APP下載
活動
爆料
圖輯
阿立導讀
追蹤新聞
5
卓榮泰立院報告並備詢
大甲媽祖遶境DAY4
台灣彩券開獎直播中
三立iNEWS新聞台線上直播
LIVE三立+24小時直播
即時
台灣瘋媽祖
美伊停火
新聞
熱門
政治
社會
娛樂
生活
新奇
健康
國際
兩岸
運動
財經
房產
旅遊
科技
汽車
遊戲
ESG
影音
總覽
政論
節目
熱搜
直播
iNEWS
專題
總覽
特企
專頁
大事件
彩券
專欄
民調
快訊
豪華+性能 Range Rover 20週年特仕車
11:01
辣椒水羅生門破案!周玉蔻:台中無奇不有
10:59
比塑膠袋毒?譚敦慈示警「1容器」別加熱
10:58
柯文哲被噴辣椒水扯賴清德!綠委嗆道歉
10:57
男星突發心臟病猝逝 最後貼文曝光太鼻酸
10:57
黃捷登記參選高市黨部主委:市長給我鼓勵
10:56
金曲製作人操刀 蘇巧慧推競選主題曲
10:51
怕買到發芽馬鈴薯?全聯、家樂福回應了
10:51
父稱兒有工作 黑白切少東曾涉槍擊竊車案
10:50
疑吸毒缺錢!堂兄弟偷車 聯手闖空門遭逮
10:49
謝衣鳯堅持選!蕭景田曝:家人有溝沒有通
10:48
潑水節變調…休假軍人淪「性侵犯」送軍法
10:47
房市陣痛期降臨 台中投客退場已爆多殺多
10:46
蕭旭岑:金溥聰照顧好馬英九「不要落跑」
10:42
打球猝倒被警從死神前搶回!他身分不簡單
10:37
孫協志算命遇鐵口直斷 夏宇童最篤信他
10:37
馬德收紅錢製作統戰節目!吳思瑤:遺憾
10:35
美伊報復性互祭封鎖令 荷莫茲交通再癱瘓
10:35
退出民眾黨!他喊:接受民進黨徵召選議員
10:32
新/前綠立委「又」詐助理費 桃檢起訴
10:31
台灣彩券開獎直播中
20:31
大甲媽祖遶境DAY4
08:20
卓榮泰立院報告並備詢
09:30
星城Online祈福相伴 好運紅包錦囊超吸睛
13:00
臺東女路走讀山海 私房菜說生命故事
12:00
嬰幼兒呼吸道殺手!醫曝RSV預防新里程
10:30
面試找到歸屬感 李唐成為中信傑出經紀人
12:00
五月雪美不勝收 桃園桐花祭13處賞桐秘境
21:00
進香免煩漏!來復易讓長輩不怕找廁所
18:30
台灣狼現身白沙屯進香!送出限量結緣商品
18:00
護理師變房仲菁英 中信房屋黃盺妮勇跨界
12:00
酷澎跨境入手BP聯名 還有PS5星空
11:00
首頁
關鍵字
臺中榮民總醫院
臺中榮民總醫院
健保署與中榮合辦 在宅急症照護分享會
健保署中區業務組與臺中榮民總醫院於24日攜手舉辦「在...
2024/11/27 10:00
中榮VS國際合作發展基金會 簽訂備忘錄
臺中榮民總醫院在陳適安院長領導下,積極發展智慧醫療、...
2024/08/25 10:57
盼加快肺纖維化、癌症與免疫新藥研發進程
臺中榮民總醫院與百靈佳殷格翰藥廠於2024年8月6日...
2024/08/06 18:00
端午盡情吃粽不怕胖!中榮教你5招變瘦
在端午節吃美味粽子,又不想攝取熱量太多、消化不良以及...
2024/06/10 11:00
早期三陰性乳癌拚治癒 醫揭免疫治療關鍵
三陰性乳癌過往被認為是所有亞型中較「難治」的,但隨著...
2024/05/04 07:17
健康台灣論壇 盼中部成為智慧醫療重鎮
賴清德準總統國家希望工程「健康台灣」論壇,本周連續兩...
2024/03/31 17:22
自行停藥 23歲女紅斑性狼瘡復發險洗腎
今年23歲的王小姐因臉上出現紅斑、關節腫脹疼痛,且症...
