APP下載
活動
爆料
圖輯
AI爆報
追蹤新聞
3
台灣彩券開獎直播中
三立iNEWS新聞台線上直播
LIVE三立+24小時直播
即時
黃明志捲命案
太子集團詐騙
新聞
熱門
政治
社會
娛樂
生活
新奇
健康
國際
兩岸
運動
財經
房產
旅遊
科技
汽車
遊戲
ESG
影音
總覽
政論
節目
熱搜
直播
iNEWS
專題
總覽
特企
專頁
大事件
彩券
專欄
民調
快訊
佛堂當提款機!女出納靠109張支票吞4千萬
22:17
竹市棒球場跳票!味全龍擬解約 市府回應
22:10
三寶爸郭富城開唱大驚喜!這首兒歌全嗨翻
22:00
2具飛行傘空中纏繞秒墜山林 業者回應了
21:43
謝侑芯閨密赴大馬遭酸「蹭熱度」怒反擊!
21:41
當車手遭逮 嬤帶身障孫求法官:我養7個
21:39
液體黃金!杜拜咖啡1杯3萬 刷新世界紀錄
21:33
國訓成立49年「首場家庭日」選手家人同樂
21:25
高錦瑋克羅馬合轟50分 雲豹主場收4連勝
21:15
馬斯克想蓋晶圓廠!黃仁勳曝1句:不可能
21:13
UFO盤旋火山口 專家:跨維度大門開啟
21:11
輸36分隊史第2慘 吳永仁:無關技術問題
21:09
台積電特製鞋曝光!魏哲家喊這時間會開賣
21:08
郭富城唱到一半突然催婚!罕聊三寶爸心情
21:08
背負樂天精神交手 金鷲台將登場不敵桃猿
21:02
陪同蕭美琴訪歐!林佳龍:任務順利完成
20:53
獨/南珉貞帶傷應援 李晧禎爆:她腳黑的
20:50
曾沛慈唱到一半太激動!求冷靜一下手發抖
20:41
蕭美琴歐洲議會IPAC演說 藍白也肯定
20:33
ARKis人氣爆發!現身旅展開唱粉絲擠爆
20:31
台灣彩券開獎直播中
20:31
文策院共同投資影視製作 強化台灣創作力
17:00
2025 TCCF圓滿落幕!破萬人參與創下新高
17:00
台中第三季預售王 3案竟包辦全市2成銷量
17:00
空姐「制服救星」熱銷200萬盒成高空新寵
12:30
離島醫療後送升級 噴射機後送爭分奪秒
21:00
近視矯正新科技網紅醫師談EVO ICL
15:00
中信房屋公益月 8場捐血活動傳遞生命希望
10:00
TCCF「集集」旅程啟航 臺韓共創浪漫劇
16:00
最愛小孩!「紗布衣、小橘帽」與孩童結緣
16:00
三高患者健康危機!流感、帶狀疱疹預防
12:00
外送員該是承攬還雇傭?她籲四方都要贏
18:57
首頁
關鍵字
烏日林新醫院
烏日林新醫院
國中開始長胸部!男挺B罩杯當兵超崩潰
台中南屯區一名30歲張先生,從國中青春期開始,胸部就...
2025/11/07 09:24
癮君子檢查無異常 1年4個月後竟肺癌末期
徹底戒菸才是王道!台中一位63歲黃先生老菸槍,每天都...
2025/10/13 08:27
新/成功嶺新兵打靶遭擊!軍方將出面說明
國軍成功嶺營區昨(22)日一名年僅18歲的邵姓義務役...
2025/09/23 14:12
成功嶺新兵遭鄰兵誤擊眼球掉落?軍方回應
台中成功嶺今(22日)下午4時許,機步234旅一名1...
2025/09/22 23:32
乳癌病友最糾結!休養或上班竟藏健康關鍵
台中56歲李小姐確診乳癌後,化療期間十分糾結「到底該...
2025/09/09 09:31
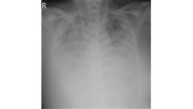
婦頻打破杯盤 竟是肺癌轉移腦作怪
不可輕忽肺癌家族化!台中烏日一名71歲翁姓婦人近期經...
2025/07/06 17:11
23歲移工遭機台斷手指 母子相隔9年再見面
台中太平一名23歲印尼外籍移工阿里,來台3年在傳產工...
2025/05/31 08:43
專攻中年男!食道癌早期無徵兆 醫曝徵兆
蘇品碩醫師表示,臨床上,90%以上食道癌的病人最早發...
2025/03/06 08:40
產婦雙腿發紫險癱瘓 驚險催生自然順產!
許多孕媽咪對催生存在誤解,其實催生並不會增加風險,反...
2025/02/25 09:34
製作人鼻血直流3癌纏身 醫曝:小心5症狀
74歲演唱會資深製作人郭鶴鳴,縱橫演藝圈50年,近來...
2024/12/26 11:11
男性注意!天冷尿不出來?你攝護腺肥大了
台中一位62歲汪先生長期受到頻尿和夜尿的困擾,甚至需...
