APP下載
活動
爆料
圖輯
AI爆報
追蹤新聞
3
台灣彩券開獎直播中
三立iNEWS新聞台線上直播
LIVE三立+24小時直播
即時
黃明志捲命案
非洲豬瘟侵台
新聞
熱門
政治
社會
娛樂
生活
新奇
健康
國際
兩岸
運動
財經
房產
旅遊
科技
汽車
遊戲
ESG
影音
總覽
政論
節目
熱搜
直播
iNEWS
專題
總覽
特企
專頁
大事件
彩券
專欄
民調
快訊
股市高檔震盪 這檔動態調配防禦兼攻擊!
01:26
聯發科法說會後 新目標價出爐!
01:11
退休教授月領6萬忽略1事 晚年生活淚崩
01:00
艾格蒙追查黃國昌狗仔金流?尚毅夫爆猛料
00:51
為母報仇該被判死刑嗎?張扣扣案掀輿論戰
00:50
巴菲特現金水位11.7兆創高 外媒揭策略
00:30
川普關稅戰或遭法院封殺? 下場曝光
00:10
新/變態房客縱火燒死母女 檢方聲押禁見
00:09
讓敵軍陷泥淖!波蘭芬蘭重建濕地增防禦力
00:01
邊緣人捍衛者?收入不平等助長極右政權
00:00
祖克柏身價蒸發1兆 富豪排名被這2人超車
00:00
高名菁英盃12月起跑 驅動世代競爭力
23:13
台股收盤創新高 短期利多一次看!
23:00
范姜現身闆妹直播!狂喝「粿王飲料」嗨爆
22:59
年邁翁獨自漫步國道警急逮捕 真相好心酸
22:55
直落二解決奧運金牌!謝淑薇年終賽二連勝
22:55
立冬陰氣極盛!專家曝3星座沖煞6禁忌別犯
22:52
新店74歲翁駕車撞鄰宅 稱「拐錯巷弄」
22:43
90W最快這天成颱 專家曝路徑:恐影響台灣
22:41
新/微軟和它簽大協議 美股開盤暴漲17%
22:39
台灣彩券開獎直播中
20:31
桃園城市影像培力坊 深化學員影像創作力
13:00
侯昌明 「桂格完膳」響應世界糖尿病日!
11:00
首頁
關鍵字
超音波檢查
超音波檢查
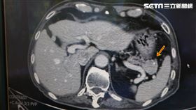
未婚姐妹飽受壘球大子宮肌瘤纏身
今年40歲的小茜(化名)從去年開始發現每月經血量變多...
2022/06/17 18:30
肝癌5大高風險族群莫輕忽
近年來隨著肝癌最常見的危險因子B型、C型肝炎的積極預...
2021/07/01 12:22
成因不明、無從預防 翁罹賈伯斯病
蘋果電腦創辦人賈伯斯罹患胰臟神經內分泌瘤,因此這個疾...
2017/09/07 10:19
最新圖輯
更多
劉書宏專訪
袁澧林、陳孝萱專訪
第36屆金曲獎星光大道
第36屆金曲獎得獎圖輯
NMIXX林口體育館粉絲演唱會
KISS OF LIFE台北演唱會
林芯儀專訪
GYUBIN大巨蛋開球
陳謙文專訪
孫麥傑專訪
今日頭條
1
禁消防員調休惹炸鍋!中市消防局喊卡
2
范姜瘦11公斤吐心聲:不得已才上檯面
3
豪宅雙屍案重大突破!富商狂歡前購買7毒品
4
90W最快這天成颱 專家曝路徑:恐影響台灣
5
才惹怒歐洲!鄭麗文發豪語:2026攻南台灣
6
老牛遭拖沿路滴血!教授急奔南投搶救
7
國道8車撞成一團 女駕駛下車遭追撞身亡
8
陸正綁架案法官 今腦出血倒臥辦公室送醫
9
Threads、IG出現「假氣象署」官方急澄清
10
黃仁勳炸雞局推手是女兒!藏1巧思網暖哭
HOT焦點
更多
守護行人安全 交通部推三大路口安全設施
黃秀芳初選競辦揭牌 爭彰化縣長綠營提名
《永慶薪自由》業務新人首年保障收入72萬
頻道推薦
直播✦活動
三立新聞網
為了提供更好的閱讀內容,我們使用相關網站技術來改善使用者體驗,也尊重用戶的隱私權,特別提出聲明。
了解最新隱私權聲明
知道了