APP下載
活動
爆料
圖輯
AI爆報
追蹤新聞
4
晉級關鍵!WBC台韓大戰
台灣彩券開獎直播中
三立iNEWS新聞台線上直播
LIVE三立+24小時直播
即時
WBC經典賽
美以突襲伊朗
新聞
熱門
政治
社會
娛樂
生活
新奇
健康
國際
兩岸
運動
財經
房產
旅遊
科技
汽車
遊戲
ESG
影音
總覽
政論
節目
熱搜
直播
iNEWS
專題
總覽
特企
專頁
大事件
彩券
專欄
民調
快訊
臺大校園徵才博覽會登場 新新金大舉徵才
19:00
蔡阿嘎穿韓國隊服發功 蔡其昌現身讚一句
12:27
古林4局留得點圈退場 韓國1:1追平台灣
12:26
日本巨星夫妻檔WBC同框!龜梨和也入鏡
12:25
嘉義燈會單日吸200萬人 睡魔、媽祖同台
12:25
李多慧朝聖WBC台韓大戰 支持哪隊表態了
12:24
《天龍八部》港星路邊吃便當 70歲近況曝
12:20
作家:川普這場仗,帳單直接寄給伊朗央行
12:14
曾窮到站ATM前落淚!男星翻身連開3間店
12:10
柳賢振對台灣3局就用50球 失1分退場休息
12:08
狂吃蔬菜仍便秘 專家揭「加1物」秒順暢
12:07
卓榮泰現身東京 她曝一定有會見日本政要
12:03
陳光復會睜眼手腳有反應2女兒留停照顧
12:03
賴清德赴板橋參香許願 不忘為台灣隊加油
12:03
台中「水溝蓋玉米」店家2度道歉改名
12:02
獨/國外代孕流程揭密 頻觸違法底線
12:00
士兵邊坡翻車亡!空軍:協助處理喪葬事宜
11:59
36將領遭拔官!中共兩會狂傳紙條惹議?
11:53
惡狼大喊想3P!國中妹遭侵犯買驗孕棒崩潰
11:47
川普「秒殺」道歉善意!伊朗轟杜拜釀1死
11:45
台灣彩券開獎直播中
20:31
晉級關鍵!WBC台韓大戰
10:35
百億富四代「電影級」求婚!
18:30
完全營養早晚打底!挺台灣隊攻克聖稜線
11:00
員工訓練再升級!愛妮雅:謙卑改革
11:00
「台八男神」龍語申「肌」情預告!
17:00
純喫茶X《傳說對決》限時虛寶登場!
10:00
賓果賓果鬧元宵 大樂透、今彩539續加碼
12:00
開工打造好運勢 小人退散能量水晶迎貴人
12:00
祥獅獻瑞迎開工!愛妮雅集團新年藍圖首曝
17:00
瘦身急救章 一秒塑身穿上小號緊身洋裝
11:00
初九天公生 松山奉天宮備平安麵共享
16:00
捷運七張站走路2分鐘 友座明明德機能到位
15:00
開學換機酷澎火箭速配隔日到貨
10:00
企業暖心故事 一份工作撐起整個家
13:00
Xtars人氣直播主大揭密 鏡頭下的甘苦
13:00
土城永福岩清水祖師廟擲筊大賽 頭獎百萬
12:00
初一金山財神廟湧人潮 聯名蛋捲禮盒喜氣
11:00
「星城Online x戲說台灣」單元劇引爆話題
12:00
首頁
關鍵字
支氣管
支氣管
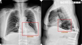
男吐血!醫自肺取出他小學遺失的「這物」
大陸24歲男子小林(化名)近日因深夜聚餐飲酒後出現劇...
2026/01/19 07:21
冬天喘不過氣?醫曝:恐是哮喘失控警訊
冬季氣溫下降,不少民眾出現呼吸不順、容易喘的情況。醫...
2026/01/15 10:11
醫曝「氣喘藥」退出台灣!藥廠:全球停產
有醫師今(24)日揭露「Berodual®備喘全和B...
2025/12/24 18:26
年死5.4萬人! 「奪命癌王」是它
衛福部今(16)日公布113年十大死因統計,癌症連續...
2025/06/16 16:51
他咳2年以為肺癌!就醫驚見辣椒卡支氣管
身體若是有一點不適,就應該盡速就醫,以免錯過最佳的治...
2025/04/14 15:31
大S流感逝!「1行程」釀禍:大家要避免
大S春節赴日旅遊因流感併發肺炎過世,網傳接待大S一家...
2025/02/04 14:05
10歲女童咳不停!CT顯示卡「這異物」
小孩好奇心旺盛的時候,父母總是擔心磕到碰到。日前,就...
2025/01/13 00:00
她生病在台500元治好 在美「1天價」無效
台灣醫療服務的性價比極高!胸腔內科醫師蘇一峰表示,一...
2025/01/10 10:18
假牙掉支氣管卡住!59歲男發高燒住進ICU
彰化一名59歲許姓男子,因車禍臥床20年,在民間護理...
2024/11/21 15:47
男高燒送急診!支氣管藏假牙 卡1周才發現
59歲的許姓男子車禍臥床20年,安置在民間的護理之家...
