農曆過年前發現臉上莫名紅腫發...
2022/02/11 17:07
生殖器突長痘痘 竟是「做這事」惹禍
有時候身體上的小問題,有可能背後藏著很嚴重的後果,泌...
2021/07/27 20:07
中國又有怪病 首宗感染猴B病毒致死
中國疾病預防控制中心周報在16日發表一份報告,發現首...
2021/07/17 16:08
正妹約炮50男 崩潰PO下體慘照
憶起年少輕狂的恐怖過往,很多人至今仍是悔不當初!日本...
2021/01/23 07:15
生殖器突長痘痘 竟是進太多洞惹禍
有時候身體上的小問題,有可能背後藏著很嚴重的後果,泌...
2020/03/22 06:00
女兒大學愛一夜情 竟害爸「長疱疹」
這真是太尷尬了!日前一名國外女網友PO文表示,因為她...
2020/02/28 11:09
益生菌可提升免疫力?醫:有這些壞處
吃益生菌可以提升免疫力嗎?元老級抗衰老診所醫師柯威旭...
2019/09/15 17:20
女戰50男尿變這樣 怒曬下體照任看
性愛的歡愉讓許多人深陷其中,但卻有人趁著年輕放任肉體...
2019/09/01 13:10
雜交!女大生淋病 同學1次中3種!
現代年輕人性觀念好開放?有一群大學生到汽車旅館舉辦大...
2019/08/23 15:47
他GG爆膿冒痘 衰中性病大三元崩潰
除了和另一半發生性關係外,有些民眾會嘗試多人性愛,不...
2019/08/04 20:28
最新圖輯
更多
劉書宏專訪
袁澧林、陳孝萱專訪
第36屆金曲獎星光大道
第36屆金曲獎得獎圖輯
NMIXX林口體育館粉絲演唱會
KISS OF LIFE台北演唱會
林芯儀專訪
GYUBIN大巨蛋開球
陳謙文專訪
孫麥傑專訪
今日頭條
1
鄭麗文明就任藍黨魁 中共介選證據全曝光
2
和林信義見面 高市早苗喊:台灣總統府資政
3
送卓榮泰「望遠鏡+放大鏡」王世堅曝含意
4
總部卡關 黃仁勳親曝:大家都希望在台北
5
2700萬勞斯萊斯撞賓士 驚人維修費曝光
6
范姜3度發聲打臉王子說辭!4點律師聲明曝
7
全台最大黃牛夫妻又犯 夫聲押妻15萬交保
8
獨/清2次…豬瘟案場滿地糞便老鼠橫行
9
南市長民調!陳亭妃、林俊憲都領先謝龍介
10
GD登APEC晚宴獻唱!習近平竟甜笑狂點頭
HOT焦點
更多
全台首輛行動CT車 桃園啟程貼心服務市民
傳說對決《國際電競女神盃》報名至11/9
「苦盡甘來」助移工 印尼新住民日行一善
頻道推薦
直播✦活動
三立新聞網
為了提供更好的閱讀內容,我們使用相關網站技術來改善使用者體驗,也尊重用戶的隱私權,特別提出聲明。
了解最新隱私權聲明
知道了