APP下載
活動
爆料
圖輯
AI爆報
追蹤新聞
7
主計總處今說明GDP影響
洪申翰開記者會談勞權布局
經濟部長龔明鑫親上火線說明
梁文傑出面回應
台灣彩券開獎直播中
三立iNEWS新聞台線上直播
LIVE三立+24小時直播
即時
高金遭搜索
台美關稅定案
新聞
熱門
政治
社會
娛樂
生活
新奇
健康
國際
兩岸
運動
財經
房產
旅遊
科技
汽車
遊戲
ESG
影音
總覽
政論
節目
熱搜
直播
iNEWS
專題
總覽
特企
專頁
大事件
彩券
專欄
民調
快訊
好市多不播音樂「靜音購物」網曝關鍵原因
16:19
新/電鋸修樹割傷手臂!台中工人鮮血狂噴
16:19
楊謹華練皮拉提斯「身體3處冒超狂變化」
16:18
台美對等貿易協定禁強迫勞動 勞團說話了
16:18
台日棒球賽倒數!大咖韓團大巨蛋驚喜助陣
16:18
詹雅雯悲痛爆哭現身大S墓前!這件事惹淚
16:18
龔明鑫:美強力要求 連日韓也守不住
16:14
元朝逃回草原後,為何再難打回中原?
16:14
被新鈔轟炸!行員崩潰:做夢都在數鈔票
16:13
隋棠增重變大尺碼!感慨認已穿不回S號
16:06
藍營國防預算爆內鬨!知識藍不忍全說了
16:06
宋仲基海外試鏡全落榜 關鍵與宋慧喬有關
16:06
陽帆妻Julie驚人家世曝 白冰冰鬆口證實
16:04
威力彩13.5億 2得主買法一樣!花100就中
16:02
新/太扯!只花100元中威力彩6.7億
16:01
新北燈會2/22點燈 15米紅寶馬主燈亮相
16:00
陳昊森疑認愛 公開街頭與女子摟肩親密照
15:58
離譜!割頸案1424萬善款竟被要求列入賠償
15:56
張惇涵舉杯珍珠奶茶:關稅談判成果縮影
15:56
新/邱莉莉涉賄選9人無罪 他遭殺不受理
15:54
台灣彩券開獎直播中
20:31
台彩春節加碼12億元創新高
12:00
大樂透加碼480組100萬元
12:00
大樂透加碼800組10萬元
12:00
洪申翰開記者會談勞權布局
16:00
經濟部長龔明鑫親上火線說明
16:00
梁文傑出面回應
16:00
主計總處今說明GDP影響
16:24
土城永福岩祖師廟擲筊賽 首獎祭百萬現金
14:50
春節最佳去處!桃園龍德宮成網美打卡點
13:00
以高回饋機制協助家庭資金更有效率運用
16:00
暗黑風格吸血鬼遊戲新作3/11上市!
12:00
幸福企業!愛妮雅集團成員工最強後盾
12:00
永旭保經留才 調整制度拚長期發展
11:30
首頁
關鍵字
淋巴癌
淋巴癌
家人罹淋巴癌停更 YTR老高震撼回歸
YouTuber「老高與小茉」靠著分享都市傳說、奇聞...
2026/01/31 08:31
31歲千萬網紅驚爆淋巴癌 心碎:要去打怪
中國網紅「一栗小莎子」(本名徐依莎)近期透過社交平台...
2026/01/24 09:03
她們癢不停 一查淋巴癌!「4症狀」慘了
皮膚癢有時是重病的警訊。醫師劉博仁表示,近來他遇到2...
2025/12/11 12:45
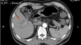
63歲男罹淋巴癌+肝癌 做1事「變小了」
新竹臺大分院收治一名63歲男性,原本罹患淋巴癌,在治...
2025/11/06 18:49
末期淋巴癌逆轉!她靠「1食物」奇蹟康復
花蓮一名連姓女子2年前被診斷罹患第4期淋巴癌並出現骨...
2025/11/01 17:55
歌手罕見淋巴癌逝 醫:9成人曾染相關病毒
台灣創作歌手黃小玫罹患「NK/T細胞淋巴癌」病逝,享...
2025/10/17 15:20
34歲歌手淋巴癌逝!醫曝「3症狀」易誤診
多年前推出日語音樂影片「我們在台灣見吧」爆紅,同時擁...
2025/10/15 18:41
劍橋正妹罹癌拒化療 1日5次咖啡灌腸慘死
一名才華洋溢的劍橋大學畢業生,年僅 23 歲的帕洛瑪...
2025/10/06 15:37
老高無限期停更!年收破3億不生孩原因曝
YouTuber「老高與小茉」靠著分享都市傳說、奇聞...
2025/10/02 22:49
老高與小茉摯愛罹癌 宣布頻道無限期停更
百萬YouTuber「老高與小茉」以介紹世界奇聞軼事...
2025/10/02 21:45
補教名師罹淋巴癌!燒300萬治療曝康復關鍵
補教名師宋學維(戴然)於2014罹患淋巴癌,最近戴然...
