APP下載
活動
爆料
圖輯
AI爆報
追蹤新聞
3
台灣彩券開獎直播中
三立iNEWS新聞台線上直播
LIVE三立+24小時直播
即時
非洲豬瘟侵台
輝達進駐台北
新聞
熱門
政治
社會
娛樂
生活
新奇
健康
國際
兩岸
運動
財經
房產
旅遊
科技
汽車
遊戲
ESG
影音
總覽
政論
節目
熱搜
直播
iNEWS
專題
總覽
特企
專頁
大事件
彩券
專欄
民調
快訊
Kuga限時優惠 83.9萬開回家
00:30
粿粿家人洗白狂PO文 網抓包千元買網軍
00:14
獨/桃子應援籃球不矜持 她說自己壞掉了
23:58
APEC代表林信義 產業外交讓世界看見台灣
23:58
粿粿美國行機票誰買單?「家人」曝真相
23:46
10月台股飆漲2412點 這2檔助攻指數寫高
23:38
出戰打耳光賽!中國功夫大師3掌昏迷濺血
23:21
擁2100萬、月領5萬退休俸!他半年卻崩潰
23:15
外帶「牛肉堡」到影城遭拒 消保官說話了
23:05
卡尼為雷根廣告致歉 川普仍拒重啟談判
23:00
理想混蛋攻蛋「狂燒4250萬」雞丁可沛噴淚
22:52
AI耗電商機大!格斯科技切入儲能百億市場
22:47
「乖乖」限定新口味!2千人排隊搶翻
22:43
高院重審割國旗案 法官斥:呷碗內洗碗外
22:43
台師大撤銷周台英博士學位
22:31
上海迪士尼直飲台淪「洗屁區」:不敢喝了
22:28
現金入袋!野村00980A配息最後上車廣播
22:26
被川普逗樂!習近平「眼睛笑成一條線」
22:14
才奪金4個月!金曲歌王自爆「弄斷獎座」
22:13
10億投資不手軟!大聯大瞄準半導體後勤
22:06
台灣彩券開獎直播中
20:31
台灣大日月潭花火音樂會吸3.5萬人齊聚
22:00
外送專法受矚 三大平台籲政府加強溝通
14:00
有酷澎WOW會員 毛孩照顧更輕鬆
11:00
維生素B群功效與補充全解析!
14:00
日本熱銷4億包!糖脂對策 隨餐1包纖維粉
12:00
酷澎雙11狂購祭 美國保健品限時五折
11:00
八里國際化成形!港灣特區陸海空黃金三角
11:00
13聖杯!桃園護國宮爐主淚:太子爺早暗示
19:40
首頁
關鍵字
避孕器
避孕器
寶寶手握避孕器出生?名醫戳真相:擺拍啦
巴西戈亞斯州奈羅波利斯(Neropolis)一間醫院...
2025/10/06 09:59
逼格陵蘭婦女節育黑歷史 丹麥首相道歉了
過去丹麥政府曾針對格陵蘭女性執行強制節育,在1966...
2025/09/25 20:36
被前男友嫌髒 女星認了遭精神操控狂墮胎
40歲英國歌手莉莉艾倫(Lily Allen)近日在...
2025/07/30 07:32
自爆子宮一團混亂 女星認了曾墮胎N次
英國知名歌手莉莉艾倫(Lily Allen)近日在自...
2025/07/05 14:36
葛萊美女星全裸拍片 骨盆X光當專輯封面
葛萊美肯定紐西蘭才女蘿兒(Lorde)推出睽違 4 ...
2025/06/27 14:37
林采緹認了不愛男友戴套!砸萬元裝避孕器
性感女星林采緹與小兩歲男友穩定交往約3年,感情甜蜜如...
2025/05/22 16:48
離婚5年!林采緹現蹤婦產科 做1決定驚呆
女星林采緹有著魔鬼身材、漂亮臉蛋,過去因為打扮動漫角...
2025/05/21 14:49
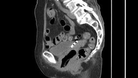
嚇!五旬婦腹痛不止 竟是避孕器穿透子宮
55歲的張女士日前因腹痛1個多月,本以為是腸胃症狀,...
2024/01/13 06:34
31歲女避孕器失蹤!就醫才知已穿出子宮外
台中市31歲女子安裝避孕器1年多,最近她計劃準備懷孕...
2023/10/11 10:57
母送這一物當入學禮 新生妹驚呆網友狂讚
近日1名女網友在《Dcard》發文,指出她與母親就像...
2023/08/31 23:56
讀大學前夕!媽媽送她「避孕器」當開學禮
我媽真的是世界最酷的媽媽!一名準大學生透露,她與媽媽...
