APP下載
活動
爆料
圖輯
AI爆報
追蹤新聞
6
賴清德、李洋出席總統盃
豬肉禁令盼本週五解除!
白沙屯媽祖贊境新北
台灣彩券開獎直播中
三立iNEWS新聞台線上直播
LIVE三立+24小時直播
即時
非洲豬瘟侵台
輝達進駐台北
新聞
熱門
政治
社會
娛樂
生活
新奇
健康
國際
兩岸
運動
財經
房產
旅遊
科技
汽車
遊戲
ESG
影音
總覽
政論
節目
熱搜
直播
iNEWS
專題
總覽
特企
專頁
大事件
彩券
專欄
民調
快訊
不滿鄭麗文受訪話太多 蔡正元怒批1句
15:35
北部1夜市封最頂!網讚:價格佛、份量多
15:34
Martin Garrix高喊我愛你 發台國旗告白
15:33
夫妻擁千萬財產 因1事悔嘆錯過退休人生
15:32
山本付出前所未見 主帥:他讓我像好教練
15:29
高市早苗見林信義!中國氣炸 日網反應曝
15:27
LINE貼圖神功能消失!網敲碗:求回歸
15:24
獨/肉品廠遇禁宰令損千萬!調人力挺員工
15:22
謝侑芯昏迷飯店浴缸 黃明志CPR搶救無效
15:20
石碇「拓海哥」過彎失控 86猛撞電桿全毀
15:17
朱立倫規矩全顛覆?他封鄭麗文:邪惡軸心
15:10
新/重大車禍!男斷腳…2歲女兒頸出血亡
15:08
台中女欠債2萬!遭囚摩鐵「鬼剃頭」灌毒
15:08
植物界的魚油 專家大推「1款油」抗發炎
15:02
地表最強老鐵!黃晳煕、張綺文 男女雙霸
15:02
林佳龍表態挺林岱樺!486先生這麼看
15:01
2清潔工掃溫泉池中毒亡 管家稱6年來首例
14:59
黃國昌遭疑戴髮片秒回應!他曝1細節奇怪
14:56
他不理「1現象」慘中風!還恐心梗、腎衰竭
14:55
林佳龍紐約設宴美方無人來?真相曝光
14:53
台灣彩券開獎直播中
20:31
白沙屯媽祖贊境新北
14:00
豬肉禁令盼本週五解除!
15:30
賴清德、李洋出席總統盃
15:35
創意無極限!國中小生飆戲 宣傳節約能源
11:00
台灣大日月潭花火音樂會吸3.5萬人齊聚
22:00
外送專法受矚 三大平台籲政府加強溝通
14:00
有酷澎WOW會員 毛孩照顧更輕鬆
11:00
維生素B群功效與補充全解析!
14:00
日本熱銷4億包!糖脂對策 隨餐1包纖維粉
12:00
酷澎雙11狂購祭 美國保健品限時五折
11:00
八里國際化成形!港灣特區陸海空黃金三角
11:00
13聖杯!桃園護國宮爐主淚:太子爺早暗示
19:40
首頁
關鍵字
標靶治療
標靶治療
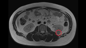
獨/陳文茜急接受免疫治療!醫揭「療效」
資深媒體人陳文茜癌症復發,且確診黑色素癌第四期。原預...
2024/12/30 10:21
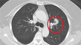
末期肺癌慢性病化 可靠新ALK抑制劑治療
45歲的謝小姐,原本在東南亞工作,新冠肺癌疫情期間工...
2024/03/29 07:44
老婦「大腸癌末期」獲救 醫院曝治療過程
國人聞癌色變,確診晚期癌症可能心灰意冷,不過衛福部苗...
2023/09/17 13:06
肺癌手術後要注意什麼?如何避免復發?
肺癌死亡率高居癌症之首,已成為台灣「新國病」。目前,...
2023/08/23 09:30
那顆不是痣!竟是「死亡率超高黑色素瘤」
老太太因為腳底的黑斑到皮膚科就診,原本看起來像瘀青,...
2023/06/15 09:28
「1+1」治療助這類乳癌姊妹提升生活品質
聞癌色變、害怕化療是許多乳癌病人共同的經驗,也影響治...
2023/05/29 10:00
便便見血 竟是腸癌第四期!?
新冠肺炎席捲全球三年,台灣所有醫療院所都曾面臨群聚感...
2023/01/03 10:33
尿液顏色不尋常 名醫:胰臟癌警訊
胰臟癌被認為是難以對付的「癌王」,資深體育主播傅達仁...
2022/09/29 06:20
肺癌女性9成不吸菸 小心家中2殺機
肺癌連續15年高居國人十大癌死因症之首,每年有近萬人...
2022/07/31 11:03
迎戰晚期乳癌 3大口服標靶藥比一比
乳癌是台灣女性發生率第一名的癌症,不過受益於醫療科技...
