APP下載
活動
爆料
圖輯
阿立導讀
追蹤新聞
3
台灣彩券開獎直播中
三立iNEWS新聞台線上直播
LIVE三立+24小時直播
即時
尹衍樑辭世
馬辦風暴延燒
新聞
熱門
政治
社會
娛樂
生活
新奇
健康
國際
兩岸
運動
財經
房產
旅遊
科技
汽車
遊戲
ESG永續
影音
總覽
政論
節目
熱搜
直播
iNEWS
專題
總覽
特企
專頁
大事件
彩券
專欄
民調
快訊
32歲女獨旅遭5男囚禁 餵藥輪暴3天丟路邊
07:25
本季首轟等56場 小塔提斯躲掉創最慘紀錄
07:14
貨輪挑戰川普封鎖令駛向伊朗!遭飛彈癱瘓
07:06
救器官荒!基改豬肝雙腎發威狂撐了5天
07:05
郵局新制明上路 寄件「2大異動」影響全台
07:00
薔蜜今轉中颱!明最近台 下波鋒面雨更強
06:58
20轟村神腿筋拉傷! 缺陣4至6週重創白襪
06:52
美對台軍售突喊卡!北京施壓內幕全曝光
06:47
台電花96萬改字太貴?AI解答網全跪了
06:35
英國:派遣軍艦穿越台海 維護聯合國1約
06:30
林俊傑、館長同一人!Meta AI神解釋網笑翻
06:22
赤腳童變台大博士!淚崩謝台灣給了我家
06:15
黃仁勳愣!台灣小孩不會說台語 她嘆一事
05:53
微軟電腦首採用輝達處理器!將在台灣亮相
05:38
中國重大軍事擴張!美戰爭部長曝對台立場
05:33
知名銀行被合併!全台66間分行移轉永豐金
05:28
不管了直接衝!柯派邱臣遠空降竹北炸鍋
05:12
黃仁勳MGX背板點名逾20台廠!這2家首入列
04:51
印度芒果產區近絕收!日本無預警下令封殺
04:33
兵工廠PK大戰失利 巴黎聖日耳曼完成連霸
04:06
台灣彩券開獎直播中
20:31
台彩端午加碼8億元創新高
19:00
大樂透加碼100組100萬元
19:00
客家工藝節登場!展現客家文化與工藝之美
21:00
新冠不再冬季限定!醫示警夏季疫情恐升溫
11:00
鼠患+大雨 遛毛孩小心積水藏致命細菌
18:00
「人偶系」女神幸まる進駐COSMOS展
12:00
愛妮雅拚轉型 透過心理學重塑主管養成
10:00
首頁
關鍵字
台北醫學大學
台北醫學大學
北醫學生嗨求合照!蔡英文「投降」:我拍
前總統蔡英文卸任後人氣仍不減,她今(21)日受邀到台...
2026/05/22 01:25
蔡英文赴北醫演講 學生家長請托「這事」
前總統蔡英文卸任後人氣持續飆漲,穩居台灣政壇網路聲量...
2026/05/21 12:32
仁德醫專攜手臺北醫學大學簽署策略聯盟
臺北醫學大學與仁德醫護管理專科學校今日簽署策略聯盟,...
2026/04/10 16:45
家電補助最後一年!能源署提醒快申請
節能扮演淨零要角,經濟部近年推動家電汰換補助,能源署...
2026/03/30 17:33
獨/北醫教授公然羞辱女學生 校方回應了
台北醫學大學一般通識組L姓教授被學生指控對女性抱有偏...
2025/12/03 08:52
教授夫妻控檢方被誤導 北醫駁斥:誤導視聽
被控洩漏「北醫再生醫學計畫」研發成果牟利的林泰元、黃...
2025/11/19 19:47
愛心變調?傳北醫體系要求主管「一日捐」
洪水重創花蓮光復,搜救人員持續救災,民眾也自發幫忙災...
2025/10/02 16:23
消失8點檔11年!本土女星報喜宣布新身份
45歲的昔日台8女神連靜雯近幾年淡出螢光幕前,轉行成...
2025/08/06 22:56
「最強私大」力壓台清交 畢業生月領7萬
英國高等教育權威機構QS(Quacquarelli ...
2025/06/23 15:59
學霸高中生5校通殺!大學甄選會揭原因
台中市一名就讀私校的高中生,以優異成績獲得陽明交大、...
2025/06/12 10:36
獨/高中生遭4校封殺 醫:霸凌病態社會
台中一名高中生遭4所大學醫學系取消正取資格,包括:陽...
2025/06/09 17:37
高中生被4校退貨!唯一備取的長庚回應了
台中市一名就讀私校的高中生,以優異成績獲得陽明交大、...