2025/09/23 10:29
男星患淋巴癌!6症狀易被忽略 變瘦小心了
49歲藝人阿龐曾因在《新兵日記》飾演「機車班長」走紅...
2025/09/19 18:40
罹淋巴癌宣布停工 49歲男星暴肥40公斤
49歲藝人阿龐過去在《新兵日記》中飾演「機車班長」一...
2025/09/19 12:17
癌症復發幾乎全身癌細胞 補教名師近況曝
新聞傳播補教名師宋學維(戴然),2014曾罹患淋巴癌...
2025/09/19 11:18
陳凱倫證實罹癌轉移至淋巴!緊急重大手術
藝人陳凱倫三年前罹患扁桃腺癌,並已轉移至淋巴,歷經兩...
2025/08/28 12:34
35歲網紅女醫癌逝!嘆:沒想過自己會罹癌
中國一名35歲腫瘤科女醫師黃丹丹,1年多前發現自己罹...
2025/08/18 15:58
沈玉琳遭爆確診血癌 需化療評估骨髓移植
57歲沈玉琳7月29日因猛爆性肝炎緊急住進台北三總加...
2025/08/06 20:12
沈玉琳病因疑淋巴癌 他天天運動也中標
藝人沈玉琳上(7)月29日驚傳因猛爆性肝炎緊急住進內...
2025/08/06 10:32
沈玉琳病倒送醫過程曝光 芽芽急找潘若迪
57歲資深藝人沈玉琳病倒入院至今超過1週,經過三軍總...
2025/08/06 10:26
獨/非肝臟胰臟 沈玉琳真實病因疑淋巴癌
57歲沈玉琳7月29日因猛爆性肝炎緊急住進台北三總加...
2025/08/06 09:14
獨/沈玉琳黃疸「染血液疾病」?專業醫揭密
沈玉琳29日驚傳猛爆性肝炎住進內湖三總,後又傳出疑似...
2025/07/31 20:01
新婚2個月 37歲本土女星驚罹淋巴癌化療
37歲的劇場知名演員周羿(本名周羿汎)與大10歲的陳...
2025/07/10 15:38
65歲男星舌癌!6大元凶曝 牙齒不齊也釀禍
65歲洪朝豐曾參演《九陰真經》《射鵰英雄傳》等多部港...
2025/06/22 15:37
男罹淋巴癌「狂吃1蔬菜」 1年半沒復發
一名67歲男子罹患淋巴癌,腎臟科醫師江守山在患者化療...
2025/06/09 13:44
比莉罹患淋巴癌!愛子周湯豪罕吐抗癌煎熬
藝人周湯豪接受《Prestige Taiwan》雜誌...
2025/06/07 01:05
獨/冒11顆瘤長白點 59歲崔佩儀鬆口病況
59歲崔佩儀的馬爾濟斯狗「妹妹」陪伴全家人10多年,...
2025/06/04 14:20
他不菸不酒超單純 「1無痛症狀」竟罹癌!
食慾不振可能是重病警訊。醫師謝文斌表示,一名70歲男...
2025/05/13 08:35
統一獅前投手王朝民熱衰竭過世 年僅30歲
棒球圈傳出難過消息!統一獅前投手王朝民8日傳出因為熱...
2025/05/10 07:29
YTR魚乾爆哭好幾天 痛揭摯愛罹患淋巴癌
百萬YTR魚乾頻道影片相當多元化,累積許多粉絲喜愛,...
2025/04/27 19:44
不是乾!皮膚癢恐「罹癌」 發黃也要小心
皮膚發癢別輕忽,小心是疾病警訊。皮膚科醫師王文正提到...
2025/04/24 15:43
最新圖輯
更多
Rain鄭智薰小巨蛋演唱會
金在中演唱會
羅志祥30周年演唱會
凱琳專訪
黃鐙輝、吳念軒、黃騰浩專訪
第62屆金馬獎得獎後台
第62屆金馬獎紅毯
劉書宏專訪
袁澧林、陳孝萱專訪
第36屆金曲獎星光大道
今日頭條
1
新/李貞秀喊授權放棄國籍 梁文傑將出面
2
卓揆喊話立院審關稅:共同完成最後一哩路
3
高金素梅涉三大弊案 今再度赴北檢偵訊
4
小琉球環保蟑螂是親弟?李四川回應了
5
割頸案乾兄妹2年可假釋 楊媽媽害怕表示
6
賈永婕挺林義雄血案被老公罵!她反手出賣
7
彩券行「永久歇業卻開出13億頭獎」真相曝
8
學霸台64慘死 司機遭遺棄致死罪起訴
9
伊朗情勢緊張!美再派航母駛向中東地區
10
工商團體盼立院審關稅!她:藍白別卡台灣
HOT焦點
更多
高鐵春節推自由座等候時間 看燈號避人潮
永旭保經留才 調整制度拚長期發展
睡再久還是累?上班族精神卡卡成常態
頻道推薦
直播✦活動
三立新聞網
為了提供更好的閱讀內容,我們使用相關網站技術來改善使用者體驗,也尊重用戶的隱私權,特別提出聲明。
了解最新隱私權聲明
知道了