APP下載
活動
爆料
圖輯
阿立導讀
追蹤新聞
4
大甲媽祖遶境進香 現場最新情
台灣彩券開獎直播中
三立iNEWS新聞台線上直播
LIVE三立+24小時直播
即時
白沙屯進香
美伊停火
新聞
熱門
政治
社會
娛樂
生活
新奇
健康
國際
兩岸
運動
財經
房產
旅遊
科技
汽車
遊戲
ESG
影音
總覽
政論
節目
熱搜
直播
iNEWS
專題
總覽
特企
專頁
大事件
彩券
專欄
民調
快訊
「走路+做1事」增肌、抗發炎 多燒3倍熱量
19:43
薄如蟬翼能透光!連鎖火鍋肉片超薄引熱議
19:41
新/辣椒水釀禍!分局長拔官調職准了
19:36
水氣、高溫將至!這天全台雷雨 恐熱濕3天
19:32
獨/吊車大王追媽祖「慘變人形立牌」寵粉
19:31
商總挺中共涉台措施 陸委會列4點回應了
19:25
崩潰!中寮隧道連環撞 回堵3公里
19:23
賴總統要他健檢 前經長郭智輝:救我一命
19:21
才挨轟割韭菜 TFBOYS公司慘遭雷劈畫面曝
19:15
54歲梁家榕淡出八點檔 自爆患先天罕病
19:15
劉芩妤扯分局長噴辣椒水是青鳥 慘被打臉
19:11
大甲媽格鬥盃弄斷警鼻樑 又2嫌遭聲押禁見
19:07
要選了!黃捷明登記參選高市黨部主委
19:04
中方封殺沒用!台農產成功脫中 美日買爆
19:01
66歲孫德榮突出事了 急診續命病況曝光
19:00
稱潑柯辣椒水是政治攻擊大翻車 她道歉了
18:56
遭陳沂狠酸「祖先邏輯」 江柏樂首回應了
18:50
大甲媽遶境!OPPO Find X9 U實拍照首曝光
18:50
陳冠希蓄鬍滄桑近況嚇壞網:精氣神全無
18:45
分局長噴辣椒水 四叉貓疑:查三天太好笑
18:39
台灣彩券開獎直播中
20:31
大甲媽祖遶境進香 現場最新情
08:33
日本青森規模7.5強震!
17:36
星城Online祈福相伴 好運紅包錦囊超吸睛
13:00
臺東女路走讀山海 私房菜說生命故事
12:00
嬰幼兒呼吸道殺手!醫曝RSV預防新里程
10:30
面試找到歸屬感 李唐成為中信傑出經紀人
12:00
五月雪美不勝收 桃園桐花祭13處賞桐秘境
21:00
進香免煩漏!來復易讓長輩不怕找廁所
18:30
台灣狼現身白沙屯進香!送出限量結緣商品
18:00
護理師變房仲菁英 中信房屋黃盺妮勇跨界
12:00
酷澎跨境入手BP聯名 還有PS5星空
11:00
首頁
關鍵字
乳牙
乳牙
他吃蒸魚超怕加1物 網認同:牙咬到裂掉
蒸魚或蒸蛋時經常會加入破布子(又稱樹子)提味。一名網...
2025/02/02 07:11
澳洲1地10歲童犯罪「最慘關10年」惹議
澳洲有多個地區刑事責任年齡為10歲,北領地一度把刑事...
2024/11/12 00:33
陳玉珍牙齒早就斷!綠委酸:進擊的巨人?
立法院財政委員會6日審查《財劃法》修正法案,國民黨召...
2024/11/07 13:50
女團成員錄影一半「吐帶血牙齒」她急遮嘴
南韓女團UNIS限定組合於今年3月正式出道,近期推出...
2024/10/30 13:10
拔2顆乳牙...5歲男童手術中「沒了心跳」
烏克蘭有名5歲的男童韋萊斯(Veles)在診所進行拔...
2024/02/08 16:43
童6顆蛀牙診所報11萬 找老牙醫100元搞定
不少幼童無法正確清潔牙齒,這時若父母沒有特別注意,難...
2023/01/10 01:05
林依晨意外洩女兒正臉 網驚喜:太萌
被粉絲封為「晨神」的林依晨事業、愛情兩得意,現在更是...
2022/08/23 21:26
母給3歲童「戴牙套」矯正乳牙 引轟
整齊的牙齒不僅美觀,也能讓孩子刷牙更容易清潔,減少蛀...
2022/08/08 06:45
林依晨首曝女兒正臉照 報喜長乳牙了
「零負評女神」林依晨和老公林于超結婚多年,去年10月...
2022/05/09 05:58
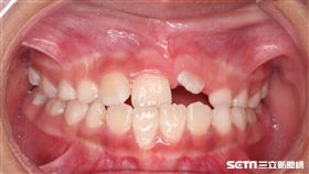
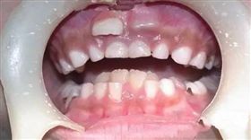
四歲娃乳牙蛀光光 牙醫師曝關鍵錯誤
【NOW健康 陳如頤/新北報導】4歲的夢夢經常因拉肚...