2022/07/04 20:27
無不良嗜好 21歲男大生驚罹腎癌
年輕、看似健康、無不良嗜好的人,還是有可能罹癌。台中...
2022/03/11 10:31
迎戰晚期大腸癌 基因檢測找最佳武器
50多歲的王先生因為大便不太好解,食慾胃口減低、肚子...
2022/02/23 10:49
疫情延誤就醫 6旬婦乳房被腫瘤吞噬
乳房出血是個不太尋常的主訴,而在解開衣服後,出現的畫...
2021/11/30 21:23
她肺腺癌第四期 靠這治療重回健身房
一名年約50歲的女性病患熱愛有氧運動,日前發現自己久...
2021/11/08 11:28
肺癌輔助療法 基因突變患者新治療
台灣肺癌發生率是亞洲第二,致癌因子似乎無所不在,除了...
2021/09/23 20:15
每年上萬人確診肝癌 晚期續命2契機
肝癌初期大多沒有明顯症狀,所以有許多肝癌患者在發現時...
2021/08/09 09:16
國人常見肺癌迷思!不抽菸也會中?
肺癌歷年發生率呈上升趨勢,是國人第常見的癌症、更是十...
2021/01/20 14:11
生物相似藥與原廠生物製劑有何不同?
近年生物相似藥陸續上市,對癌症病人而言,是否將影響用...
2020/12/17 15:14
咳嗽胸痛胃口差 熟女竟驗出晚期肺癌
肺癌蟬聯國人十大癌症死亡率之首多年,由於肺癌早期症狀...
2020/12/17 10:55
組合治療改善晚期肺癌 提高存活率!
癌症時鐘逐年加快,平均每5分鐘就有1人罹癌。十大癌症...
2020/12/04 15:54
肺癌復發免切肺 「冷凍微針」殺腫瘤
一名中年婦人因健康檢查意外發現肺部有5顆腫瘤,一開始...
2020/11/18 17:47
8年級正妹罹血癌 忍數十次化療重生
8年級氣質美女黃珮瑜卻在這個年紀得知罹患了當年奪走媽...
2020/11/09 16:40
車禍後癌症竟轉移腦 男做67次化療
一名年近40的黃先生,5年前罹患低位直腸癌,怕接受手...
2020/10/08 11:56
晚期大腸癌免驚!多專科治療團隊助攻
人口高齡化增大腸直腸癌風險 必要篩檢及早做,及早就醫...
2020/08/03 09:05
認識癌症治療新頁:「生物相似性藥」
近年來,受惠於基因工程的進步,標靶治療已被廣泛使用於...
2020/06/06 11:38
肺癌新一代ALK標靶納健保
肺癌70%是晚期患者 治療愈來愈多樣且精準 近9年...
2020/04/08 09:40
無標靶可用怎辦?免疫療法成肺癌救星
生活中心/綜合報導 根據世界衛生組織最新統計,我國...
2019/12/23 12:00
七旬嬤腹痛誤認腸胃炎 竟是晚期肝癌
70歲嬤腹痛險暈倒田中 檢查才知晚期肝癌 70歲...
2019/12/16 06:30
肺癌年奪9千命!新治療可望活逾3年
一位59歲陳女士發現罹患肺癌時已是局部晚期,原以為無...
2019/11/01 13:10
7成肺癌發現已晚期!4大症狀要注意
肺癌為台灣十大癌症之一,常見於癮君子,但近年出現不少...
2019/08/20 11:38
最新圖輯
更多
劉書宏專訪
袁澧林、陳孝萱專訪
第36屆金曲獎星光大道
第36屆金曲獎得獎圖輯
NMIXX林口體育館粉絲演唱會
KISS OF LIFE台北演唱會
林芯儀專訪
GYUBIN大巨蛋開球
陳謙文專訪
孫麥傑專訪
今日頭條
1
林佳龍紐約設宴美方無人來?真相曝光
2
謝侑芯昏迷飯店浴缸 黃明志CPR搶救無效
3
山本由伸獲MVP 大谷讚:他是世界第一
4
蔡依林罕見舉辦簽唱會!萬人擠爆北流搶看
5
台中女欠債2萬!遭囚摩鐵「鬼剃頭」灌毒
6
特斯拉酒駕撞死老夫妻 車道滿地血
7
假日輕急症中心啟動 地點、收費一次看
8
《富爸爸》:即將大崩盤!數百萬人血本無歸
9
決賽1人拿3勝 山本奪MVP泛淚喊不可思議
10
JYP娛樂創辦人罕同框習近平 談話內容曝
HOT焦點
更多
首場造勢晚會3萬人相挺 林岱樺淚灑現場
何志偉勤跑桃園!挑戰蛇、猛禽近距離接觸
穿旗袍散步街拍 桃園「舊城新浪漫」登場
頻道推薦
直播✦活動
三立新聞網
為了提供更好的閱讀內容,我們使用相關網站技術來改善使用者體驗,也尊重用戶的隱私權,特別提出聲明。
了解最新隱私權聲明
知道了