2023/08/31 11:09
凱道都行走避孕器?王婉諭重裝上陣再開轟
館長與黃國昌16日在凱道舉辦「公平正義救台灣」遊行,...
2023/07/19 15:40
女腹痛求診 電腦斷層一照1物穿破子宮
嘉義一名6旬婦人因為下腹疼痛前往醫院就診,經檢查發現...
2023/05/16 16:56
寶寶手握避孕器出生!媽苦笑:護士全來看
美國愛達荷州20歲人妻奎克(Violet Quick...
2023/02/07 23:52
封肚拒拚第三胎 Hold住姊認:已裝避孕器
Hold住姊謝依霖產後復出接下《來吧營業中》第二季跟...
2022/11/30 13:50
女優月經來怎麼肉搏?吳夢夢揭秘辛
成人產業日益盛行,其中吳夢夢從事AV女演員多年時間,...
2022/08/02 15:59
媳帶婆婆看婦產科解避孕器 結局讚翻
普遍印象都會覺得婆媳關係多少比較緊張和隔閡的,但近日...
2022/07/20 12:02
超速罰單揪婚外情 小三墮胎正宮崩潰
台北市1名人妻小萱(化名)結婚,某日收到丈夫阿豪(化...
2022/07/18 17:43
42歲婦懷孕 醫:寶寶踢掉避孕器
真的是「生命會找到自己的出路」。一名裝有避孕器10年...
2022/06/12 06:45
蕾菈甜蜜再婚想拆避孕器 痛苦過程曝
有「小鄧紫棋」之稱的人氣網紅團體「反骨男孩」成員蕾菈...
2022/05/31 09:40
狂啪啪生不出顆蛋 23年真相妻崩潰
大陸湖南一對夫妻在開放可以生第二胎,一直積極「造人」...
2022/01/24 07:20
7寶情侶為1百萬!拔避孕器生孩子賣
雲林一對同居情侶經濟能力不佳,卻生了7個孩子,一65...
2022/01/13 16:33
高中女腹痛急診 照超音波驚見避孕器
台灣孩子性觀念越來越開放,少男少女初體驗年齡下修。日...
2021/10/13 09:57
天后被強裝避孕器 洩好消息半裸慶祝
西洋天后小甜甜布蘭妮(Britney Spears)...
2021/08/13 14:38
天后上空捧渾圓胸 背後目的網淚崩
西洋天后小甜甜布蘭妮(Britney Spears)...
2021/07/25 11:22
天后被強制裝避孕器 控惡父殘忍行徑
西洋天后小甜甜布蘭妮(Britney Spears)...
2021/06/25 09:10
尪拒結紮狂啪 她怨嘆19歲連生9胎
台灣因低薪、高房價等因素,造成不少夫妻不敢結婚生子,...
2021/05/13 15:45
男結紮妻偷裝避孕器 結局讓網友譙翻
一名男網友在臉書社團「爆廢1公社」PO文,表示自己已...
2021/03/24 09:44
狂啪啪生不出顆蛋 23年真相妻崩潰
大陸湖南一對夫妻在開放可以生第二胎,一直積極「造人」...
2020/11/16 13:51
狂啪啪仍生不出2胎 23年後真相曝
想生第2胎,卻怎麼努力都沒結果,是怎麼回事?大陸湖南...
2020/11/15 15:02
最新圖輯
更多
劉書宏專訪
袁澧林、陳孝萱專訪
第36屆金曲獎星光大道
第36屆金曲獎得獎圖輯
NMIXX林口體育館粉絲演唱會
KISS OF LIFE台北演唱會
林芯儀專訪
GYUBIN大巨蛋開球
陳謙文專訪
孫麥傑專訪
今日頭條
1
APEC代表林信義 產業外交讓世界看見台灣
2
海鷗颱風生成 影響台灣?氣象局給答案了
3
岡山晚會湧3萬人!林岱樺淚求鄉親討公道
4
國民黨全代會留大禮 成功高中驚見整桶菸
5
范姜再開戰控粿粿說謊 怒嗆:留點口德吧
6
台師大撤銷周台英博士學位
7
全國養豬場全陰性!11/7有望解禁宰令
8
50多刀砍死86歲母親 彰化逆子收押
9
新制上路!想在台定居「須放棄中國護照」
10
GD自爆感情狀態 親揭BIGBANG回歸計畫
HOT焦點
更多
轉大人文化節 提倡全齡健康管理從小做起
酷澎雙11狂購祭 美國保健品限時五折
八里國際化成形!港灣特區陸海空黃金三角
頻道推薦
直播✦活動
三立新聞網
為了提供更好的閱讀內容,我們使用相關網站技術來改善使用者體驗,也尊重用戶的隱私權,特別提出聲明。
了解最新隱私權聲明
知道了