2022/04/27 16:41
女兒被婆婆狂嫌罵妖怪 她淪生產工具
婆媳問題一直以來都是難解的問題。近日一名女網友表示,...
2022/01/05 23:12
診所推「5顆乳牙換神秘禮物」網羨炸
看牙醫是不少小朋友的惡夢,不過一名女網友日前到台中一...
2021/03/30 19:16
爸媽看過來 奶嘴吃太多後果很嚴重!
小孩哭鬧時,很多爸媽都會塞奶嘴安撫。甚至寶寶睡覺時,...
2020/05/21 15:34
牙醫擅拔兒乳牙!爸怒:說好只補起來
一名單親爸上網控訴,他日前帶小一兒子去新莊某牙科診所...
2019/09/28 16:03
男童一笑驚現缺2顆牙!花2年拉出來
一名9歲伍姓女童,兩顆大門牙乳牙自6歲左右掉落後,有...
2019/06/28 11:02
童喝夜奶滿口爛牙!醫縫18血洞嚇傻
泰國一名醫師透露,日前幫4歲孩童看診時,發現對方整口...
2019/04/10 21:20
他出動特斯拉幫女兒「拔牙」 引網怒
以前台灣還沒健保時,當小孩乳牙鬆動,老一輩的人就會用...
2019/03/31 20:00
鸚鵡醫生三秒拔牙 小女孩狂讚幹得好
對各種動物來說,所有與醫生的任何互動都很痛苦,尤其是...
2018/05/20 22:17
孩感冒後講話變大聲 恐聽力損失徵兆
「學齡前兒童整合性社區篩檢」3月5日全面啟動。台北市...
2018/03/08 06:32
奇葩爸自創妙招 扔橄欖球幫兒子拔牙
相信對很多人來說,找牙醫拔牙絕對是超恐懼的童年回憶,...
2017/09/26 18:16
怕掉牙齒就會長大 萌童:我要當小孩
掉牙齒是每個小孩在成長的過程中一定會碰到的事情,但國...
2017/08/24 18:36
童20顆牙蛀光光 險得蜂窩性組織炎
一名3歲男童,每晚都要含奶瓶睡覺,更沒有潔牙的習慣,...
2017/04/11 18:00
家長沒注意!8歲男童長出「雙排牙」
從乳牙到恆齒,「換牙」是每個人幼年必經的人生階段,換...
2016/11/28 11:28
加氟食鹽上市了!可望降低3成蛀牙率
為了降低全民齲齒(俗稱蛀牙)率,衛生福利部在今年推出...
2016/11/03 12:11
超亮白牙攏係假!醫:牙齒略黃才健康
偶像明星燦爛一笑,露出一口潔白的牙齒,讓許多人心生羨...
2016/09/19 18:06
飛行員爸出奇招 開直升機幫兒子拔牙
殺雞用牛刀?機師老爸竟出動直升機幫小孩拔牙。美國維吉...
2016/05/31 13:04
史上最強拔牙!女孩用弓箭將乳牙射出
「拔牙」在每個人童年的悲慘回憶中,或多或少都占有一席...
2015/07/11 16:26
有練過的 「車子牙醫」帥氣拔乳牙
小朋友要換牙時,最害怕的莫過於乳牙卡在牙齦間掉不下來...
2015/04/13 16:47
怒控牙醫拔錯牙 家長上門要醫師道歉
台中大甲區一名家長,帶著小孩到牙科診所拔乳牙,拔完回...
2013/12/01 21:07
最新圖輯
更多
劉冠廷專訪
林予晞、王真琳專訪
李雪、陳昱廷專訪
初孟軒、鍾岳軒專訪
龍千玉與翁立友領豪記唱片群星拜年
Rain鄭智薰小巨蛋演唱會
金在中演唱會
羅志祥30周年演唱會
凱琳專訪
黃鐙輝、吳念軒、黃騰浩專訪
今日頭條
1
新/辣椒水釀禍!分局長拔官調職准了
2
商總挺中共涉台措施 陸委會列4點回應了
3
賴總統要他健檢 前經長郭智輝:救我一命
4
新/日本7.5強震 百名台人受影響?現況曝
5
分局長誤噴辣椒水遭拔官 警界曝私下為人
6
黑白切少東替小弟出氣遭斷筋 恐終身殘廢
7
獨/吊車大王追媽祖「慘變人形立牌」寵粉
8
《陽光》進軍中國爭議延燒 導演首發聲了
9
大油輪載百萬救命油急奔台灣!估這時到達
10
新/20億錯帳一肩扛起!台新證誠意致歉
HOT焦點
更多
臺東女路走讀山海 私房菜說生命故事
JINS毛孩音樂市集吸萬人!開心野餐超療癒
白沙屯媽祖進香盛事 考驗後勤供餐真功夫
頻道推薦
直播✦活動
三立新聞網
為了提供更好的閱讀內容,我們使用相關網站技術來改善使用者體驗,也尊重用戶的隱私權,特別提出聲明。
了解最新隱私權聲明
知道了