APP下載
活動
爆料
圖輯
AI爆報
追蹤新聞
3
台灣彩券開獎直播中
三立iNEWS新聞台線上直播
LIVE三立+24小時直播
即時
高金遭搜索
台美關稅定案
新聞
熱門
政治
社會
娛樂
生活
新奇
健康
國際
兩岸
運動
財經
房產
旅遊
科技
汽車
遊戲
ESG
影音
總覽
政論
節目
熱搜
直播
iNEWS
專題
總覽
特企
專頁
大事件
彩券
專欄
民調
快訊
竹聯幫大老吳敦告別式 陳楚河代亡父致意
14:17
全恩菲屬馬! 看到有馬的春聯想帶回韓國
14:17
玉里鐵皮屋燒光!7旬翁燒燙傷送醫
14:16
李貞秀怕返中被消失 他引韓國瑜言論開酸
14:15
北捷板南線推「3大新措施」改掉多年問題
14:13
范宗沛心肌梗塞猝逝!愛妻邀喝一杯送別
14:09
陳楚河陪吳敦到火化!哽咽:祂教我很多事
14:08
李貞秀撞臉台灣摔角手?本尊創帳號怒駁了
14:07
辛巴迫不及待想上場 決定不擔心化學效應
14:00
春節兼差賺破萬!兼差族最愛「這1行」
14:00
春節補眠越睡越累?酒精與大餐恐慢性窒息
13:59
烏克蘭戰俘遭俄酷刑!瘦成骷髏頭震驚全球
13:55
《陽光女子》5.45億 她喊:是對母親的愛
13:52
小S小女兒首發絕美新照 吸萬名網友朝聖
13:51
比魚油有效 專家揭這款保健品抗發炎最強
13:49
獨/智利櫻桃遭中國超市下架!台灣賣場回應
13:43
男送鈔票氣球 女友放飛後說這句網酸爆
13:42
9天連假怎丟?2026春節垃圾車懶人包一覽
13:37
江啟臣楊瓊瓔還會吵?憨川:這人恐嚐苦果
13:32
喝到剩最後一罐 日女急找「這款台灣茶」
13:32
台灣彩券開獎直播中
20:31
台彩春節加碼12億元創新高
12:00
大樂透加碼480組100萬元
12:00
大樂透加碼800組10萬元
12:00
WE ARE我們的除夕夜 跨世代卡司陪觀眾
11:00
星城Online攜手《戲說台灣》拍創意單元劇
12:00
MY管管尾牙熱鬧登場 主打福利吸新戰力!
17:45
土城永福岩祖師廟擲筊賽 首獎祭百萬現金
14:50
春節最佳去處!桃園龍德宮成網美打卡點
13:00
以高回饋機制協助家庭資金更有效率運用
16:00
暗黑風格吸血鬼遊戲新作3/11上市!
12:00
幸福企業!愛妮雅集團成員工最強後盾
12:00
永旭保經留才 調整制度拚長期發展
11:30
首頁
關鍵字
國高中
國高中
國高中10點上課遭打槍 網認同:看看中韓
日前有民眾提案,國、高中生上課改為早上10點到校,下...
2025/11/15 10:19
萬人連署「國高中改10點上課」教育部回應
民眾提案希望國高中生改為早上10點上課、下午4點放學...
2025/11/13 17:07
國高中10點上課成案 教團:應從課綱檢討
近日有民眾提案國高中上課延後至上午10時,教團今(1...
2025/09/15 16:36
國高中10點上學連署達門檻!恐暗藏2隱憂
台灣國高中生學習壓力大,每天7、8點上課,若是還要通...
2025/09/15 13:38
國高中改10點上課有望?陳培瑜回應
有民眾在公共政策網路參與平台提案,「將國高中生上課時...
2025/09/15 11:13
北市百所國高中放假4天 國小沒停課惹怨
全國中等學校運動會(全中運)睽違12年回到台北市政府...
2024/04/17 16:18
北市150校下周放假4天!考生可進校自習
記者谷庭/台北報導全國中等學校運動會將於4月20日至...
2024/04/16 22:05
國高中九宮格爭議多 教育部擬取消
今(25)日國內新增近9萬例確診案例,隨著疫情逐漸往...
2022/05/25 20:54
不甩九宮格新制!新北教育局給新規定
新北市國、高中學生快篩陽性就啟動校園自主應變作為,個...
2022/05/10 11:00
停課改3天!校方緊急發快篩給家長
教育部頒布新的停課標準,新制上路後,北市有國小原本舊...
2022/05/08 20:20
國高中恢復實體上課 柯P鼓勵這件事
本土疫情今(28)日破萬,新增1萬1353例,而台北...
