APP下載
活動
爆料
圖輯
AI爆報
追蹤新聞
3
台灣彩券開獎直播中
三立iNEWS新聞台線上直播
LIVE三立+24小時直播
即時
財劃法不副署
高虹安涉貪逆轉
新聞
熱門
政治
社會
娛樂
生活
新奇
健康
國際
兩岸
運動
財經
房產
旅遊
科技
汽車
遊戲
ESG
影音
總覽
政論
節目
熱搜
直播
iNEWS
專題
總覽
特企
專頁
大事件
彩券
專欄
民調
快訊
監控拍下狗狗「落寞眼神」網心碎:快回家
23:43
外資再倒270億 卻大買這3檔金控共12萬張
23:15
橘色惡魔合體翡翠騎士快閃西門 人潮擠爆
23:11
半導體產業報告 台積電1+4強出爐
23:00
藍白喊彈劾賴清德 綠開酸:需要憲法法庭
22:53
翁倩玉回歸了!洪佩瑜攜手「金三角」助陣
22:48
美股開盤四大指數勁揚 道瓊漲逾300點
22:47
冬至後「3生肖」接好運!連走路都有錢撿
22:36
新北22項新措施 敬老、勞工福利全面升級
22:26
徐國勇指不副署非終極目的 民眾黨回應了
22:26
75歲李亞萍證實失智症 媳婦柔柔暖心發聲
22:23
舊冷氣別丟!LOGO竟是真黃金現賺1萬
22:11
銀樓業者秀「最粗」金項鍊 市價逾1300萬
22:07
藍白提案彈劾卓榮泰 張禹宣諷「廢到笑」
22:04
氫能電力發展 5大運用一次看
22:00
誆跳表機壞掉!運將「春節費率」多收百元
21:59
誤踩油門暴衝夾殺母子!77歲嬤10萬交保
21:58
比丘尼誤踩乘客腳 遭要求道歉狂嗆5分鐘
21:52
藍白立委預告彈劾賴清德 門檻一次看
21:49
連環電爆藍白立委網狂讚 張惇涵發聲了
21:49
台灣彩券開獎直播中
20:31
賴瑞隆舉辦願景說明會 陳吉仲站台
20:00
強基金熱議00991A上市後價格震盪
19:00
展現市長級執行力!林岱樺解決園區四痛點
18:00
新北首創「獨居長者不動產防護網」防詐!
16:00
力挺台北愛樂40載!企業深耕藝文活動
15:00
何志偉參拜中壢媽!做客超級夜總會獻唱
12:00
職場霸凌頻傳《職安法》新增《霸凌專章》
12:00
一卡通iPASS MONEY APP推限時回饋
21:00
首頁
關鍵字
牙菌斑
牙菌斑
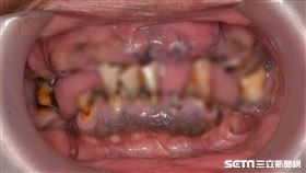
35歲民眾9成有牙周病變!醫曝「7大警訊」
一名60多歲的女性主管,因工作繁忙、三餐在外、作息不...
2025/12/12 15:48
獨/DIY磨牙 居家拋光恐傷牙齦、琺瑯質
牙齒美白成為現在的流行趨勢之一,就有人在購物平台上販...
2025/08/27 22:15
3習慣傷血管!害高血壓、加速老化 快又猛
錯誤的飲食方式,可能會傷害血管的健康。減重醫師蕭捷健...
2025/08/11 16:36
喝冰咖啡提神?醫警告:無糖也會蛀牙
夏季高溫難耐,不少人早晨靠一杯冰美式提神醒腦,卻未意...
2025/07/29 15:29
沒三高卻心梗!它是禍首:害糖尿病、失智
醫師張家銘表示,新研究發現,人刷牙有無徹底,可能正悄...
2025/04/21 09:24
獨/早起就喝水=吞細菌?台灣牙醫解答!
不少人起床後第一件事就是喝水,但有日本牙醫稱,此時口...
2024/12/30 15:35
為增異性緣矯正牙齒 正妹1動作險毀全口牙
34歲陳姓女子為了提升異性緣,決定花錢矯正牙齒,但卻...
2024/11/05 16:00
秋天吃4食物護牙 「1水果」是天然牙刷
想要擁有一口好牙,除了每天刷牙、使用牙線和漱口水之外...
2024/10/29 10:10
飯後秒刷牙錯了?醫曝關鍵1動作 降低磨損
飯後刷牙可預防蛀牙,但要怎麼刷,每位專家有不同說法。...
2024/10/14 11:07
一堆人做錯!每天刷仍蛀牙 醫揭正確方法
牙齒是一個人的門面,因此口腔保健相當重要。牙醫師蔡雅...
2024/10/01 12:04
牙周病不只加速老化?醫:口臭是危險徵兆
有「隱形健康殺手」之稱的牙周病,根據衛福部資料顯示指...