2024/12/26 10:10
女下腹劇痛、頻繁血尿 6cm子宮肌瘤作怪
子宮肌瘤號稱「婦科第一瘤」,是女性常見婦科疾病。台中...
2024/11/17 18:31
新/機車高速撞廂型車 台中36歲騎士慘亡
台中市大肚區沙田路一段,今(11)日接近中午左右,發...
2024/11/11 13:11
女嬰耳後紅斑藏隱患 誤當胎記險釀大禍
台中大肚1歲徐小妹在1個月大時,耳後突然長出鮮紅色斑...
2024/10/08 09:16
男糞便潛血篩檢陽性 盲腸藏4公分大瘜肉
台中烏日一名73歲羅先生患有三高病史,平常相當注意健...
2024/09/29 16:03
鋪柏油路差點被熱死!男高燒43度意識不清
64歲楊先生從事鏟土機操作員,恰逢感冒又頂著高溫32...
2024/08/27 08:42
男嚴重頭皮潰爛 揪出肺癌標靶治療副作用
肺癌標靶治療副作用要小心!台中一名69歲謝先生,患有...
2024/07/12 08:29
常被狗舔臉!11歲女童「高燒不退+頻尿」
寵物雖是人類的好朋友,仍要慎防人畜共通傳染病!彰化一...
2024/06/27 10:13
45歲男愛吃2物!血管「全堵死」心肌梗塞
發生急性心肌梗塞的族群越來越年輕化!台中一位45歲洪...
2024/06/13 17:35
65歲男後腦長腫瘤禿一塊!醫驚:肺癌末期
南投草屯一名65歲羅姓男子,菸齡超過30年,長期咳嗽...
2024/04/19 12:26
60歲婦冒紅疹全身無力 竟與乳癌復發有關
台中一名60歲黃姓婦人有乳癌家族史,2年前罹患乳癌第...
2024/03/27 16:05
狂吃生魚片解黑便 照胃鏡驚見2CM蟲蠕動
台中市1名51歲劉先生,日前在應酬飯局,猛吃生魚片和...
2024/03/15 16:54
「天選之人」染A流肺全白 裝葉克膜搶命
秋冬季節轉換,病毒肆虐,最近有許多民眾紛紛得到流感掛...
2023/11/10 12:35
產前血壓飆!臉腫大小眼…患重度子癲前症
台中烏日一名37歲產婦曾小姐,本身沒有高血壓病史及家...
2023/08/30 08:33
5歲童莫名肚子痛3年 醫一照:2公分腫塊
小朋友常喊肚子痛,卻找不出原因,很有可能是「疝氣」作...
2023/06/28 13:16
確診女長紅疹以為被蚊子叮 竟是雙重感染
最近新冠肺炎進入到第四波流行期,除了注意是否有上呼吸...
2023/05/24 08:30
小黃運將一開車就喘 檢查竟患肺腺癌末期
台中一名56歲高姓計程車司機,從16歲開始抽菸長達4...
2023/05/12 08:45
工程師爸幫孩洗屁屁 這原因竟腰痛如雷擊
照顧小孩危機四伏!?台中一名35歲蔡姓工程師,幫重達...
2023/04/06 10:20
女暈倒骨髓穿刺竟抽不到血 原來已得罕病
女生常常都會有貧血問題,以為貧血沒有很嚴重,但其實有...
2023/03/30 13:53
女童嘴長紅疹水泡燒3天!醫:不是腸病毒
台中一名4歲徐小妹妹,原本只是嘴角周圍出現搔癢,接著...
2023/02/16 08:43
最新圖輯
更多
劉書宏專訪
袁澧林、陳孝萱專訪
第36屆金曲獎星光大道
第36屆金曲獎得獎圖輯
NMIXX林口體育館粉絲演唱會
KISS OF LIFE台北演唱會
林芯儀專訪
GYUBIN大巨蛋開球
陳謙文專訪
孫麥傑專訪
今日頭條
1
范雲還原蕭美琴演說現場!曝保密背後原因
2
台中男被砍傷下腹!「臟器外露」送醫
3
鳳凰颱風恐變「風王」?巔峰強度曝光
4
大肥鼠忘情狂嗑米腸 鹹酥雞業者回應了
5
鄭麗文喊沒提吳石!現場抓包列「烈士」
6
鳳凰將登陸 下週停班課?北市府回應了
7
國3追撞「車頭掛雙屍」 檢相驗結果出爐
8
守住豬瘟疫情最大功臣 現身還原關鍵瞬間
9
川普擴大移民健審 患慢性病、太胖恐遭拒
10
ITF旅展「百萬刷手」狂現身 加碼活動曝
HOT焦點
更多
2025 TCCF圓滿落幕!破萬人參與創下新高
拚經濟復甦傳產!林岱樺高雄打造護國產業
管碧玲接見駐聯合國常任代表 促區域合作
頻道推薦
直播✦活動
三立新聞網
為了提供更好的閱讀內容,我們使用相關網站技術來改善使用者體驗,也尊重用戶的隱私權,特別提出聲明。
了解最新隱私權聲明
知道了