APP下載
活動
爆料
圖輯
AI爆報
追蹤新聞
4
全球極限體能大賽台中登場
台灣彩券開獎直播中
三立iNEWS新聞台線上直播
LIVE三立+24小時直播
即時
助理費爭議
小紅書遭封鎖
新聞
熱門
政治
社會
娛樂
生活
新奇
健康
國際
兩岸
運動
財經
房產
旅遊
科技
汽車
遊戲
ESG
影音
總覽
政論
節目
熱搜
直播
iNEWS
專題
總覽
特企
專頁
大事件
彩券
專欄
民調
快訊
醉騎共享機車遭攔 26歲男辯:只吃椒麻雞
12:51
韓國瑜婉拒茶敘!鄭麗文:重大憲政危機
12:51
總統盃黑客松邁入第八屆 賴清德曝期許
12:43
差2天60大壽!滑翔傘空中相撞 男墜落亡
12:42
白俄羅斯釋放123良心犯 美解除制裁交換
12:40
民進黨已布局2026選舉 鄭麗文:只好奉陪
12:37
汪浩批藍白把制度逼到牆角:準備重選立院
12:37
「喜劇女王」突宣布離婚:不是變瘦換老公
12:36
曝柯在家做這事 陳佩琪嗆網友要我禁聲?
12:36
台灣周邊驚見雲街 鄭明典1圖曝冷高壓偏南
12:34
大咖男星現故宮 無人認出:還請他幫拍照
12:33
跨圈應援動漫展 Kira、沈珈妤曝聖誕計畫
12:32
快採收!人行道綠帶成「開心農場」地點曝
12:30
反制藍白「這2法」擬不副署 黃國昌氣罵
12:16
中油:15日起汽、柴油價格各調降0.4元
12:07
八點檔女神披白紗嫁了 感性喊:新的開始
12:04
樂天卉妮合體朴星垠 甜美臉蛋根本雙胞胎
12:04
6縣市恐跌破10度!下波冷空氣活躍時間曝
12:03
中國重映《賽德克.巴萊》 操弄仇日翻車
12:02
不用意志力!「無痛節食法」曝:少吃也很飽
12:01
台灣彩券開獎直播中
20:31
全球極限體能大賽台中登場
12:30
高雄大氣球遊行登場 21顆空飄氣球超壯觀
12:00
賴瑞隆重整腳步再出發 高市議員團結力挺
10:00
嘉義市城市博覽會開幕「嘉義大舞台」嗨翻
20:00
健康AI領導品牌 威力先進得獎不斷
20:30
《上山吧》團員用「優蛋白EX」補充能量
13:00
《上山吧!台灣隊》創舉!征服非洲之巔!
10:00
他靠科學化心法兩年滾出千萬財富!
08:30
首頁
關鍵字
建築師
建築師
花蓮0403、0206震倒2樓…建築師竟是同1人
花蓮去年4月3日上午發生規模7.2強震,「天王星大樓...
2025/12/10 08:50
前主播陳海茵出車禍!駕座被撞凹受困車內
前美女主播陳海茵於2003年與和名建築師老公禹連泉結...
2025/10/02 23:57
中國建築師俞孔堅巴西墜機身亡 享壽62歲
巴西警方今天表示,中國知名建築師俞孔堅昨晚在巴西西部...
2025/09/25 06:43
建築師陳秉信談永續建築
B-STUDIO創辦人「空間指揮家」暨主持建築師陳秉...
2025/04/16 19:00
台建築師讚大阪世博「大屋頂環」值得一看
大阪世博13日正式開幕,許多台灣遊客搶在第一天體驗,...
2025/04/14 10:03
學生打臉裘振宇聲明矛盾、無建築技能
土耳其台灣中心執行長裘振宇遭爆料挪用善款、性騷、霸凌...
2025/04/02 17:24
7旬翁將罕病妻從14樓丟下摔死 殺人起訴
新北市新莊區73歲建築師退休的林姓老翁,長年照顧罹患...
2025/03/27 16:46
新光三越氣爆 中市建築師公會:全棟封館
台中新光三越13日發生嚴重氣爆,造成重大傷亡,檢警正...
2025/02/21 14:45
獨/新光三越氣爆後危機 建築師吐實言!
台中新光三越中港店13日發生氣爆,4人死亡多人輕重傷...
2025/02/17 21:34
獨/新光三越氣爆 建築師公會曝釀禍關鍵
台中新光三越百貨中港店在13日發生氣爆,目前初判疑似...
2025/02/16 11:46
獨家/棄台積電高薪 經營神祕民宿竟非法
疫情後國旅熱潮興盛,非法民宿問題日益嚴重。《三立新聞...
2025/01/22 10:01
晨運砲友激凸照!讓建築師妻痛揭不倫瘡疤
台中某室內裝修公司已婚負責人小雯(化名),抓包建築師...
