APP下載
活動
爆料
圖輯
AI爆報
追蹤新聞
3
台灣彩券開獎直播中
三立iNEWS新聞台線上直播
LIVE三立+24小時直播
即時
高金遭搜索
台美關稅定案
新聞
熱門
政治
社會
娛樂
生活
新奇
健康
國際
兩岸
運動
財經
房產
旅遊
科技
汽車
遊戲
ESG
影音
總覽
政論
節目
熱搜
直播
iNEWS
專題
總覽
特企
專頁
大事件
彩券
專欄
民調
快訊
中國知名調查記者劉虎 春節前夕獲保釋
18:46
新北男遭逼車又亮槍恐嚇!2男被搜出2手槍
18:42
習近平2026年重點經濟任務:促消費穩就業
18:41
挺邁子弟兵!邱議瑩偕林志誠燕巢拜年
18:41
歐盟友稱納瓦尼死於箭毒蛙毒素 俄斥騙局
18:38
乾哥在美國會關多久?Cheap:真正的懲罰
18:36
「人肉佔位」現世報!阿北慘遭突襲
18:34
獨/財神爺猛敲門暴紅 彩券行真開出大獎
18:30
賴清德發表春節談話:繼續強化國防與治安
18:17
長輩不在年味盡失 網:只剩包紅包的長假
18:14
洪志善曝球員獲放假1週 簡祐哲傷勢曝光
18:11
民進黨4連霸老將「不選了」兒:接下重任
18:06
田徑Karina變臉?疑舊照瘋傳:完全認不出
18:03
幕後/打破慣例 賴清德春節談話3意涵曝
18:01
登小雪山發表春節談話 賴清德曝新年展望
18:00
台灣錢淹腳目!全台現鈔流通破4.2兆
18:00
除夕必吃開運食物公開 當天禁忌報你知
18:00
一桌年菜熱量破萬卡 營養師曝4招不發胖
17:59
高雄春節秘境!茂林賞紫斑蝶探訪萬山部落
17:56
2026 馬年諧音神反轉!網噴笑:我媽日常
17:49
台灣彩券開獎直播中
20:31
台彩春節加碼12億元創新高
12:00
大樂透加碼480組100萬元
12:00
大樂透加碼800組10萬元
12:00
WE ARE我們的除夕夜 跨世代卡司陪觀眾
11:00
星城Online攜手《戲說台灣》拍創意單元劇
12:00
MY管管尾牙熱鬧登場 主打福利吸新戰力!
17:45
土城永福岩祖師廟擲筊賽 首獎祭百萬現金
14:50
春節最佳去處!桃園龍德宮成網美打卡點
13:00
以高回饋機制協助家庭資金更有效率運用
16:00
暗黑風格吸血鬼遊戲新作3/11上市!
12:00
幸福企業!愛妮雅集團成員工最強後盾
12:00
永旭保經留才 調整制度拚長期發展
11:30
首頁
關鍵字
陳亮宇
陳亮宇
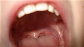
早起喉嚨痛「恐和肥胖有關」 醫揭2元凶
很多人一早起床時都會出現喉嚨痛的困擾,不少民眾也會將...
2026/01/22 15:39
他越式洗頭2週後「1處」超癢!長滿黴菌了
台灣近幾年掀起「越式洗頭」熱潮。耳鼻喉科醫師陳亮宇分...
2025/12/14 11:00
喉嚨痛竟確診4癌症!醫曝3習慣是頭號殺手
癌症是台灣的頭號死因。耳鼻喉科醫師陳亮宇分享一則案例...
2025/12/07 14:28
婦人鼻塞又吐黃痰 醫一照驚見惡性腫瘤
鼻腔若出現異常症狀,可能與鼻咽癌有關。耳鼻喉科陳亮宇...
2025/10/26 10:00
鼻屎臭爆!醫一照…驚見「一大坨黴菌球」
如果鼻子總感覺到惡臭,卻總是找不到原因就要當心了!耳...
2025/08/20 09:38
楊千霈摘除扁桃腺!最忌「1動作」防血管爆
藝人楊千霈今透露因為長期慢性扁桃腺發炎很困擾,所以安...
2025/08/10 17:58
尪嫌吵睡沙發 她驚覺打呼變大聲竟是癌症
一名病人長期鼻塞、黃鼻涕,換了幾次抗生素,症狀仍未改...
2025/03/27 07:15
婦人打呼還鼻涕倒流 醫檢查驚見惡性腫瘤
一名年約50多歲的女性,長期受到鼻塞與黃鼻涕倒流所苦...
2025/03/26 13:31
紅茶 + 綠茶能止咳?飲料店推神秘伯配方
春季天氣變化大感冒的人相當多,你知道有哪些「止咳偏方...
2025/03/22 09:59
咳出痰「吞下去or吐出來」?醫揭驚人答案
感冒時咳嗽有痰是常見的症狀。耳鼻喉科醫師陳亮宇表示,...
2025/03/04 11:08
獨/陳凱倫癌末卻抗癌成功?醫揭「原因」
知名主持人陳凱倫,2022年底確診扁桃腺癌擴散到淋巴...
