APP下載
活動
爆料
圖輯
AI爆報
追蹤新聞
3
台灣彩券開獎直播中
三立iNEWS新聞台線上直播
LIVE三立+24小時直播
即時
高金遭搜索
台美關稅定案
新聞
熱門
政治
社會
娛樂
生活
新奇
健康
國際
兩岸
運動
財經
房產
旅遊
科技
汽車
遊戲
ESG
影音
總覽
政論
節目
熱搜
直播
iNEWS
專題
總覽
特企
專頁
大事件
彩券
專欄
民調
快訊
命理師:今年初一不一樣 太急恐亂整年運
05:04
台彩認證!億元中獎人星座曝 9大特徵狂中
05:01
稱外星人存在引熱議 歐巴馬澄清了
03:22
全聯福袋抽豪車 百貨量販金條機票等你抽
03:04
林佳龍:台灣不升高衝突、不屈服中國威脅
03:02
熱/台股有望站39000點? 最旺9檔你必收
03:00
湧蓮寺國運籤竟下下籤!專家憂心朝野內鬥
02:45
很美的「指甲套」功用跟你想的不一樣
02:00
保安宮國運籤!歲君籤示警:準備好才前進
01:54
王奕翔返鄉演出超狂 遊戲輸變失敗的Man
01:14
專家這招讓上班族 默默拉開財富差距!
01:03
iPhone 18 Pro3款新色曝光 這顏色恐絕版
01:00
ICU護士揭密:人在離世前都會說這句話
01:00
曹操撩寡婦的10字金句,如今男人超常用
00:50
新竹高鐵除夕見「黑白馬」返鄉人潮中亮點
23:58
王奕翔返鄉合體八三夭 唱神曲〈想見你〉
23:54
台日樂團首度合體 重現火影忍者神曲炸翻
23:46
大甲鎮瀾宮頭香出爐!他側門竄出奪得
23:36
過年皇帝不舒爽!這3天只能由「她」陪睡
23:09
新/最強中彩攻略!350元包牌中160萬
23:05
台灣彩券開獎直播中
20:31
台彩春節加碼12億元創新高
12:00
大樂透加碼480組100萬元
12:00
大樂透加碼800組10萬元
12:00
WE ARE我們的除夕夜 跨世代卡司陪觀眾
11:00
星城Online攜手《戲說台灣》拍創意單元劇
12:00
MY管管尾牙熱鬧登場 主打福利吸新戰力!
17:45
土城永福岩祖師廟擲筊賽 首獎祭百萬現金
14:50
春節最佳去處!桃園龍德宮成網美打卡點
13:00
以高回饋機制協助家庭資金更有效率運用
16:00
暗黑風格吸血鬼遊戲新作3/11上市!
12:00
幸福企業!愛妮雅集團成員工最強後盾
12:00
永旭保經留才 調整制度拚長期發展
11:30
首頁
關鍵字
消毒液
消毒液
2病毒大流行酒精殺不死!醫教一招消毒
兒科醫師傑登日前示警腸病毒和諾羅病毒大流行,但靠酒精...
2024/04/22 19:03
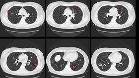
6旬婦滿天星肺結節!「2清潔習慣」出問題
生活習慣錯誤,恐怕會危害到健康!醫師蘇一峰今(17)...
2023/10/17 16:23
食用酒精噴食物消毒 醫:效果有限
疫情嚴峻,就怕病從口入,日本網友拍片分享,將高濃度的...
2022/05/23 21:49
3M協助打擊新冠肺炎疫情
全球疫情依舊嚴峻,台灣雖暫時度過危機時刻,但第一線醫...
2021/03/15 16:00
藥局公告精液沒了 男大生羞:我自首
全球疫情升溫,儘管台灣較為緩和,但防疫依舊不鬆懈,民...
2020/12/29 18:20
藥局一張庫存公告 竟讓網友全去面壁
許多店家為了讓客人能夠清楚知道店內的商品還有沒有,會...
2020/12/29 10:26
武肺是假的!他把公司消毒液換自來水
日本武漢肺炎(新型冠狀病毒病,COVID-19)疫情...
