APP下載
活動
爆料
圖輯
阿立導讀
追蹤新聞
3
台灣彩券開獎直播中
三立iNEWS新聞台線上直播
LIVE三立+24小時直播
即時
愛爾麗偷拍案
台北爆鼠患
新聞
熱門
政治
社會
娛樂
生活
新奇
健康
國際
兩岸
運動
財經
房產
旅遊
科技
汽車
遊戲
ESG永續
影音
總覽
政論
節目
熱搜
直播
iNEWS
專題
總覽
特企
專頁
大事件
彩券
專欄
民調
快訊
租金融卡3天爽領6萬?他賺到4月徒刑罰1萬
17:27
麵攤老闆娘認出熟客!嚇到竟是超大咖女星
17:26
親赴日內瓦WHA?林佳龍證實:有這樣規劃
17:26
新/總統令!賴清德公布7800億軍購條例
17:25
高中生上廁所馬桶都是血!醫:滑到長痔瘡
17:23
綠營新竹隊合體!莊競程推3大福利政策
17:22
他大玩國際沈文程日迷因 網:前總統來了
17:20
不是肝臟!1器官堆油最致命 癌王恐找上門
17:20
只要不賣就不賠?64歲翁養老金全歸零
17:18
連周杰倫都等不及!限動曝光這件好消息
17:18
男大生AI製圖開箱出老鼠 業者驚爆新進度
17:18
王子遭求償100萬 小煜洩兩人私下對話
17:17
真人快打輸了!穿Prada的惡魔票房二連霸
17:17
證實6月初訪美!鄭麗文親曝行程細節
17:16
千錘百鍊永恆 更護會台北分會銅雕藝術展
17:16
北市男誤闖新生高架 駕駛見黑影嚇出冷汗
17:15
近4400億對台軍售 傳川普要先與習近平談
17:14
亞大導入AI遊戲教具 長輩大讚腦袋不卡卡
17:08
曾麗燕挺賴瑞隆遭疑倒戈 陳其邁說話了
17:05
石崇良將率團赴瑞士 展現Taiwan can help
17:04
台灣彩券開獎直播中
20:31
跨界新美學 「鸚鵡人」走進馬光中醫診所
12:00
高雄導入5G智慧消防救援 救災效率高50%
14:00
腸病毒升溫!攝取高營養密度水果增免疫力
13:00
國防自主 台製雷盾無人機反制系統亮相
17:00
炎炎夏日!Niseko「牛奶巧酥」雪糕受喜愛
14:00
黃惠爭接掌屏東不動產仲介公會
10:30
母親節送「輝葉垂直律動椅」坐著輕鬆動
10:00
無基因突變肺癌治療 醫病溝通成關鍵
10:00
首頁
關鍵字
橫膈膜
橫膈膜
一直打嗝小心!超過「這時間」恐罹癌了
打嗝打不停是很多人都遇過的困擾,醫師葉秉威表示,若打...
2025/05/15 16:05
頸傷連呼吸都困難 中榮團隊助他重獲生機
一般人絲毫不費力地呼吸,卻是小吳(化名)重創後渴望的...
2024/08/16 10:00
沒病痛他只有「1困擾」 醫嚇傻:肝癌了
每個人都打過嗝,胃腸科醫師錢政弘表示,一名60多歲男...
2024/08/04 11:31
遭百公斤螢幕砸頭 MIRROR舞者癱瘓近況曝
香港人氣男團MIRROR2022年7月在紅館舉行演唱...
2024/06/17 15:17
他連續打嗝3個月 醫驚呆:全部都是腫瘤
有時候吃太飽,或是邊吃東西邊講話,都有可能會「打嗝打...
2024/01/06 05:06
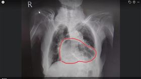
醫曝驚人X光照片:這就是咳到胃翻出來
如果你有長期咳嗽的問題,千萬不要輕忽!記得及早就醫診...
2022/11/02 19:55
妙齡女「狂打嗝」!藥師教3招解決
打嗝是普通的生理現象,但打嗝打得不停,卻很有可能影響...
2022/09/24 17:42
肩頸痠痛靠按摩? 達人3步驟紓解
久坐工作、躺著滑手機,姿勢不良的情況下,經常讓人覺得...
2021/09/07 17:35
每天30分鐘深呼吸 幫助肺部舒張
肺炎傳染來襲,身體「衰弱」的族群面臨更高風險。隨著年...
2021/05/16 22:00
長期胃食道逆流 恐成惡性循環引發炎
食道是從喉嚨連接至胃部入口,長約25公分的管道。管壁...
2021/01/24 13:58
女友鐵沙掌一拍!陸男器官全歪險命危
情侶一起嘻笑打鬧是常有的事,日前一名大陸女子與男友嬉...
2019/12/13 09:15
燒烤店賣「海鷗肉」 客人驚問能吃嗎
瘋烤肉,有店家菜單驚見「海鷗肉」,這名字可嚇壞不少消...
2017/09/24 20:25
做20下伏地挺身 男橫膈膜破險送命
做伏地挺身竟然做到差點送命!高雄一名19歲男大生只做...
2017/04/02 13:14
車禍撞破橫膈膜 胃卡肺部及時獲救
一名男子車禍撞擊腹部造成罕見的橫膈膜破裂,整個胃部移...
2017/02/08 21:04
最新圖輯
更多
茉ひるMahiru專訪
簡莉紋專訪
大霈專訪
劉冠廷專訪
林予晞、王真琳專訪
李雪、陳昱廷專訪
初孟軒、鍾岳軒專訪
龍千玉與翁立友領豪記唱片群星拜年
Rain鄭智薰小巨蛋演唱會
金在中演唱會
今日頭條
1
新/總統令!賴清德公布7800億軍購條例
2
中國外交部:我們決定不同意台灣參加WHA
3
選竹北還新竹縣?鄭朝方鬆口給9字答案
4
新/捲偷拍風波 「聖宜」桃園2館遭搜索
5
王子遭求償100萬 小煜洩兩人私下對話
6
承億創辦人戴俊郎猝逝 集團內部信曝光
7
川普拒終戰提案!伊朗嗆「不向敵人低頭」
8
獨/桃機強風「36架飛機」驚險降落全收錄
9
雨要來了!一張圖看降雨變化、範圍、強度
10
中油也找聶永真改Logo 董座:計畫暫緩
HOT焦點
更多
腸病毒升溫!攝取高營養密度水果增免疫力
田徑少年危宇澤 勇敢追夢「聽奧奪銀」
遠見ESG企業永續獎登場 冠德集團獲三獎
頻道推薦
直播✦活動
三立新聞網
為了提供更好的閱讀內容,我們使用相關網站技術來改善使用者體驗,也尊重用戶的隱私權,特別提出聲明。
了解最新隱私權聲明
知道了