APP下載
活動
爆料
圖輯
AI爆報
追蹤新聞
3
台灣彩券開獎直播中
三立iNEWS新聞台線上直播
LIVE三立+24小時直播
即時
非洲豬瘟侵台
輝達進駐台北
新聞
熱門
政治
社會
娛樂
生活
新奇
健康
國際
兩岸
運動
財經
房產
旅遊
科技
汽車
遊戲
ESG
影音
總覽
政論
節目
熱搜
直播
iNEWS
專題
總覽
特企
專頁
大事件
彩券
專欄
民調
快訊
強國先強電!電力是AI世紀新石油
23:26
蔡正元:鄭麗文「這事」不改 一堆人落選
23:11
4生肖未來越來越有錢!工作、投資都豐收
23:10
AI基建!大同打造「拎包入住」電力中心
23:10
網紅介紹大同電鍋爆紅 意外熱銷2600台
23:10
豬瘟失控!陳柏惟轟盧秀燕:連豬都管不好
23:07
咖啡廳推「扮女僕侍奉店員」顧客狂搶名額
23:05
輝達想讓你知道 GTC DC 十看點
23:00
坣娜傳不敵「癌王」!名醫曝8高危險群
22:59
半獸人面前轟準雙二十 阿提諾說仍尊敬他
22:49
王子不認破壞家庭!作家怒批1句話
22:42
新/死豬三聯單數字兜不攏 中檢說話了
22:33
傳坣娜胰臟癌逝 中研院揭:癌王元凶是它
22:28
半獸人來台首秀繳出雙十 賽後趕車沒受訪
22:27
白宮證實:川習會週四上午10點登場
22:24
陳漢典閃婚Lulu 王偉忠認證:像個大人了
22:12
新北6旬男路邊「聞香」偷內衣 下場慘了
22:06
昔爆熱戀王子 席惟倫1動作力挺范姜彥豐
22:02
台達電也來了 輸電產業為何賺?
22:00
59歲坣娜驟逝...品冠聞噩耗震驚發聲了
21:53
台灣彩券開獎直播中
20:31
台彩中秋加碼總獎金達4.5億
12:00
大樂透加碼100組100萬元
12:00
7-ELEVENX晶華酒店 新品上市!
17:00
首頁
關鍵字
GLK蛋白激酶
GLK蛋白激酶
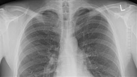
肺癌轉移有解 黃斑部老藥新用抑復發
國人十大癌症死亡率最高的癌症仍是肺癌,連續9年奪冠。...
2019/11/04 11:37
最新圖輯
更多
劉書宏專訪
袁澧林、陳孝萱專訪
第36屆金曲獎星光大道
第36屆金曲獎得獎圖輯
NMIXX林口體育館粉絲演唱會
KISS OF LIFE台北演唱會
林芯儀專訪
GYUBIN大巨蛋開球
陳謙文專訪
孫麥傑專訪
今日頭條
1
新/死豬三聯單數字兜不攏 中檢說話了
2
坣娜傳因胰臟癌病逝 在丈夫身旁安詳離開
3
台中廚餘谷恐害慘台灣?獸醫師公會示警了
4
燕子口堰塞湖搶災落幕!6怪手齊向山鞠躬
5
中選會委員難產!政院發函各黨團搜集意見
6
川習會談台灣?川普:台灣就是台灣
7
毀滅爆料粿粿出軌王子 范姜彥豐二度發聲
8
坣娜傳紅斑性狼瘡復發逝!醫曝高風險族群
9
普發1萬、15萬補助來了!11月新制一次看
10
蔣萬安:11月底新壽解約、明年中輝達簽約
HOT焦點
更多
破百場媒合會助臺灣文化科技內容國際合作
議員掛「何志偉選市長」看板 被讚接地氣
光澤醫美響應乳癌防治 伴女性重建自信
頻道推薦
直播✦活動
三立新聞網
為了提供更好的閱讀內容,我們使用相關網站技術來改善使用者體驗,也尊重用戶的隱私權,特別提出聲明。
了解最新隱私權聲明
知道了