2024/11/21 11:53
專訪/一次演3舞台劇!方宥心病倒仍苦撐
藝人方宥心從童星出身,出道超過30年,去年與演員王為...
2024/09/03 08:00
睡一半「蟲爬鼻孔」 照X光嚇:蟑螂躲3天
一名男子到醫院求診,自述數天前睡到半夜感覺有蟲子爬進...
2024/08/31 07:09
咳嗽還伴有呼吸困難 原來是氣喘急性發作
從事科技業的李小姐,從小就有氣喘病史,今年2月確診後...
2024/05/28 10:33
老婦喉嚨卡卡!一驗竟是「痰塞滿支氣管」
58歲簡阿姨從不抽菸,前幾個月卻突然久咳不停,痰液濃...
2024/04/26 10:04
酒駕遭罰3.75萬!駕駛帶1證物法官秒撤銷
使用藥物竟然也會被測出酒駕?!苗栗一名陳姓男子被警方...
2024/01/13 13:05
假牙少一顆竟卡在支氣管!嚴重恐釀肺塌陷
一名70歲患有巴金森氏症且長期臥床的李伯伯,因肺炎於...
2023/07/03 15:10
陳子玄高燒咳出綠痰 曝慘況:病到快往生
八點檔女神陳子玄演過多部三立台劇,除了熱衷拍戲之外,...
2023/03/29 05:46
最多國人感染的「魔王株」是它 佔67%
目前每天約有1萬人感染新冠,指揮中心今(2)公布最多...
2023/03/02 14:13
肚臍原來有穴位常按就有效 有3種養生法
講到中醫,許多人會連想到喝中草藥,但其實中醫還有很多...
2023/03/02 07:00
台中婦咳5年胸悶暴瘦 肺部驚見爆漿香腸
台中一名63歲謝姓婦人,近5年一直都有慢性咳嗽病史,...
2023/02/10 16:50
塵肺症結石鑿穿食道 醫示警:嚴重恐換肺
國內出現因為塵肺症讓氣管、食道被結石「鑿洞」的個案,...
2022/11/03 17:22
咳嗽竟噴出石頭 男子食道被結石「鑿洞」
一名60多歲男性,從事石雕工作達20~30年,長期有...
2022/11/03 17:03
什麼都往嘴塞!女嬰異物卡支氣管險死
花蓮11個月大女嬰因正值口腔期,什麼都往嘴裡塞,吞下...
2022/06/21 16:42
誤食急救成植物人 醫師:避整顆堅果
成人如果不小心誤吞魚刺、雞骨一定要小心的取出,但如果...
2021/12/25 11:25
陳子玄凌晨掛急診 難受:懷疑人生
陳子玄在三立八點檔《天之驕女》飾演韓瑜與黃少祺女兒「...
2021/11/20 15:43
老翁咳嗽9年突病重 醫:禍源竟是這
大陸一名67歲的老翁近9年反覆咳嗽,雖然症狀不算太嚴...
2021/11/11 17:24
婦被這根卡住 結果慘狂咳嗽咳一年多
「我出運啊!」78歲的陳姓婦人一年多前不知何故開始劇...
2021/04/07 13:59
台中男童肺浸潤犯氣喘 竟是老爸害的
台中一位10歲男童,已經停藥一年最近卻突然氣喘又發作...
2020/05/28 16:45
養出致命黴菌!小心家裡這「3角落」
天氣變化大,忽冷忽熱加上下雨濕氣重,家裡潮濕都有黴菌...
2020/05/03 10:03
吃羊肉爐咳出鮮血 醫曝這時機忌進補
南投一名年約60歲婦女,想說近日天氣涼冷,煮了一鍋羊...
2020/01/23 09:11
最新圖輯
更多
初孟軒、鍾岳軒專訪
龍千玉與翁立友領豪記唱片群星拜年
Rain鄭智薰小巨蛋演唱會
金在中演唱會
羅志祥30周年演唱會
凱琳專訪
黃鐙輝、吳念軒、黃騰浩專訪
第62屆金馬獎得獎後台
第62屆金馬獎紅毯
劉書宏專訪
今日頭條
1
古林4局留得點圈退場 韓國1:1追平台灣
2
赴日觀賽遭藍營批公器私用 卓榮泰回應了
3
3滯巴林國人返台!外交部助1中國人離境
4
士兵邊坡翻車亡!空軍:協助處理喪葬事宜
5
獨/卵巢早衰海外求子 淪肥羊盼法令完備
6
2波冷氣團襲台急凍14度 雨最猛時間出爐
7
蘇巧慧勤打陸戰!賴、蕭連番站台助攻新北
8
「4兆男」黃仁勳加薪!1.2億天價獎金曝光
9
日媒報卓榮泰赴日「中恐抗議」 日網嗆爆
10
已葬2魂…台積電嘉義廠「再傳3人斷手腳」
HOT焦點
更多
「台八男神」龍語申「肌」情預告!
純喫茶X《傳說對決》限時虛寶登場!
開工打造好運勢 小人退散能量水晶迎貴人
頻道推薦
直播✦活動
三立新聞網
為了提供更好的閱讀內容,我們使用相關網站技術來改善使用者體驗,也尊重用戶的隱私權,特別提出聲明。
了解最新隱私權聲明
知道了