2024/03/26 07:38
中榮攜手中部6部立醫院 簽訂合作意向書
臺中榮民總醫院與衛生福利部所屬中區六家醫院,於今(1...
2023/05/16 14:40
免疫風濕疾病遺傳問題多 精準照護助控制
「家人有免疫風濕疾病,我也會有嗎?」這是許多病患家屬...
2023/01/04 09:32
皮膚脫屑手不能舉 竟是乾癬性關節炎作祟
一名今年40歲的冠宇(化名)在一家企業擔任廠務主管,...
2022/12/13 10:30
化學治療免疫療法為小細胞肺癌突破瓶頸
65歲的張男是個老菸槍,近三個月來咳嗽不斷,起初以為...
2022/12/05 09:41
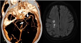
染新冠不僅侵犯呼吸道 恐引發腦中風
臺中榮民總醫院除了防疫工作,也致力研究,從治療新冠肺...
2022/08/18 13:59
肝腫瘤12公分 險錯失根治性治療
52歲的顧小姐,因為C型肝炎常規追蹤,才發現12公分...
2022/01/02 10:40
如何評估肝癌治療?醫籲尋求第二意見
日前71歲的知名藝人蔡頭傳出確診罹患晚期肝癌住院接受...
2021/12/21 23:50
鼻血不停 原來是「類血友病」作怪
一名20多歲的年輕男性一進入醫院急診室,馬上引起醫護...
2021/11/20 05:00
腳痛腫得像麵龜 竟是僵直性脊椎
一名 39 歲的李先生(化名)在大公司擔任主管,平常...
2021/11/12 03:00
晚期肝癌希望 新肝癌二線標靶藥物
肝癌高居癌症死因前四 多因肝炎發展而成肝癌多年來一直...
2021/06/17 09:40
腎臟移植專家:擺脫洗腎困境!
台中市一名五十八歲的王小姐(化名),十八年前確診為末...
2021/02/04 15:40
乾癬性關節炎患者病識感低
皮膚紅腫、發炎、脫屑等外顯的病灶,是乾癬患者常見的困...
2021/01/05 02:30
「血盆大口」流血不止 原來是紫斑症
牙齦出血、全身莫名青一塊紫一塊,竟是「紫斑症」上身!...
2019/09/27 11:05
大突破!美FDA通過血友病新藥
血友病是一種X染色體隱性的基因遺傳疾病,多數患者為男...
2018/06/04 23:00
中秋傳愛 臺中榮總送月餅關懷弱勢
中秋節即將來臨,為了支持社福團體推出的公益月餅,臺中...
2017/10/03 14:15
61歲男腰酸背痛 竟是攝護腺癌轉移
61歲的簡先生,因為腰痠背痛、骨頭疼痛而就醫,經診斷...
2016/11/24 09:00
最新圖輯
更多
劉冠廷專訪
林予晞、王真琳專訪
李雪、陳昱廷專訪
初孟軒、鍾岳軒專訪
龍千玉與翁立友領豪記唱片群星拜年
Rain鄭智薰小巨蛋演唱會
金在中演唱會
羅志祥30周年演唱會
凱琳專訪
黃鐙輝、吳念軒、黃騰浩專訪
今日頭條
1
替小弟討7萬結怨 斷筋黑白切少東正面曝
2
退出民眾黨!他喊:接受民進黨徵召選議員
3
新/日本自衛隊訓練彈藥爆炸!多人受傷
4
蕭旭岑又爆「有人長年A錢、取回扣」
5
停火倒數!伊朗議長嗆「準備亮出新底牌」
6
新/中壢燒臘店大火 62歲老闆命危送醫
7
日氣象廳:未來一週規模8地震機率增10倍
8
羽田機場系統當機!航班誤點逾5千人遭殃
9
連長罵混血役男死日本鬼子 顧立雄怒了
10
美伊報復性互祭封鎖令 荷莫茲交通再癱瘓
HOT焦點
更多
面試找到歸屬感 李唐成為中信傑出經紀人
嬰幼兒呼吸道殺手!醫曝RSV預防新里程
進香免煩漏!來復易讓長輩不怕找廁所
頻道推薦
直播✦活動
三立新聞網
為了提供更好的閱讀內容,我們使用相關網站技術來改善使用者體驗,也尊重用戶的隱私權,特別提出聲明。
了解最新隱私權聲明
知道了