2025/06/07 05:26
台中學霸醫學系全沒了 網曝:起初沒公開
據了解,楊同學在學測中考得74級分的亮眼成績,成功取...
2025/06/06 19:15
高中生造假遭退貨!苦苓點一問題:真災難
近日是求學季,各級學校紛紛放榜,一名考了74級分的台...
2025/06/06 12:44
學霸高中生澎風遭退貨!IG自介被挖網搖頭
台中一名學霸楊姓高中生,近來因學習歷程檔案內容涉嫌誇...
2025/06/06 05:46
高中生還有機會?中國醫否認「取消錄取」
台中一名楊姓高中生,近來因學習歷程檔案內容涉嫌誇大,...
2025/06/05 19:21
學霸高中生遭退貨!網:最大受益者是他們
近日,台中一名楊姓高中生因學測成績優異,取得了四所大...
2025/06/05 18:33
頭撞到未流血沒事?醫:輕度腦創傷很傷!
車禍或跌倒不慎撞到頭,很多人以為未出血或外傷就沒事。...
2024/02/03 13:28
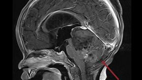
9月嬰腦腫瘤塞滿後顱窩!北醫這招救命
打破傳統放射治療年齡限制!一名才9個月大的小嬰兒,罹...
2023/06/07 14:37
北醫首屆生醫新創論壇!揭防堵新病毒方法
台北醫學大學校友總會日前舉辦第1屆校友生醫新創論壇,...
2022/11/15 09:40
泰晤士亞洲大學排名 台大第21名
英國「泰晤士高等教育」特刊(THE)今日公布2022...
2022/06/01 23:40
北醫寄轉 扭轉一罐式營養補充品觀念
目前一罐式營養補充品成為癌症治療營養支持主流,但根據...
2021/11/18 06:31
東洋贈千劑流感疫苗 善盡社會責任
新冠疫情持續延燒加上秋冬是呼吸道疾病的好發季節,因此...
2021/10/06 12:30
北市買房最俗路段?這條街一坪37萬
房價居高不下,近年不少台北市開始輕移民到新北市、桃園...
2021/03/10 12:25
北醫附醫新院長今交棒 邱仲峯接任
台北醫學大學今舉行附醫及台北癌症中心院長交接,附醫第...
2020/12/30 21:16
混酒才易醉?杜絕酒駕!掌握酒精攝取
根據2019年內政部警政署統計,平均每天高達250件...
2020/12/29 09:40
長效型第九凝血因子針劑納健保
52歲的重度 B 型血友病病友于先生,年輕時因當時的...
2020/11/23 10:00
北醫大美國教授以腦神經科學研究乩童
來自美國的教授藍亭,博士論文以腦神經科學的角度研究乩...
2020/11/19 20:00
「細菌濃度」超標 北市3醫院被點名
台北市環保局針對市內公告列管之23處醫療機構進行室內...
2020/10/21 11:05
富商投資牛樟芝遭詐3億 檢調搜索
檢調接獲舉報,綠興國際有限公司負責人吳旭昇、展霖生化...
2020/09/24 16:08
最新圖輯
更多
茉ひるMahiru專訪
簡莉紋專訪
大霈專訪
劉冠廷專訪
林予晞、王真琳專訪
李雪、陳昱廷專訪
初孟軒、鍾岳軒專訪
龍千玉與翁立友領豪記唱片群星拜年
Rain鄭智薰小巨蛋演唱會
金在中演唱會
今日頭條
1
貨輪挑戰川普封鎖令駛向伊朗!遭飛彈癱瘓
2
不管了直接衝!柯派邱臣遠空降竹北炸鍋
3
薔蜜今轉中颱!明最近台 下波鋒面雨更強
4
黃仁勳MGX背板點名逾20台廠!這2家首入列
5
知名銀行被合併!全台66間分行移轉永豐金
6
英國:派遣軍艦穿越台海 維護聯合國1約
7
赤腳童變台大博士!淚崩謝台灣給了我家
8
台電花96萬改字太貴?AI解答網全跪了
9
微軟電腦首採用輝達處理器!將在台灣亮相
10
林俊傑、館長同一人!Meta AI神解釋網笑翻
HOT焦點
更多
新冠不再冬季限定!醫示警夏季疫情恐升溫
「人偶系」女神幸まる進駐COSMOS展
愛妮雅拚轉型 透過心理學重塑主管養成
頻道推薦
直播✦活動
三立新聞網
為了提供更好的閱讀內容,我們使用相關網站技術來改善使用者體驗,也尊重用戶的隱私權,特別提出聲明。
了解最新隱私權聲明
知道了