APP下載
活動
爆料
圖輯
AI爆報
追蹤新聞
3
台灣彩券開獎直播中
三立iNEWS新聞台線上直播
LIVE三立+24小時直播
即時
非洲豬瘟侵台
輝達進駐台北
新聞
熱門
政治
社會
娛樂
生活
新奇
健康
國際
兩岸
運動
財經
房產
旅遊
科技
汽車
遊戲
ESG
影音
總覽
政論
節目
熱搜
直播
iNEWS
專題
總覽
特企
專頁
大事件
彩券
專欄
民調
快訊
林岱樺晚會教民調操作!其他人這麼看
00:23
《角頭》性感女神來了 她火辣寫真超吸睛
00:03
垃圾去哪兒?《華郵》追蹤颶風廢棄物去向
00:00
GD深夜現身金豬食堂 李洙赫全程愛相隨
23:55
「最強奶媽」怒噴黃明志:根本心裡有鬼
23:54
高雄長庚醫院突停電?台電揪出元兇
23:52
鄭麗文言論驚嚇海外!共和黨大老唱衰
23:31
四川一地集中採集男性血液樣本 引發質疑
23:18
墨西哥超市爆炸23死 當局:疑變壓器故障
23:17
疫調結果3日公布 前進應變所記者會停開
23:14
陸臥底舉報拐賣嬰 反遭湖南警限制自由
23:08
王齊麟、邱相榤 奪BWF海洛公開賽冠軍
23:07
黃國昌:政黨相處重信任 說了沒做要懲罰
23:02
剛吃飽又餓!營養師列「假性食慾」5徵兆
22:51
護理女神猝死!黃明志疑與死者發生性關係
22:47
林岱樺最新發聲:用心陪伴高雄會越來越好
22:41
萬聖節警花顏值輾Coser 竟是模特兒律師
22:36
道奇奪世界大賽冠軍 每人獎金估1500萬
22:30
黃明志捲謝侑芯命案 網揪「1疑點」追問
22:17
中市偷清消解封恐延後 他:和全台豬農為敵
22:15
台灣彩券開獎直播中
20:31
創意無極限!國中小生飆戲 宣傳節約能源
11:00
台灣大日月潭花火音樂會吸3.5萬人齊聚
22:00
外送專法受矚 三大平台籲政府加強溝通
14:00
有酷澎WOW會員 毛孩照顧更輕鬆
11:00
維生素B群功效與補充全解析!
14:00
日本熱銷4億包!糖脂對策 隨餐1包纖維粉
12:00
酷澎雙11狂購祭 美國保健品限時五折
11:00
八里國際化成形!港灣特區陸海空黃金三角
11:00
13聖杯!桃園護國宮爐主淚:太子爺早暗示
19:40
首頁
關鍵字
胰臟炎
胰臟炎
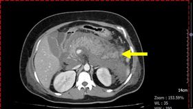
中秋烤肉配「1物」=胰臟殺手 1族群最警示
中秋節聚餐,少不了烤肉配酒的組合,但這樣的組合卻暗藏...
2025/10/02 16:01
悚!研究揭「1病」增19倍胰臟癌風險
胰臟癌預後差,被稱為「癌王」。醫師錢政弘表示,胰臟只...
2025/04/25 12:01
62%癌王患者都有1特徵 醫曝6類人風險高
有「癌王」之稱的胰臟癌,其惡性機率極高,患者被確診時...
2025/03/19 09:30
為救患者 外科醫:媽抱歉,我不返鄉過年
長達9天的春節年假,許多民眾可能安排出國旅遊、追劇、...
2025/01/27 10:44
40歲男每天灌1瓶烈酒 血脂超標10倍
近日受冷氣團影響連日低溫,許多人身體不適就醫,除了年...
2025/01/03 22:05
男太愛蛋黃酥狂嗑慘了 罹1病住院過中秋
中秋節將至,嗑月餅、蛋黃酥可得當心!台南一名50歲男...
2024/09/16 16:21
2寶單親媽欠1萬4健保費 意外揭可憐身世
桃園市楊梅一名45歲單親媽小惠(化名),飽受胰臟炎之...
2024/09/16 13:44
血管中都是油!他中秋猛聚餐險急性胰臟炎
中秋節將至,民眾聚餐之類變多但也要注意健康問題。一名...
2024/09/07 09:33
三酸甘油脂飆高正常人40倍 這招快速改善
陳女士脊椎病變開刀住院,休養期間感到腹部異常疼痛,檢...
2024/09/03 10:26
血糖飆近500!1習慣醫搖頭:拿生命開玩笑
一名20多歲年輕人健檢時發現空腹血糖快500 mg/...
2024/06/16 07:19
高市保大小隊長病逝 家屬爭因公撫卹敗訴
高雄市保安大隊迅雷中隊小隊長李康偉,4年前因急性胰臟...
