快訊
聽新聞
0:00 0:00

全身骨折碎如拼圖!70歲婦遭車撞奇蹟重生 醫見她眼神淚崩:只想活下去

記者鄭玉如/台北報導

一名70歲黃婦車禍重傷,肋骨斷21處、歷經7次手術,仍堅強求生,「我想活下去」的意志感動醫護,奇蹟重生。(圖/衛福部彰化醫院提供)
一名70歲黃婦車禍重傷,肋骨斷21處、歷經7次手術,仍堅強求生,「我想活下去」的意志感動醫護,奇蹟重生。(圖/衛福部彰化醫院提供)

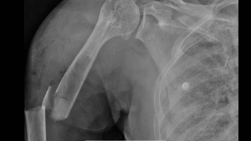
一名70歲黃姓婦人9月初車禍重傷,隨即被送往衛福部彰化醫院,全身骨頭斷得支離破碎,光是肋骨就斷了21處,破碎的骨頭如同散落的拼圖,血壓驟降,歷經3科醫師共7次手術。過程中黃婦始終堅強面對,展現出「我想活下去」的力量,讓醫護們動容,為她拚命,從鬼門關裡被搶救出來。

黃婦事發當天做完太空包的工作後,騎機車返家途中,遭一輛小貨車撞上,緊急被送往彰化醫院急診,全身都是傷,右上臂開放性骨折、右側血胸,右鎖骨、肱骨、橈骨、第3至5掌骨、骨盆、脛骨、腓骨,及第6至9節胸椎、胸骨、2側多處肋骨皆出現骨折。由於血壓持續下降,最低僅62/28 mmHg,因多重創傷與血胸,彰化醫院立即啟動創傷小組,並送入加護病房。

黃婦騎車返家遭小貨車撞,全身多處骨折,光是肋骨就斷了21處,傷勢相當嚴重,緊急送往彰化醫院搶救。(圖/衛福部彰化醫院提供)
黃婦騎車返家遭小貨車撞,全身多處骨折,光是肋骨就斷了21處,傷勢相當嚴重,緊急送往彰化醫院搶救。(圖/衛福部彰化醫院提供)

胸腔外科主任林聿騰表示,黃婦光肋骨就斷了21處,血胸、氣胸及胸廓變形,造成嚴重錯位的「連枷胸」,也就是相鄰3根以上的肋骨骨折,恐引發肺炎、呼吸衰竭等併發症,準備開胸手術時,出現延遲性小腸破裂,指的是小腸並未在第一時間破裂,只得緊急穩住病人呼吸,請外科醫師先進行小腸部分切除手術,再進行胸腔手術。

骨科醫師陳柏辰形容,黃婦破碎的骨頭如同散落的拼圖,儘管傷勢嚴重,但她在加護病房仍保持清醒,咬著呼吸管以眼神傳達求生意志,令人動容。(圖/衛福部彰化醫院提供)
骨科醫師陳柏辰形容,黃婦破碎的骨頭如同散落的拼圖,儘管傷勢嚴重,但她在加護病房仍保持清醒,咬著呼吸管以眼神傳達求生意志,令人動容。(圖/衛福部彰化醫院提供)

林聿騰指出,整個變形的胸腔透過3D胸廓重組影像定位後進行微創手術,以鈦合金骨板及骨釘進行肋骨固定,穩定整個胸腔,讓患者可以正常呼吸,再交由骨科手術。

骨科醫師陳柏辰提到,黃婦破碎的骨頭如同散落的拼圖,團隊們一次次在手術台上,細心地將每一塊骨頭拼回原位並固定。令人動容的是,黃婦一直很堅毅,即使在加護病房仍保持清醒,咬著呼吸管、全身動彈不得,卻依然努力睜開眼睛,用堅定的目光向他致意。「那雙眼睛裡,充滿了鬥志與希望。她沒有一句抱怨,只有想活下去的力量。」

陳柏辰說,經過漫長的治療與復原,黃婦的病情逐漸穩定,一天比一天有精神,能夠微笑、說話,那份成就與感動,讓他深深覺得,醫療的價值不僅是治癒傷口,更是見證生命再次閃耀的時刻。

#祝你健康

【健康e起聊】難瘦想哭? 高纖、無加糖、低脂一定健康?
大數據推薦
🚨直播搶頭香🚨【2025艋舺青山王祭】艋舺青山宮 170週年|夜巡第一天|寶島神很大online
熱銷商品
頻道推薦
直播✦活動
三立新聞網三立新聞網為了提供更好的閱讀內容,我們使用相關網站技術來改善使用者體驗,也尊重用戶的隱私權,特別提出聲明。
了解最新隱私權聲明