APP下載
活動
爆料
圖輯
阿立導讀
追蹤新聞
4
陸委會副主委沈有忠出席座談會
台灣彩券開獎直播中
三立iNEWS新聞台線上直播
LIVE三立+24小時直播
即時
孫安佐爭議
川習強權交鋒
新聞
熱門
政治
社會
娛樂
生活
新奇
健康
國際
兩岸
運動
財經
房產
旅遊
科技
汽車
遊戲
ESG永續
影音
總覽
政論
節目
熱搜
直播
iNEWS
專題
總覽
特企
專頁
大事件
彩券
專欄
民調
快訊
癌王正在年輕化!「1族群」罹病風險飆48%
15:40
超級盈餘創高!高盛示警:台灣央行必升息
15:37
從赴美救子到再被羈押 狄鶯崩潰:不活了
15:37
新/不是台積電!老謝點名「5」檔璞玉
15:36
狄鶯暴哭老娘拚了 遭抓包"無預警刪直播"
15:35
2026愛文芒果價格近腰斬 農民:品質好快買
15:34
醉警官喝斥3泰遊客 2波蘭男勸架反遭糾纏
15:34
盲目補高蛋白≠健康!醫:1族群最危險
15:33
女腰痛2年幾乎癱瘓!脊髓清出上千寄生蟲
15:31
新/生前疑成喪屍…衝200m撞5人!死因曝
15:29
郭忠祐不忍了!親吐黃露瑤兩人真實關係
15:27
愛台論遭周玉蔻罵無腦 賈永婕7字網讚爆
15:23
廚房菜瓜布比馬桶還髒?出現3現象必換
15:21
它年增暴衝483% 首季EPS 10.87元賺翻
15:18
傳皮克敏免費送禮包?最新詐騙手法曝光
15:18
林佳龍喊話WHO:台灣是不可或缺的一員
15:17
陳天仁婚紗照曝光 甜蜜互動網友全被閃爆
15:13
雙星能量!4星座人生翻頁 喜迎重大轉折
15:03
香蕉妻挺孕肚公開寶寶性別 尪吐心中期望
14:58
每月5千育兒補助!藍提3訴求因應少子化
14:57
台灣彩券開獎直播中
20:31
陸委會副主委沈有忠出席座談會
15:00
彰化首創全齡堡壘 廢墟重生在地安老
12:00
胃癌圍手術期免疫治療7旬婦恢復進食能力
09:00
重返三大豬病非疫國 跨域合作推產業升級
14:00
台中極限保值區純2房案搶進文心森林公園
12:00
晚期肝癌不受限 口服藥物穩定生活與療效
11:00
愛妮雅攜手真善美 公益市集號召民眾傳愛
16:30
權力遊戲新作!重返維斯特洛奪王座
16:00
寵物用藥陷困境 藥廠與藥局:願當獸醫後盾
12:00
房價僅北士科半價 仁義重劃區預售屋剖析
09:00
首頁
關鍵字
牙齦瘤
牙齦瘤
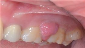
懷孕期間牙齦2度長出肉瘤 原因曝光
懷孕期間牙齦冒出肉瘤得當心!王小姐首胎懷孕6個月時,...
2022/09/11 12:19
趕移民前微整形 巨鱷小河整牙痛到哭
台南麻豆鱷魚王農場的招牌巨鱷「小河」將在八月份移居對...
2016/06/23 16:12
最新圖輯
更多
茉ひるMahiru專訪
簡莉紋專訪
大霈專訪
劉冠廷專訪
林予晞、王真琳專訪
李雪、陳昱廷專訪
初孟軒、鍾岳軒專訪
龍千玉與翁立友領豪記唱片群星拜年
Rain鄭智薰小巨蛋演唱會
金在中演唱會
今日頭條
1
新/生前疑成喪屍…衝200m撞5人!死因曝
2
擎天崗野戰男神隱4天 警正式寄送通知書
3
IU再度發聲認錯 坦言:我感到非常羞愧
4
蔣萬安問要刪台獨黨綱嗎?沈伯洋酸爆了
5
宜蘭鬧區命案!男子離奇「陳屍鐵皮屋頂」
6
6/30交通新制 這類人直接開車罰6萬元
7
她點賴清德聲明最嗆一段:沒在跟中國客氣
8
淡江大橋「躺路哥」又闖禍!偷小貨車遭逮
9
換心童點餐去生菜 店員附1字條感動萬人
10
逛IKEA廣播喊「現在99」員工全動 原因曝
HOT焦點
更多
房價僅北士科半價 仁義重劃區預售屋剖析
最Chill海岸音樂派對!東浪嘉年華嗨開唱
彰化首創全齡堡壘 廢墟重生在地安老
頻道推薦
直播✦活動
三立新聞網
為了提供更好的閱讀內容,我們使用相關網站技術來改善使用者體驗,也尊重用戶的隱私權,特別提出聲明。
了解最新隱私權聲明
知道了