APP下載
活動
爆料
圖輯
AI爆報
追蹤新聞
3
台灣彩券開獎直播中
三立iNEWS新聞台線上直播
LIVE三立+24小時直播
即時
對等關稅違憲
賈永婕嗆蔣
新聞
熱門
政治
社會
娛樂
生活
新奇
健康
國際
兩岸
運動
財經
房產
旅遊
科技
汽車
遊戲
ESG
影音
總覽
政論
節目
熱搜
直播
iNEWS
專題
總覽
特企
專頁
大事件
彩券
專欄
民調
快訊
台、日交流先發僅2局 羅戈賞軟銀6上6下
20:10
江蕙演唱會登台前吃什麼才開唱?菜單曝光
20:08
潘慧如賠千萬 宣布寵物旅館將結束營業
20:07
羅戈2局0失分 高宇杰雷射肩助兄弟9上9下
20:01
台積電屢創天價恐被抓去關?證交所發聲了
20:00
血月時間、觀賞方位曝!誤犯禁忌恐破財
19:59
平野惠一牽線 日重砲邀兄弟打者休季訓練
19:52
228連假又1波鋒面來襲!又濕又冷全台有雨
19:48
保養愛車竟發現被放1物!避震器嚴重鏽蝕
19:47
台八男星25年日抽一包菸 心臟檢查後戒了
19:44
光電系統商裕田涉詐貸4千萬 檢調搜索
19:30
被李大浩評只靠蠻力 曾頌恩練習全面進攻
19:29
健保藥價砍36億「史上最少」 4月1日上路
19:19
潘孟安同框AIT處長谷立言 雙方互動曝光
19:15
傳50頁艾普斯坦文件消失 疑川普施暴少女
19:08
台積電內鬼案開庭 傳喚東京威力女主管
19:02
台灣燈會「好神抵嘉」 宗教燈區開箱祈福
19:00
冰庫解鎖⋯女屍「直立倒下」7hrs後未退冰
18:56
孫綻當看護照顧米可白 認:在存結婚基金
18:52
你是日系動漫玩具控?台北地下街這展必衝
18:48
台灣彩券開獎直播中
20:31
台彩春節加碼12億元創新高
12:00
大樂透加碼480組100萬元
12:00
大樂透加碼800組10萬元
12:00
初九天公生 松山奉天宮備平安麵共享
16:00
捷運七張站走路2分鐘 友座明明德機能到位
15:00
開學換機酷澎火箭速配隔日到貨
10:00
企業暖心故事 一份工作撐起整個家
13:00
Xtars人氣直播主大揭密 鏡頭下的甘苦
13:00
土城永福岩清水祖師廟擲筊大賽 頭獎百萬
12:00
初一金山財神廟湧人潮 聯名蛋捲禮盒喜氣
11:00
首頁
關鍵字
李奕澄
李奕澄
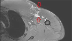
他健身突胸痛腫脹 竟罕見「胸大肌斷裂」
近年台灣健身風潮盛行,但健身也得小心隱藏傷害。一名2...
2026/02/25 15:11
最新圖輯
更多
初孟軒、鍾岳軒專訪
龍千玉與翁立友領豪記唱片群星拜年
Rain鄭智薰小巨蛋演唱會
金在中演唱會
羅志祥30周年演唱會
凱琳專訪
黃鐙輝、吳念軒、黃騰浩專訪
第62屆金馬獎得獎後台
第62屆金馬獎紅毯
劉書宏專訪
今日頭條
1
羅戈2局0失分 高宇杰雷射肩助兄弟9上9下
2
冰庫解鎖⋯女屍「直立倒下」7hrs後未退冰
3
獨/56歲前主播吳中純癌逝 尪揭後事進度
4
台積電內鬼案開庭 傳喚東京威力女主管
5
重申兩條件 賴清德:一定赴立院國情報告
6
台積電屢創天價恐被抓去關?證交所發聲了
7
228連假又1波鋒面來襲!又濕又冷全台有雨
8
獨/陳美鳳財產全給助理 真實身份是親妹
9
蔣萬安推育兒減工時、補助工資 條件曝光
10
血月時間、觀賞方位曝!誤犯禁忌恐破財
HOT焦點
更多
Xtars人氣直播主大揭密 鏡頭下的甘苦
土城永福岩清水祖師廟擲筊大賽 頭獎百萬
捷運七張站走路2分鐘 友座明明德機能到位
頻道推薦
直播✦活動
三立新聞網
為了提供更好的閱讀內容,我們使用相關網站技術來改善使用者體驗,也尊重用戶的隱私權,特別提出聲明。
了解最新隱私權聲明
知道了