2024/08/12 13:33
醫揭牙線棒3「NG動作」:只是幫細菌搬家
牙縫卡菜渣超「阿雜」,許多人都會拿出牙線棒剔牙,像鋸...
2024/06/23 22:43
獨/9成人用錯牙線 醫示警:反害撕裂傷
越來越多人使用牙線來潔牙,但牙醫表示,有90%的人使...
2024/06/03 11:39
牙肉長了顆痘痘!摸到就痛 原來已骨撕裂
一名70歲阿伯,最近發現口腔中的牙菌斑明顯累積,此外...
2023/07/13 11:46
牙線是必需品! 醫師點出5錯誤用法
鮮少人知道牙線的正確使用方法,YouTube頻道「面...
2021/12/03 09:04
口腔「這裡」最髒!1cc藏上億細菌
保健牙齒,除了常常刷牙使用牙線外,每半年固定到牙科洗...
2021/01/13 11:55
牙縫卡菜渣 錯誤清潔恐越剔越髒!
飯後剔牙清除食物殘渣,國人使用牙線棒普及率高,但1根...
2020/08/06 10:00
刷牙3分鐘乾淨嗎?醫搖頭曝「正解」
你每次刷牙都刷多久時間呢?根據日本首屈一指的失智症專...
2019/11/12 18:38
你的口腔比馬桶髒? 醫師:有可能!
口腔是消化系統的第一道關卡,口腔的衛生程度關乎進食、...
2019/07/25 12:35
她牙齒出了這問題 學生一見就快閃
51歲的王老師從事國小教職20多年,因罹患牙周病導致...
2018/06/28 12:35
別只吃潔牙骨!幫毛孩刷牙工具這樣挑
牙周病一直都是犬貓常見的健康問題之一,約有70-80...
2018/05/20 15:56
漱口水華山互動投影 一起對抗牙菌斑
很多民眾不知道刷牙只能清潔口腔25%的細菌,搭配漱口...
2018/04/06 12:00
Ella注重口腔清潔 維持牙齒健康
藝人Ella陳嘉樺擁有一口好牙,還被廠商相中擔任Or...
2018/03/27 10:00
G.U.M新品上市 李沛旭大秀廚藝
為了幫助國人降低牙周病的發生率,長期以「對抗牙周病菌...
2017/04/28 14:00
8旬癱瘓爺口腔飄臭 這服務幫了他
一位80歲的陳爺爺有高血壓和糖尿病史,去年1月時2度...
2017/02/21 12:18
「食用油」漱口!婦人牙齦出血惡臭
保持口腔清潔一般民眾最常做的就是刷牙或使用漱口水,但...
2016/10/07 17:34
牙齒有這些症狀,可能是得了牙周病!
根據統計,台灣八成以上民眾患有不同程度的牙周病,許多...
2015/03/23 18:10
牙周病症狀是什麼、如何預防及治療?
高雄傳出一名中年男子因牙齒咬合不好,因而掉牙的消息,...
2014/12/13 15:30
一口爛牙好糗!不可不知的牙刷五件事
想擁有一口潔白的牙齒,每天刷牙是基本的例行公事,但工...
2014/04/29 17:14
齒縫比老鼠屎髒!?細菌量多出4倍
牙齒沒刷乾淨,當心嘴巴含住的細菌量比老鼠屎多4倍!最...
2014/04/01 09:17
最新圖輯
更多
第62屆金馬獎得獎後台
第62屆金馬獎紅毯
劉書宏專訪
袁澧林、陳孝萱專訪
第36屆金曲獎星光大道
第36屆金曲獎得獎圖輯
NMIXX林口體育館粉絲演唱會
KISS OF LIFE台北演唱會
林芯儀專訪
GYUBIN大巨蛋開球
今日頭條
1
藍白喊彈劾賴清德 綠開酸:需要憲法法庭
2
連環電爆藍白立委網狂讚 張惇涵發聲了
3
鍾文智潛逃疑有警官護航 3副所長被傳喚
4
誤踩油門暴衝夾殺母子!77歲嬤10萬交保
5
造謠80億換蕭美琴演講竟不罰 外交部回應
6
急診、家醫做醫美談不攏!衛福部下通牒了
7
未來48小時全台冬雨過境!這區雨量特別多
8
獨/江志豐緊急送醫救治!食物中毒狂洗胃
9
75歲李亞萍證實失智症 媳婦柔柔暖心發聲
10
未解限貸令!專家揭楊金龍「關鍵字」含意
HOT焦點
更多
強基金熱議00991A上市後價格震盪
新北首創「獨居長者不動產防護網」防詐!
力挺台北愛樂40載!企業深耕藝文活動
頻道推薦
直播✦活動
三立新聞網
為了提供更好的閱讀內容,我們使用相關網站技術來改善使用者體驗,也尊重用戶的隱私權,特別提出聲明。
了解最新隱私權聲明
知道了