APP下載
活動
爆料
圖輯
AI爆報
追蹤新聞
5
太子集團超跑今法拍
中東戰火開盤 台股迎壓力測試
台灣彩券開獎直播中
三立iNEWS新聞台線上直播
LIVE三立+24小時直播
即時
美以突襲伊朗
對等關稅違憲
新聞
熱門
政治
社會
娛樂
生活
新奇
健康
國際
兩岸
運動
財經
房產
旅遊
科技
汽車
遊戲
ESG
影音
總覽
政論
節目
熱搜
直播
iNEWS
專題
總覽
特企
專頁
大事件
彩券
專欄
民調
快訊
傳Tiffany卞耀漢找少時當伴娘 公司發聲
09:49
新/宮崎大雨下不停 台灣首戰熱身賽取消
09:48
他見前女友「口水交流」求歡不成刀刺命危
09:48
金價太強害空軍GG!「他」慘列處置
09:39
聯手AI霸主輝達!聯發科攻企業基建
09:38
元宵冷空氣來襲!濕涼探14度「秒回秋冬」
09:34
外國客列台美食缺點:超難吃 眾人傻眼
09:30
碩士兩度面試台積電遭勸退 過來人揭真相
09:28
新/台68自撞!他噴飛車外 頭破斷腿OHCA
09:25
今晚變天暴跌11度 雨彈炸4天一圖秒看懂
09:23
WBC將開戰《冠軍之路》未破億!他不忍了
09:22
愛雅產後辦「品奶大會」 阿喜一嚐狂讚
09:21
火燒厝2死…100提燈陪葬!里長曝神給4字
09:21
喊60次不要沒用?淚訴被性侵卻提醒:要戴
09:19
儀器進陰道毀貞操?醫揭這真相籲快放生
09:15
彰化年後首場「送肉粽」!時間、路線曝光
09:14
美伊衝突史詩之怒 台股跌137.01點
09:13
鄧愷威中繼1.2局挨轟 轉戰太空人首掉分
09:13
小弟被殲滅、孤立習近平 她曝川普下一步
09:03
台灣地面師橫行 政府一免費服務可保平安
09:02
台灣彩券開獎直播中
20:31
台彩春節加碼12億元創新高
12:00
大樂透加碼480組100萬元
12:00
大樂透加碼800組10萬元
12:00
中東戰火開盤 台股迎壓力測試
08:30
太子集團超跑今法拍
08:35
賓果賓果鬧元宵 大樂透、今彩539續加碼
12:00
開工打造好運勢 小人退散能量水晶迎貴人
12:00
祥獅獻瑞迎開工!愛妮雅集團新年藍圖首曝
17:00
瘦身急救章 一秒塑身穿上小號緊身洋裝
11:00
初九天公生 松山奉天宮備平安麵共享
16:00
捷運七張站走路2分鐘 友座明明德機能到位
15:00
開學換機酷澎火箭速配隔日到貨
10:00
企業暖心故事 一份工作撐起整個家
13:00
Xtars人氣直播主大揭密 鏡頭下的甘苦
13:00
土城永福岩清水祖師廟擲筊大賽 頭獎百萬
12:00
初一金山財神廟湧人潮 聯名蛋捲禮盒喜氣
11:00
首頁
關鍵字
佝僂病
佝僂病
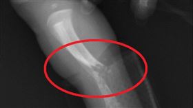
女嬰一出生就骨折!竟是「佝僂病」
一名僅出生一天大的女嬰竟右小腿骨折,由外院轉至中國醫...
2022/06/08 22:19
懷孕缺1維生素 女嬰出生1天就骨折
剛出生1天的女嬰,右小腿竟嚴重骨折,被緊急轉送大醫院...
2022/06/08 14:01
多位醫竟推薦毒奶粉 童喝6個月患病
中國黑心奶粉再現,前陣子才發生多名兒童在食用一款奶粉...
2020/06/02 12:24
奶粉又出事 陸媒批17年來有何進步
中國湖南近期發生多名兒童在食用一款奶粉後,因營養不良...
2020/05/15 23:22
最新圖輯
更多
初孟軒、鍾岳軒專訪
龍千玉與翁立友領豪記唱片群星拜年
Rain鄭智薰小巨蛋演唱會
金在中演唱會
羅志祥30周年演唱會
凱琳專訪
黃鐙輝、吳念軒、黃騰浩專訪
第62屆金馬獎得獎後台
第62屆金馬獎紅毯
劉書宏專訪
今日頭條
1
才認美軍傷亡恐更多 川普再警告伊朗1事
2
伊朗小學遭空襲165死!校舍距基地僅600m
3
3美軍陣亡地點曝光 《CNN》曝遭無人機襲
4
辣醫護譙家屬智障吃屎 霸凌學妹爆離職潮
5
斬首哈米尼恐變全面戰爭?川普揭「退路」
6
神預言美攻委內瑞拉、伊朗 他曝中國下場
7
晚安小雞出獄仍滯留柬埔寨 小編親揭現況
8
今午後變天轉濕涼 明冷空氣到狂降溫10℃
9
彰化年後首場「送肉粽」!時間、路線曝光
10
川普:已擊沉伊朗9軍艦 海軍總部遭摧毀
HOT焦點
更多
運動場也有彩虹!板橋體育場彩虹看臺開箱
賓果賓果鬧元宵 大樂透、今彩539續加碼
祥獅獻瑞迎開工!愛妮雅集團新年藍圖首曝
頻道推薦
直播✦活動
三立新聞網
為了提供更好的閱讀內容,我們使用相關網站技術來改善使用者體驗,也尊重用戶的隱私權,特別提出聲明。
了解最新隱私權聲明
知道了