APP下載
活動
爆料
圖輯
阿立導讀
追蹤新聞
4
川普表態 卓榮泰最新回應
台灣彩券開獎直播中
三立iNEWS新聞台線上直播
LIVE三立+24小時直播
即時
川習強權交鋒
九合一點將
新聞
熱門
政治
社會
娛樂
生活
新奇
健康
國際
兩岸
運動
財經
房產
旅遊
科技
汽車
遊戲
ESG永續
影音
總覽
政論
節目
熱搜
直播
iNEWS
專題
總覽
特企
專頁
大事件
彩券
專欄
民調
快訊
IG大秀新發明火箭槍 孫安佐被警拘提到案
09:38
情侶深夜擎天崗野戰慘了?律師揭可能下場
09:35
剛復出又進傷兵名單 史奈爾無限期缺陣
09:30
川習會別太早斷定!日本學者曝3觀察指標
09:26
習近平警告川普!中股大跳水、台股暴漲
09:24
彰化若選輸誰負責?藍議員不忍了直接點名
09:22
淪詐團內鬼台中經理驚人身價曝 撤押遭駁
09:19
黃捷、吳沛憶火辣熱舞片曝光!眾喊快出道
09:15
天價酬勞捐中國被罵翻 蕭薔嘆:蠻難受的
09:10
再點名台灣!川普:不希望有人走向獨立
09:08
透納爆料字母哥耍特權 全隊遲到成常態
09:07
為熊患出奇招!稻草人「怪獸狼」成救星
09:07
Gmail免費儲存空間縮水!官方曝1解決方法
09:01
沈默殺手!腹脹頻尿恐1癌症 4類人高風險
09:00
垃圾風暴8/多管道處理台中垃圾問題
09:00
垃圾風暴7/台中廚餘去化設施跳票
09:00
知名影評家吳孟樵癌逝 她的文字令人動容
09:00
垃圾風暴6/台中廢棄物億元黑洞
09:00
aespa今11點會員優先買 注意事項看這邊
08:59
川習會後軍售變數 中國學者:可能受衝擊
08:59
台灣彩券開獎直播中
20:31
川普表態 卓榮泰最新回應
09:34
重返三大豬病非疫國 跨域合作推產業升級
14:00
台中極限保值區純2房案搶進文心森林公園
12:00
晚期肝癌不受限 口服藥物穩定生活與療效
11:00
中華電信「數位創新應用系列賽」徵件開跑
18:00
愛妮雅攜手真善美 公益市集號召民眾傳愛
16:30
權力遊戲新作!重返維斯特洛奪王座
16:00
寵物用藥陷困境 藥廠與藥局:願當獸醫後盾
12:00
房價僅北士科半價 仁義重劃區預售屋剖析
09:00
首頁
關鍵字
澄清醫院
澄清醫院
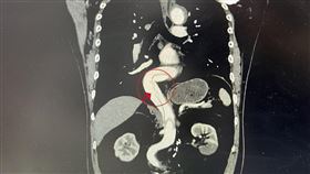
27歲男吃素罹腸癌!醫嘆:愛吃這3物害命
別以為吃素就不會得腸癌!台中澄清醫院中港院區大腸直腸...
2026/03/16 14:56
108kg醉漢暴走!護理師遭打飛 最新傷勢曝
台中澄清醫院21日凌晨驚傳醫療暴力,一名108公斤林...
2026/01/24 08:09
一拳打飛!台中醉男鬧急診 護理師腦震盪
台中澄清醫院中港院區昨發生離譜急診暴力,一名酒後自殘...
2026/01/22 09:20
5藝人肺腺癌病逝 醫曝唯一確定風險因子
《好小子》顏正國罹患肺腺癌病逝,享年50歲,男星汪建...
2025/10/07 20:27
逢甲樹倒壓死碩一生!母見兒最後一面痛哭
台中逢甲大學驚傳大樹倒塌意外,今(13)日下午5時許...
2025/06/13 20:46
澳門7口2死!曾祖母眼睛張不開 重傷轉院
氣爆意外死傷名單,來自澳門的一家7口,四代同堂來台旅...
2025/02/14 10:58
獨/新光三越氣爆釀悲劇 澄清醫啟動333
今(13)日中部最駭人聽聞的消息,莫過於新光三越中港...