2024/06/04 18:55
50歲女超養生不菸酒 「家人1習慣」害罹癌
一名50歲女子完全沒有不適症狀,但一次健檢發現,CA...
2024/05/27 08:47
醫:酒癮者平均壽命更比一般人少25至30歲
原本個性內向、容易緊張、不擅言詞的許先生今年41歲,...
2024/05/08 09:30
30歲男記憶力大衰退!醫揪2物害的:很傷身
一名30歲男子近來總是忘東忘西,甚至完全忘記做過的事...
2024/05/04 09:19
長期喝酒+這問題 男反覆腹痛釀慢性胰臟炎
46歲的徐先生多年來因工作應酬常喝酒,三不五時就因為...
2024/04/16 10:59
瀕死病人奇蹟醒卻半癱!家屬驚見病歷空白
台南市50歲謝姓婦人2月時因胰臟炎住進安南醫院,又因...
2024/04/05 07:54
30歲男不忌口胰臟爛流湯!醫:終身糖尿病
一名30歲男子因為喜歡喝酒、肥肉及碳水化合物,導致他...
2024/02/20 05:42
他「月發2次薪水」妻傻眼 醫曝驚人真相
現代人生活繁忙,腦袋中經常需要記許多事項,但要是太容...
2023/11/17 10:34
都是月亮惹的禍?23歲男三酸甘油酯狂飆
胃腸肝膽科醫師錢政弘日前發文表示,在這幾天多了幾個中...
2023/10/01 11:36
狂吃2食物竟胰臟發炎!他驚:健檢都沒事
病從口入真的沒錯!一名男子連續2天大啖漢堡、啤酒,腹...
2023/07/01 16:10
肚子痛到吐 就醫才知血脂「超標35倍」
中部44歲蕭先生肚子痛3天,原以為是便秘,某一天半夜...
2022/11/23 15:13
他胰臟炎送醫院!在病床上「把對手打爆」
他對於勝利的渴望,可能會讓你大吃一驚。美國老道明大學...
2022/10/29 16:46
女子腹痛狂吐2天 急性胰臟炎險喪命
台中市一名40歲越南籍女子,因肚子悶痛好幾天,又持續...
2022/08/01 17:51
降血脂藥恐傷肝臟、胰臟 年吃4億顆
有用降血脂藥得特別注意!食藥署今(28)日公布,fe...
2022/06/28 11:18
每天3瓶酒 40歲女血糖爆表昏迷亡
中國江蘇省常州市一名40歲女子日前上廁所時突然暈倒,...
2021/11/20 10:26
陳文茜一夜白髮 63歲鼻酸願望曝光
資深媒體人陳文茜昨(21日)驚吐,準備節目錄影時,被...
2021/03/22 15:47
天冷吃鍋喝酒上腹劇痛 竟是這病釀禍
冷空氣持續發威,讓人特別想邊吃熱熱的火鍋,配上大杯啤...
2020/12/17 18:14
胰臟癌前兆 大便浮油風險高12倍
自己的身體狀況,自己最知道,必須靠小細節揪出異常的蛛...
2020/09/17 10:48
腹痛「延伸背部」?胰臟恐出問題!
和心臟、肝臟、腎臟比較起來,胰臟的知名度小了許多,很...
2020/03/09 12:09
他狂灌酒肚爆痛!竟得這病洗血脂救命
33歲陳先生號稱酒國英雄,日前與友人徹夜豪飲,返家後...
2019/12/09 09:20
最新圖輯
更多
劉書宏專訪
袁澧林、陳孝萱專訪
第36屆金曲獎星光大道
第36屆金曲獎得獎圖輯
NMIXX林口體育館粉絲演唱會
KISS OF LIFE台北演唱會
林芯儀專訪
GYUBIN大巨蛋開球
陳謙文專訪
孫麥傑專訪
今日頭條
1
中市偷清消解封恐延後 他:和全台豬農為敵
2
鄭麗文致詞馬英九紅了眼 游錫堃1句神解
3
二擇一!領中國護照丟台灣戶籍:已廢50人
4
桃客司機毆學生「離職又回聘」公司說話了
5
謝侑芯經紀人開撕黃明志 790字爆調查內幕
6
這國即將大選!候選人表態:重啟台邦交
7
撞死過馬路老夫妻 特斯拉女駕駛身份曝光
8
山本由伸奪MVP!母隊海報神預言逼哭日網
9
GD大巨蛋喊台北是我家 小S、林心如也來
10
罷團正妹阿美「近況曝光」突表態挺邱議瑩
HOT焦點
更多
轉大人文化節 提倡全齡健康管理從小做起
酷澎雙11狂購祭 美國保健品限時五折
八里國際化成形!港灣特區陸海空黃金三角
頻道推薦
直播✦活動
三立新聞網
為了提供更好的閱讀內容,我們使用相關網站技術來改善使用者體驗,也尊重用戶的隱私權,特別提出聲明。
了解最新隱私權聲明
知道了