2025/01/14 10:27
1面相會打呼!脖圍超過「這數字」穩中了
睡覺打呼會造成其他人的睡眠困擾。耳鼻喉科醫師陳亮宇表...
2024/10/30 09:45
唱KTV「一次中2病毒」 醫驚:一早就來4人
山陀兒颱風影響台灣西南地區,台中市周三和四連放2天颱...
2024/10/04 16:32
耳裡塞滿屎25歲男聽不到 醫夾出驚:好臭
近日有位男子的耳道發炎、發臭,聽力也受到影響,女友說...
2024/07/30 16:04
鼻塞長期用嘴呼吸傷身!醫:4危害找上門
許多人在睡覺時容易鼻塞,又或是呼吸聲音很大、經常需要...
2024/05/06 18:07
嘴巴痛好幾個月 她一張嘴醫驚:糖尿病了
嘴巴隱隱作痛,小心是感染了。一名60多歲婦人抱怨,嘴...
2024/04/19 08:31
她嘴痛治不好 張開嚇壞眾人!醫:糖尿病了
一名60多歲的女子嘴巴疼痛數月,就醫時張開嘴巴,口腔...
2024/04/16 15:59
悚!術後1飲料險奪命 他狂噴血急插管搶救
一名男子手術切除扁桃腺後,因吸吮珍奶,導致喉嚨用力,...
2024/04/15 11:26
女子長期喉嚨痛 竟不是卡魚刺而是長骨刺
長期喉嚨痛, 不是卡魚刺是長骨刺!耳鼻喉科醫師陳亮宇...
2024/03/11 15:21
患者快篩「3條線」 醫驚:快去拜拜一下
冬季來臨,天氣變化多端,病毒也潛伏在各個角落,容易讓...
2023/12/13 12:21
房仲業績慘跌元凶在鼻腔 口臭原因一次看
現代人作息不正常、飲食多元,偶而「口氣不佳」在所難免...
2023/11/30 16:40
鼻塞10多年…醫見「陳年大鼻屎」挖到流汗
耳鼻喉科醫師陳亮宇透露,一名女病患持續鼻塞超過10年...
2023/11/02 05:58
22歲男鼻塞多年 竟夾出「老鼠屍味」紗布
一名22歲男子由於鼻塞且有黃鼻涕3年多,服用抗生素、...
2023/09/25 09:44
感冒好了卻咳不停!醫師揭「難好」原因
感冒相當不舒服,尤其是鼻塞、喉嚨痛、咳嗽等症狀都有的...
2023/07/24 08:06
流鼻血5個月!醫見「鼻頭花」驚:罹癌了
要是身體出現異常,千萬別輕忽小地方對身體帶來的影響,...
2023/06/25 10:15
線雕名醫教你Hold住悸動「初戀顏」
日劇《First Love初戀》近期大爆紅,在日本、...
2022/12/30 09:30
男大生突聞不到!醫驚見「整條被扯斷」
耳鼻喉科診所院長陳亮宇分享,曾有一名20歲出頭的大學...
2022/12/26 08:10
醫美院長公開 三大熟齡肌保養規劃
過了40歲,隨著膠原蛋白、脂肪和骨質的流失,臉部除了...
2022/10/21 10:00
他喉嚨痛到發抖!醫抽出整管「煉乳」
要是身體出現異狀千萬別輕忽,最好的方式就是迅速就醫找...
2022/07/27 07:11
5喉嚨痛疾病症狀差在哪?醫一次解答
台灣新冠肺炎疫情持續升溫,這一波Omicron病毒確...
2022/05/19 09:27
最新圖輯
更多
Rain鄭智薰小巨蛋演唱會
金在中演唱會
羅志祥30周年演唱會
凱琳專訪
黃鐙輝、吳念軒、黃騰浩專訪
第62屆金馬獎得獎後台
第62屆金馬獎紅毯
劉書宏專訪
袁澧林、陳孝萱專訪
第36屆金曲獎星光大道
今日頭條
1
賴清德發表春節談話:繼續強化國防與治安
2
民進黨4連霸老將「不選了」兒:接下重任
3
斷交台灣3年!宏都拉斯「財政拉警報」
4
未成年殺人不能判死 全網炸鍋:惡法該修
5
台美還有協議未公布?台積電投資恐加碼
6
9天連假怎丟?2026春節垃圾車懶人包一覽
7
獨/財神爺猛敲門暴紅 彩券行真開出大獎
8
除夕到初五開運招財全攻略 做對旺整年
9
乾哥在美國會關多久?Cheap:真正的懲罰
10
吊車大王過年拚2千萬大獎 撒200萬開刮
HOT焦點
更多
WE ARE我們的除夕夜 跨世代卡司陪觀眾
搶攻過年連假觀光商機 樂園優惠大戰開打
星城Online攜手《戲說台灣》拍創意單元劇
頻道推薦
直播✦活動
三立新聞網
為了提供更好的閱讀內容,我們使用相關網站技術來改善使用者體驗,也尊重用戶的隱私權,特別提出聲明。
了解最新隱私權聲明
知道了