2025/02/13 19:35
澳門1家7口「路過」被氣爆炸傷 2死1命危
台中新光三越13日上午11時許,在12樓發生氣爆,整...
2025/02/13 14:50
3症狀恐是肺腺癌 發現就晚期死亡率偏高
56歲汪建民驚傳罹患肺腺癌4期,癌細胞從右肺擴散到頸...
2024/07/03 17:19
台中「女裝男」騎車啃饅頭!慘摔仆街好糗
台中市一名「女子」昨(10)日下午騎機車行經西屯路惠...
2024/06/11 23:00
他被炒魷魚恨10年!闖醫院爆打9醫護遭押
台中澄清醫院驚傳無差別攻擊事件,一名49歲向姓男子之...
2024/05/30 12:23
天冷打噴嚏撕裂血管 主動脈一路裂40公分
台中市1名65歲男子,在戶外工作時因天冷突然打了一個...
2024/03/19 14:38
三陰性乳癌惡性度高 醫師建議做這事
乳癌已是發生率最高的癌症,舉世皆然。根據乳癌細胞荷爾...
2021/08/24 02:40
視力模糊、無力恐多發性硬化症?
易感疲倦無力、麻木、步履不穩,不再是年長者的症狀,在...
2021/05/15 00:00
感冒、空汙咳不停? 肺部驚傳爆裂音
天氣逐漸轉涼,周遭的咳嗽聲此起彼落,不少民眾紛紛至診...
2019/12/09 10:10
血便一年多…她罹直腸癌3期險切肛門
大號出現異常的現象,建議應儘早就醫,否則可能耽誤黃金...
2019/04/08 17:23
台中花博招募志工!她喊話加入衛生組
2018台中世界花博即將來臨,台中市政府積極招募活動...
2018/07/23 22:10
吞嚥困難喝水卡卡…急診才知食道癌末
發現身體不適真的要儘早就醫!台中市有一名45歲女子,...
2018/06/25 17:11
肺癌手單孔胸腔鏡手術 傷口小復原快
日防夜防,空氣難防。只要呼吸,就會曝露在肺癌的危險因...
2018/05/15 11:10
別因副作用抗拒!醫:癌症須積極治療
60歲的張女士因嚴重腹痛就醫檢查,才發現升結腸位置有...
2017/08/09 08:00
肺腺癌治療多元 「副作用」才是關鍵
「吃完藥後我臉部、身上長滿痘子,曬到太陽都隱隱刺痛,...
2017/08/07 22:00
腫瘤小不等於低風險 抗HER2標靶
乳癌患者在確診時,總是難以接受,但如果被告知腫瘤較小...
2015/12/01 08:52
添好運執行長林晉頡 養身醫療有一套
台中澄清醫院第四代,身兼添好運執行長林晉頡,自小出身...
2015/11/26 21:16
最新圖輯
更多
茉ひるMahiru專訪
簡莉紋專訪
大霈專訪
劉冠廷專訪
林予晞、王真琳專訪
李雪、陳昱廷專訪
初孟軒、鍾岳軒專訪
龍千玉與翁立友領豪記唱片群星拜年
Rain鄭智薰小巨蛋演唱會
金在中演唱會
今日頭條
1
川習會後受訪 曝中國武力攻台恐在這時間
2
台灣國寶感冒引發肺炎辭世!享壽80歲
3
再點名台灣!川普:不希望有人走向獨立
4
温嵐敗血性休克!醫揭4徵兆死亡率破60%
5
黃捷、吳沛憶火辣熱舞片曝光!眾喊快出道
6
淪詐團內鬼台中經理驚人身價曝 撤押遭駁
7
舉重金牌許淑淨懷孕了!曬絕美孕照喊3字
8
女員工扮鬼亡!哥淚控幫凶:保護不了妹妹
9
爽領納稅錢?他爆北一女護航區桂芝內幕
10
擎天崗野戰變打卡聖地 驚動保七總隊站崗
HOT焦點
更多
重返三大豬病非疫國 跨域合作推產業升級
全障運5/23登場 首創網路聖火傳遞引關注
搶攻暑假旅遊市場 兩大樂園首合作掀話題
頻道推薦
直播✦活動
三立新聞網
為了提供更好的閱讀內容,我們使用相關網站技術來改善使用者體驗,也尊重用戶的隱私權,特別提出聲明。
了解最新隱私權聲明
知道了