2020/12/23 07:00
酒喝完懶得買 8人續灌消毒液慘亡
許多人喜歡在閒暇時刻和親朋好友喝酒放鬆,不過,喝酒時...
2020/12/07 07:28
酒沒了還想喝!9人狂乾消毒液下場慘
派對狂歡時,絕對少不了喝幾杯酒來助興,不過最近在俄羅...
2020/11/22 17:38
蘭州病菌外洩釀懶漢病 1年後才認錯
正當外界還在討論武漢肺炎病毒是不是人為疏失外洩之際,...
2020/09/21 17:59
不賺災難財!業者捐千萬物資助醫護
受到武漢肺炎疫情影響,直接帶動各項防疫產品,從口罩到...
2020/05/25 22:24
認真消毒惹禍!婦肺部變「毛玻璃狀」
武漢肺炎(COVID-19、新冠肺炎)疫情持續肆虐全...
2020/04/15 18:57
澎湖防疫 20噸次氯酸水免費索取
武漢肺炎疫情延燒,全民積極抗疫,澎湖縣議會副議長陳雙...
2020/03/14 13:09
民眾狂噴酒精 許多無辜細菌喪生?
武漢肺炎(COVID-19、新冠肺炎)還在各國攻城掠...
2020/03/10 20:08
三種消毒液怎麼正確用?醫破常見迷思
武漢肺炎(COVID-19、新冠肺炎)肆虐全球,站在...
2020/03/09 12:52
保護學童 屏東各界捐消毒液給學校
武漢肺炎疫情嚴峻,為保護學生健康,屏東各界紛捐贈消毒...
2020/03/04 18:25
嘉縣議員送萬支消毒液 贈國中小師生
嘉義縣議員陳文忠今(3)日贈送1萬多支二氧化氯消毒液...
2020/03/03 15:04
消毒液代替洗手?醫:上床前噴重點?
武漢肺炎(COVID-19、新冠肺炎)疫情未歇,中央...
2020/02/18 11:41
為了搶消毒液 少女持刀砍老婦、女童
武漢肺炎(COVID-19,2019新型冠狀病毒)疫...
2020/02/13 23:53
金門警友顧問團贈消毒液 護執勤安全
金門縣警察局金湖分局警友顧問團,體恤員警投入協助防範...
2020/02/13 15:49
買嘸免驚 醫師教DIY 75%酒精
隨「武漢肺炎」而起的民生現象一波接著一波,除了近日的...
2020/02/03 20:21
女用這液給媽去腳氣!結果害恐需截趾
大陸湖北武漢一位李姓婦人因罹患香港腳,不料日前她女兒...
2018/06/24 20:30
最新圖輯
更多
初孟軒、鍾岳軒專訪
龍千玉與翁立友領豪記唱片群星拜年
Rain鄭智薰小巨蛋演唱會
金在中演唱會
羅志祥30周年演唱會
凱琳專訪
黃鐙輝、吳念軒、黃騰浩專訪
第62屆金馬獎得獎後台
第62屆金馬獎紅毯
劉書宏專訪
今日頭條
1
保安宮國運籤!歲君籤示警:準備好才前進
2
大甲鎮瀾宮頭香出爐!他側門竄出奪得
3
賴清德除夕夜赴法鼓山撞鐘!為國人祈願
4
紅包發不出去 LINE Pay除夕大當機
5
返鄉悲劇!22歲女「開車暴衝」撞死82歲嬤
6
除夕夜不平靜!彰化某製鞋工廠陷火海
7
大樂透1.09億頭獎一注獨得 獎落這縣市
8
單親媽淚眼求助!兒遭拐往緬甸生死未卜
9
初一國道恐塞爆 「12大地雷路段」出爐
10
賈永婕聯繫田秋堇 通話30分:緣分遲了5年
HOT焦點
更多
WE ARE我們的除夕夜 跨世代卡司陪觀眾
搶攻過年連假觀光商機 樂園優惠大戰開打
星城Online攜手《戲說台灣》拍創意單元劇
頻道推薦
直播✦活動
三立新聞網
為了提供更好的閱讀內容,我們使用相關網站技術來改善使用者體驗,也尊重用戶的隱私權,特別提出聲明。
了解最新隱私權聲明
知道了