2022/04/28 16:10
北市中學遠距首日 酷課雲當機1小時
台北市國、高中今(25)日開始實施線上教學演練,不過...
2022/04/25 17:16
台北人8點上班 見基隆路這1幕驚呆
國內疫情升溫,單日確診已經突破5000例,台北市本週...
2022/04/25 13:33
北市國高中下週改遠距 陳時中:尊重
因應新冠肺炎疫情加劇,台北市政府教育局拍板國高中下週...
2022/04/22 14:54
今年本土近2萬例 這年齡層占近6成
中央流行疫情指揮中心今(22)日公布國內新增3,85...
2022/04/22 14:44
輝瑞口服藥到!陳時中:逾18萬人份
中央流行疫情指揮中心今(22)日表示,為積極因應CO...
2022/04/22 14:16
桃園校園防疫升級 國高中提前放寒假
桃園疫情再擴大,傳染鏈從職場、餐廳延伸到家庭,隨著學...
2022/01/18 22:05
青少年最快月中打BNT 醫籲1關鍵
國高中生最快9月中就可以施打首批BNT疫苗,不過12...
2021/09/03 15:56
國高中上課改9:30?大數據揭吵啥
去(2020)年12月有民眾於「公共政策網路參與平台...
2021/08/16 11:46
國高中改9點半到校?網怒:視訊算了
學生的上課時數經常被討論,有些人認為不必那麼早到學校...
2021/08/13 15:05
補教老師超有愛 洪揚恆錄課程免費看
受到新冠疫情影響,三級警戒以來,全台不少補習班因為無...
2021/07/05 18:59
再增27學生確診 累計246例本土
國內疫情持續延燒,教育部今(29)公布最新統計,全國...
2021/05/29 11:24
高中一天6節課就夠!過來人超慘經驗
近日有民眾在「公共政策網路參與平台」提案「國高中上課...
2020/12/29 22:26
改9點到校影響教學?他嘆:假掰文化
日前有民眾在「公共政策網路參與平台」提案「國高中上課...
2020/12/26 11:42
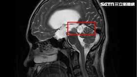
15歲男頭痛昏倒 竟是水腦併中腦腫
15歲男孩因頭痛不適昏倒,被家人緊急送醫,經急診診斷...
2020/09/23 07:34
國高中哪科差最多?網全選這科超挫折
台灣學生課業繁重,尤其自國中升上高中後,各科不論深度...
2020/08/08 17:33
求學記警告人生全毀?網揭畢業後果…
學校就像一個小型社會,對不少人來說,國高中時期的校園...
2020/05/24 16:13
服務時數被狠打2折 師曝一原因瞎爆
一名家長在臉書社團發文投訴,因應國高中對於學生服務時...
2020/03/04 13:16
爸媽快看!國中小高中線上學一覽表
因應武漢肺炎(NCP,2019新型冠狀病毒)疫情蔓延...
2020/02/10 13:00
求學記警告人生毀了?網揭畢業後果…
學校就像一個小型社會,對不少人來說,國高中時期的校園...
2019/07/25 16:46
最新圖輯
更多
Rain鄭智薰小巨蛋演唱會
金在中演唱會
羅志祥30周年演唱會
凱琳專訪
黃鐙輝、吳念軒、黃騰浩專訪
第62屆金馬獎得獎後台
第62屆金馬獎紅毯
劉書宏專訪
袁澧林、陳孝萱專訪
第36屆金曲獎星光大道
今日頭條
1
煙火「落焰」民眾驚逃!高市府生氣了
2
川普分享歧視影片暗指猴子!歐巴馬首回應
3
台灣中油:明日起汽、柴油價格都不調整
4
孫協志婚紗照遭嫌:不好看 攝影師回應了
5
9天連假怎丟?2026春節垃圾車懶人包一覽
6
隔江打盧?粉專:不得不信鄭麗文要選總統
7
除夕雨彈炸9縣市 初一全台涼冷這天放晴
8
他無照騎黃牌重機撞亡…女友報案痛揭噩耗
9
鴻海尾牙/獨家!抽中千萬實拿金額曝光
10
返鄉出遊都卡關 國道9路段塞爆
HOT焦點
更多
新北燈會2/22點燈 15米紅寶馬主燈亮相
春節最佳去處!桃園龍德宮成網美打卡點
以高回饋機制協助家庭資金更有效率運用
頻道推薦
直播✦活動
三立新聞網
為了提供更好的閱讀內容,我們使用相關網站技術來改善使用者體驗,也尊重用戶的隱私權,特別提出聲明。
了解最新隱私權聲明
知道了