2025/01/15 12:30
跑友變砲友!人妻傳艷照色誘建築師下場慘
台中一名已婚建築師莊姓男子,因熱愛跑步進而結識已婚的...
2025/01/15 00:59
陸版陶朱隱園!打造24棟哥吉拉?威京否認
全台灣身價最貴的北市信義區豪宅指標「陶朱隱園」,是威...
2025/01/14 19:20
奪金球三大獎 安卓亞再封帝曝移民辛酸
第82屆金球獎頒獎典禮昨日(台灣時間)盛大舉行,由布...
2025/01/07 12:07
京都車站設計者 日本建築巨擘原廣司辭世
曾設計日本京都車站、札幌巨蛋等世界級地標的日本建築巨...
2025/01/05 11:21
公務員16類科考人數比錄取少 這4類掛蛋
公務員曾是許多人公認的鐵飯碗,以往報考人數總是非常多...
2024/12/25 15:14
退休建築師…摔死罕病妻!專家點出1隱憂
新北市新莊區昨天(9日)發生長照悲劇!73歲建築師退...
2024/12/10 10:13
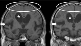
長輩走路像鴨子又尿失禁?小心水腦症
如果家中長輩出現走路不穩、尿失禁或癡呆等情況,家人可...
2024/12/09 19:42
建築師將妻從丟下自首畫面曝 殺人罪送辦
新北市新莊區今天上午發生1起長照悲劇,中平路某社區住...
2024/12/09 16:57
「瓶中建築師」遺作曝光 背後故事藏洋蔥
南投魚池鄉「瓶中建築師」許煌烟,以高超的瓶中竹籤黏貼...
2024/07/19 14:19
楠西消防分隊蓋新樓 遭爆19支梁柱歪16支
台南消防局楠西分隊隊員人數增加、空間老舊狹小,市府核...
2024/06/13 15:49
隈研吾展覽「五感的建築」 世界巡迴登場
響譽國際的日本知名建築大師隈研吾,擅長將建築融入自然...
2024/04/11 16:00
看好台積電效應 林聰麟:平衡南北房價
入主上市公司福裕(4513)的營建商清景麟投入3千萬...
2024/04/10 23:52
勘災總數達181棟 國土署:全台9棟列紅單
國土管理署今天說,因花蓮強震,花蓮縣、台北市及新北市...
2024/04/04 15:44
台中巨蛋雨中開工 盧秀燕偕日建築師見證
歷經8次流標的台中巨蛋終於在今(11)日開工了,台中...
2024/03/11 19:32
德國女環台迷路!台人1舉動 結局神展開
來自德國司徒加特的建築師Sarah表示,在同事的推薦...
2023/10/11 11:38
知名建築師開車突大量吐血…斷魂國道!
知名建築師陳永興26日開車行經國道3號關廟段時,突然...
2023/09/29 05:48
傑出建築師陳永興國道身亡 業界不捨悼念
知名傑出建築師陳永興前天(26日)在國道新化段因車禍...
2023/09/28 09:51
祕/大直民眾向北市府反映,卻無法解決?
台北市大直街民宅7日因「基泰大直」建案施工不慎下陷,...
2023/09/11 08:47
最新圖輯
更多
第62屆金馬獎得獎後台
第62屆金馬獎紅毯
劉書宏專訪
袁澧林、陳孝萱專訪
第36屆金曲獎星光大道
第36屆金曲獎得獎圖輯
NMIXX林口體育館粉絲演唱會
KISS OF LIFE台北演唱會
林芯儀專訪
GYUBIN大巨蛋開球
今日頭條
1
中國重映《賽德克.巴萊》 操弄仇日翻車
2
民進黨已布局2026選舉 鄭麗文:只好奉陪
3
《青青河邊草》何晴病逝 最後公開身影曝
4
備戰2026 王婉諭:重新擦亮第三勢力招牌
5
坣娜追思會現場曝光 歐陽龍痛別天使好友
6
低溫還沒到底!氣象專家曝「這時段」冷爆
7
卸世卸眾!胡采蘋:國台辦經濟學幾近文盲
8
新莊少女成焦屍…家庭、火警當下情況曝光
9
震撼!綠營北市「八連霸戰將」正式宣布了
10
新/布朗大學槍案2死者為學生 400警搜槍手
HOT焦點
更多
賴瑞隆重整腳步再出發 高市議員團結力挺
臺北耶誕愛無限登場!聚集人潮感受氣氛
嘉義市城市博覽會開幕「嘉義大舞台」嗨翻
頻道推薦
直播✦活動
三立新聞網
為了提供更好的閱讀內容,我們使用相關網站技術來改善使用者體驗,也尊重用戶的隱私權,特別提出聲明。
了解最新隱私權聲明
知道了